Sức khoẻ 360

Vàng da người phụ nữ đi khám, phát hiện ca bệnh hiếm, hai ung thư nguyên phát

Việc phát hiện đồng thời hai ung thư nguyên phát trong hệ tiêu hóa là rất hiếm. Trường hợp này cho thấy vai trò quan trọng của thăm khám toàn diện.

Các bác sĩ Trung tâm Y học hạt nhân và Ung bướu - Bệnh viện Bạch Mai vừa tiếp nhận và điều trị thành công một trường hợp đặc biệt khi bệnh nhân mắc đồng thời hai ung thư nguyên phát: Ung thư đại tràng phải và ung thư đường mật trong gan - tình huống hiếm gặp, đặt ra nhiều thách thức trong chẩn đoán và điều trị.

Phát hiện bất thường từ triệu chứng vàng da

Bệnh nhân nữ, 59 tuổi, nhập viện trong tình trạng vàng da, ngứa và đau vùng hạ sườn phải kéo dài. Kết quả chẩn đoán hình ảnh cho thấy tổn thương đường mật trong gan kèm sỏi và giãn đường mật.

Trong quá trình thăm khám toàn diện, nội soi tiêu hóa phát hiện thêm một khối u tại đại tràng lên. Kết quả sinh thiết xác định đây là ung thư biểu mô tuyến.

Sau hội chẩn đa chuyên khoa, các bác sĩ xác định bệnh nhân mắc đồng thời hai ung thư nguyên phát, thay vì một khối u di căn.

Cụ thể: Ung thư đại tràng phải: Giai đoạn sớm (IA), chưa di căn hạch; Ung thư đường mật trong gan: Giai đoạn tiến triển (IIIB), có xâm lấn và di căn hạch.

Việc phân biệt hai ung thư nguyên phát với ung thư di căn có ý nghĩa quyết định trong lựa chọn chiến lược điều trị.

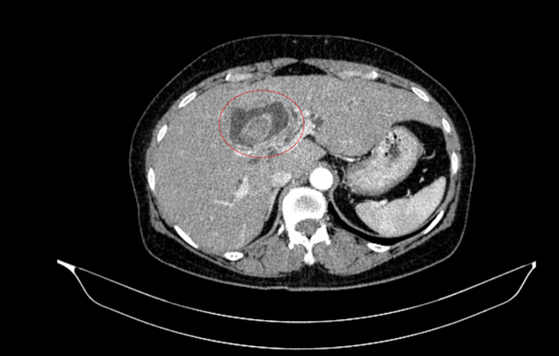
hai-ung-thu-1.png
Hình ảnh sỏi đường mật tạo ổ áp xe gan - đường mật gan trái (vòng tròn màu đỏ). Giãn nhẹ đường mật trong gan hai bên. Dày thành nhẹ ngã ba đường mật trên phim chụp cắt lớp vi tính - Ảnh BVCC

Phẫu thuật một thì - giải pháp tối ưu

Dựa trên thể trạng người bệnh và đặc điểm tổn thương, ê-kíp điều trị đã quyết định thực hiện phẫu thuật triệt căn trong cùng một lần mổ, bao gồm: Cắt đoạn đại tràng phải, nạo vét hạch D3; Cắt gan trái và đường mật ngoài gan.

Phẫu thuật diễn ra thuận lợi, loại bỏ hoàn toàn các tổn thương. Sau mổ, bệnh nhân hồi phục tốt, chức năng gan mật dần ổn định. Kết quả điều trị khả quan

Kết quả giải phẫu bệnh sau phẫu thuật cho thấy: Tổn thương đại tràng đã được cắt bỏ triệt căn, không cần điều trị bổ trợ; Ung thư đường mật có xâm lấn thần kinh và di căn hạch, cần tiếp tục điều trị bổ trợ

Bệnh nhân được chuyển sang điều trị tiếp tại Trung tâm Y học hạt nhân và Ung bướu để hóa trị bổ trợ, nhằm giảm nguy cơ tái phát.

Theo các chuyên gia, việc phát hiện đồng thời hai ung thư nguyên phát trong hệ tiêu hóa là rất hiếm. Trường hợp này cho thấy vai trò quan trọng của thăm khám toàn diện và chẩn đoán chính xác trong việc xây dựng phác đồ điều trị tối ưu.

Đáng chú ý, ung thư đường mật trong gan thường có tiên lượng xấu do phát hiện muộn. Tuy nhiên, ở bệnh nhân này, bệnh được phát hiện tương đối sớm nhờ triệu chứng tắc mật, tạo điều kiện để can thiệp phẫu thuật triệt căn.

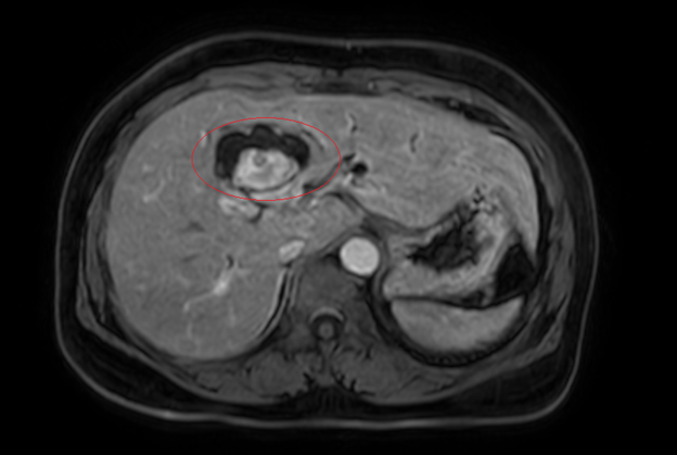
2-ung-thu.png
Hình ảnh giãn khu trú đường mật gan trái, tạo cấu trúc dạng nang và sỏi đường mật bên trong (vòng tròn đỏ), chèn ép kèm giãn đường mật trong gan hai bên trên phim chụp MRI - Ảnh BVCC

“Người bệnh cần khám sức khỏe định kỳ, đặc biệt khi có triệu chứng bất thường như đau bụng, vàng da, rối loạn tiêu hóa kéo dài.

Nội soi tiêu hóa và tầm soát ung thư sớm.

Tuân thủ theo dõi sau điều trị, đặc biệt với ung thư đường mật có nguy cơ tái phát cao.

Sau điều trị, bệnh nhân cần tái khám định kỳ 3-6 tháng/lần với các phương pháp như siêu âm, CT hoặc MRI và xét nghiệm dấu ấn ung thư.

Với ung thư đại tràng, nội soi kiểm tra nên thực hiện mỗi 1-2 năm để phát hiện sớm tái phát hoặc tổn thương mới”, các bác sĩ khuyến cáo.

GS.TS. Mai Trọng Khoa, PGS.TS. Phạm Cẩm Phương, BSNT Hữu Phát Huy, ThS.BS. Phạm Văn Dũng (Bệnh viện Bạch Mai)

>>> Mời quý độc giả theo dõi video: Cuộc giải cứu trẻ rơi xuống giếng sâu 20 m

back to top