Bệnh hiếm gặp nhưng vô cùng nguy hiểm
Bệnh nhân nữ (45 tuổi, cư trú tại tỉnh Bà Rịa – Vũng Tàu) có hoàn cảnh khó khăn, một mình nuôi con ăn học, áp lực nặng nề kinh tế, gia đình. 3 tháng trước khi tiếp nhận, người bệnh thường xuyên mất ngủ, kèm với đó là những hành vi bất thường như tự cười, nói những câu vô nghĩa một mình, ít giao tiếp hơn với mọi người xung quanh.
Bệnh ngày một trầm trọng, người bệnh bắt đầu la hét, khóc cười ngày một nhiều hơn, không còn giao tiếp được với gia đình và xuất hiện các cơn co giật. Dù đã được đưa đi khám ở các cơ sở y tế với chẩn đoán ban đầu theo dõi tình trạng loạn thần do stress, tuy nhiên trải qua không dưới 3 bệnh viện lớn nhỏ khác nhau, kết quả điều trị vẫn không khả quan.
![]() |
Khi vào viện cấp cứu tại Bệnh viện Quân y 175, bệnh nhân đã không còn ý thức, mất tự chủ, la hét, hoảng loạn. Nhờ được cấp cứu ban đầu và đánh giá chi tiết tại chuyên Khoa tâm thần, với sự chú ý vào các biểu hiện đáng ngờ của bệnh lý thần kinh diễn tiến nhanh chóng, các bác sĩ Khoa tâm thần đã nhanh chóng hội chẩn chuyển người bệnh sang Khoa Nội thần kinh.
Ngay tại thời nhập Khoa Nội thần kinh, các bác sĩ tại đây đã nhận định người bệnh có các đặc điểm của bệnh lý viêm não tự miễn. Tuy nhiên, việc tìm ra các bằng chứng để chứng minh chẩn đoán này lại không hề đơn giản.
ThS.BS Huỳnh Thị Như Ý, Trưởng nhóm bệnh lý Thần Kinh tự miễn, Khoa Nội thần kinh cho biết: “Chỉ chưa đầy 24 giờ, bằng kinh nghiệm và các kĩ thuật chuyên sâu của đơn vị sinh lý thần kinh lâm sàng, chúng tôi đã ghi nhận các bất thường khác như: kết quả điện não có sóng bất thường rất phù hợp với đặc điểm co giật của người bệnh, kèm thêm kết quả xét nghiệm dịch não tủy giúp chẩn đoán sơ bộ bệnh lý viêm não tự miễn kháng thể kháng thụ thể NMDA.
Kết quả xét nghiệm kháng thể trong máu và dịch não tủy được trả về sau đó cũng đã phát hiện kháng thể kháng thụ thể NMDA, một lần nữa khẳng định chẩn đoán của chúng tôi là chính xác”.
ThS.BS Hoàng Tiến Trọng Nghĩa – Chủ nhiệm khoa Nội Thần kinh chia sẻ: “Nhờ vào kinh nghiệm điều trị các ca bệnh tương tự trước đây với những điểm tương đồng, chúng tôi nhận định đây là một trường hợp rất nặng, việc điều trị tích cực để loại bỏ kháng thể gây bệnh bằng phối hợp điều trị thay huyết tương là cần thiết để cứu lấy bộ não người bệnh, sau đó phải nhanh chóng tìm ra các yếu tố thủ phạm âm thầm gây bệnh”.
Điều trị viêm não từ… cắt u buồng trứng
Ngay lập tức cuộc hội chẩn giữa hai chuyên Khoa Nội thần kinh và Hồi sức tích cực được diễn ra nhanh chóng, hỗ trợ tối đa để người bệnh được thay huyết tương và khảo sát các nguyên nhân như ung thư, u quái phần phụ và kịp thời phát hiện khối u ở buồng trứng.
Kết quả sinh thiết tế bào dưới kính hiển vi cho thấy đây là u quái buồng trứng, một trong các nguyên nhân gây bệnh viêm não tự miễn kháng thể kháng thụ thể NMDA ở phụ nữ. Sau khi điều trị loại bỏ các kháng thể tích cực và tình trạng người bệnh ổn định hơn, việc phẫu thuật cắt bỏ u để ngăn chặn bệnh diễn tiến được lên kế hoạch chi tiết cùng với chuyên khoa Sản phụ khoa.
Việc điều trị sớm trong viêm não tự miễn rất quan trọng vì có thể cải thiện tiên lượng và giảm nguy cơ tái phát. Do đó, ê kíp điều trị đã quyết định điều trị sớm nhất có thể: trong cùng một ngày, người bệnh đã được truyền các thuốc điều trị đặc hiệu nhằm nhanh chóng làm giảm các tác động gây hại của kháng thể đến các tế bào thần kinh.
Thông thường người bệnh sau 05 lần thay huyết tương có thể được loại bỏ gần hoàn toàn các kháng thể gây bệnh lưu hành trong máu, tuy nhiên tình trạng người bệnh không cải thiện, vẫn còn những cơn co giật và tri giác chưa thể phục hồi.
Do đó, sau khi hội chẩn, các y bác sĩ đã quyết định tiếp tục bổ sung thay huyết tương cho người bệnh thêm 2-5 lần và phẫu thuật cắt bỏ u quái buồng trứng sớm nhất có thể.
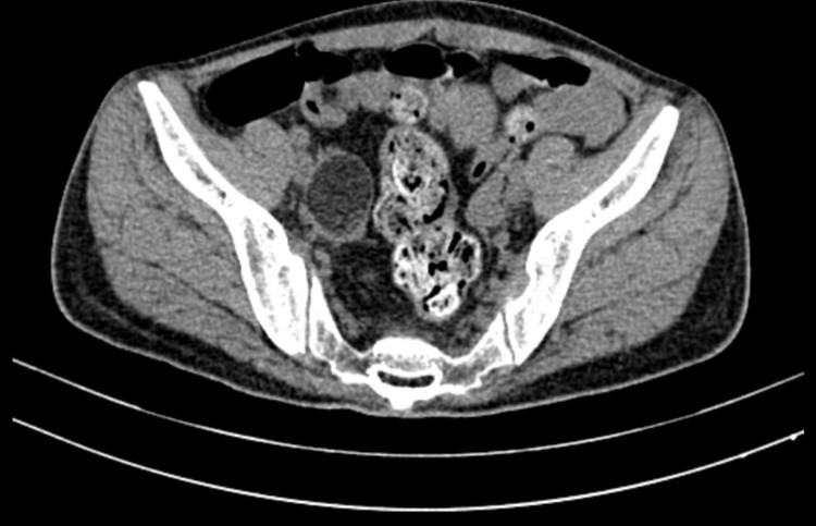
Hình ảnh khối u quái buồng trứng bên phải |
TS.BS. Trịnh Hồng Hạnh, Chủ nhiệm khoa Sản cho biết: “Đây là một ca bệnh viêm não tự miễn do tự kháng thể kháng thụ thể NMDA khá điển hình theo y văn, việc phẫu thuật loại bỏ u buồng trứng là một trong những điều trị cốt lõi giúp lui bệnh và ngăn ngừa tái phát”.
Cuối cùng sau 7 lần thay huyết tương, người bệnh được phẫu thuật nội soi cắt u quái. Ca mổ diễn ra an toàn và thành công tuyệt đối, người bệnh hồi mê nhanh chóng trong cùng ngày phẫu thuật.
Sau 03 ngày, kỳ tích xuất hiện khi người bệnh đã không còn cơn co giật, dần khôi phục lại nhận thức. Tiếp theo trong vòng 02 tuần, người bệnh đã bắt đầu nói chuyện, có thể bộc lộ vấn đề sức khoẻ với nhân viên y tế.
“Trải qua hơn 1 tháng điều trị, chúng tôi không khỏi xúc động khi thấy bệnh nhân của mình hồi phục ngoài sức mong đợi. Từ ca bệnh này cho thấy việc chẩn đoán và ra quyết định điều trị sớm là rất quan trọng, giúp cải thiện kết cục, giảm những biến chứng gây tàn tật cho bệnh nhân. Trên ca bệnh này, từ việc thăm khám, nhận định, thực hiện các xét nghiệm khảo sát cho đến ra quyết định điều trị chỉ diễn ra trong vòng chưa đến 24 giờ” – BS Nghĩa chia sẻ thêm.
Viêm não tự miễn là một bệnh lý hiếm gặp, những người mắc bệnh này có biểu hiện rất đa dạng từ nhẹ như mất ngủ, mệt mỏi, thay đổi tính tình, hay nặng hơn là co giật, la hét, mất kiểm soát bản thân, thậm chí có thể hôn mê sâu.
Nguyên nhân cho đến nay được biết là do các tự kháng thể bất thường được sinh ra trong cơ thể người bệnh. Bình thường các kháng thể có vai trò bảo vệ cơ thể, giúp cơ thể chống chọi lại những tác nhân nguy hại từ môi trường như virus, vi khuẩn…
Tuy nhiên ở một số trường hợp bất thường bệnh lý, các kháng thể này lại tấn công chính các tế bào thần kinh, gây ra thương tổn ở não bộ. Trong số các kháng thể gây bệnh thì kháng thể kháng thụ thể NMDA là loại thường gặp nhất.
Viêm não tự miễn diễn biến phức tạp, đa dạng, nên việc nhận ra và chẩn đoán không hề đơn giản. Nếu không được phát hiện và điều trị kịp thời, viêm não tự miễn sẽ để lại các biến chứng, di chứng nặng nề về thần kinh, thậm chí hôn mê và tử vong.

Hình ảnh khối u quái buồng trứng bên phải