Sức khoẻ 360

Từ một vết bầm nhỏ đến cuộc đua giữ lại sự sống

Dị dạng động tĩnh mạch có thể gặp ở nhiều vị trí khác nhau trong cơ thể, gây chảy máu, tàn tật, tử vong.

Nguy kịch vì máu chảy từ vết rách nhỏ

Người bệnh nam 49 tuổi được đưa vào viện trong tình trạng xuất huyết vùng cổ diễn tiến nhanh, máu thoát ra từ vết rách nhỏ nhưng phun thành tia, không thể tự cầm. Đây là tình huống cấp cứu nguy hiểm, tiềm ẩn nguy cơ mất máu nhanh và đe dọa trực tiếp đến tính mạng nếu không được xử trí kịp thời.

Qua thăm khám lâm sàng kết hợp chụp MSCT, các bác sĩ ghi nhận ổ dị dạng động – tĩnh mạch (AVM) dạng nidus lan tỏa nằm ở phần mềm dưới da vùng cổ. Trước tính chất phức tạp của tổn thương, người bệnh nhanh chóng được hội chẩn đa chuyên khoa, thống nhất chỉ định chụp mạch số hóa xóa nền (DSA) và can thiệp nút mạch cầm máu.

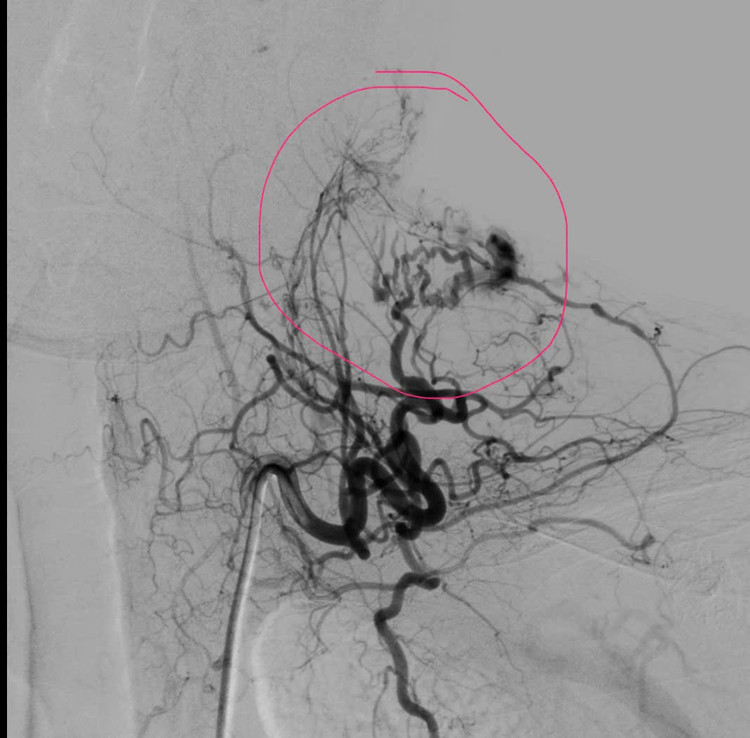
bam-nho-2.jpg
Vỡ ổ dị dạng động tĩnh mạch - Ảnh BVCC

Kết quả chụp DSA cho thấy ổ dị dạng được nuôi dưỡng bởi nhiều cuống mạch xuất phát từ thân giáp cổ, kèm theo hệ tĩnh mạch dẫn lưu nông giãn lớn lan vùng cổ, vai, lưng, làm tăng nguy cơ chảy máu tái phát nếu không xử trí triệt để.

Dưới hướng dẫn hình ảnh chính xác, ê-kíp đã tiến hành nút tắc chọn lọc từng cuống mạch nuôi bằng keo sinh học, giúp giảm rõ rệt dòng chảy trong ổ dị dạng. Sau can thiệp, người bệnh được khâu vết rách da, băng ép tại chỗ, tình trạng chảy máu cơ bản được kiểm soát hoàn toàn. Toàn trạng ổn định, người bệnh được chuyển về Hồi sức cấp cứu để tiếp tục theo dõi sát.

Việc xử trí thành công ca bệnh phức tạp này một lần nữa cho thấy năng lực chuyên môn, khả năng phối hợp đa chuyên khoa và làm chủ kỹ thuật can thiệp mạch hiện đại của đội ngũ y bác sĩ Bệnh viện Đa khoa Hùng Vương.

Mỗi quyết định chính xác – mỗi can thiệp kịp thời không chỉ giúp giữ lại sự sống, mà còn củng cố niềm tin của người bệnh vào bệnh viện, nơi luôn sẵn sàng tiếp nhận và điều trị hiệu quả những ca bệnh khó, nguy hiểm.

Xảy ra ở bất kỳ nơi nào trong cơ thể, dễ tử vong

Bác sĩ Lữ Thị Hồng Vân, Bệnh viện Youmed cho biết, dị dạng động tĩnh mạch có thể xảy ra bất cứ nơi nào trong cơ thể, nhưng dị dạng động tĩnh mạch ở não và cột sống khi xuất huyết sẽ gây nguy cơ thật sự.

Trong cơ thể người có 3 loại mạch máu:

Động mạch: Đưa máu giàu oxy chất dinh dưỡng đi nuôi cơ thể, áp lực của động mạch rất lớn.

Tĩnh mạch: Đem máu chứa ít oxy, giàu CO2 về tim và phổi để trao đổi oxy, áp lực của tĩnh mạch thấp hơn nhiều so với động mạch.

Mao mạch: Là những mạch máu rất nhỏ len lỏi vào giữa các mô để thực hiện trao đổi chất, liên kết giữa động mạch và tĩnh mạch.

Quá trình trao đổi như sau: Động mạch đưa máu giàu oxy đến các cơ quan. Tại đây, máu được chảy vào các mao mạch nhỏ dần dần chuyển từ máu giàu oxy thành máu ít oxy và đổ vào tĩnh mạch.

Về dị dạng động tĩnh mạch. Trong quá trình trao đổi này, máu không đi qua các mao mạch nhỏ mà nó đi trực tiếp từ động mạch về tĩnh mạch. Dị dạng động tĩnh mạch có thể xuất hiện ở bất kỳ đâu trong cơ thể nhưng thường gặp nhất là ở não và tủy sống.

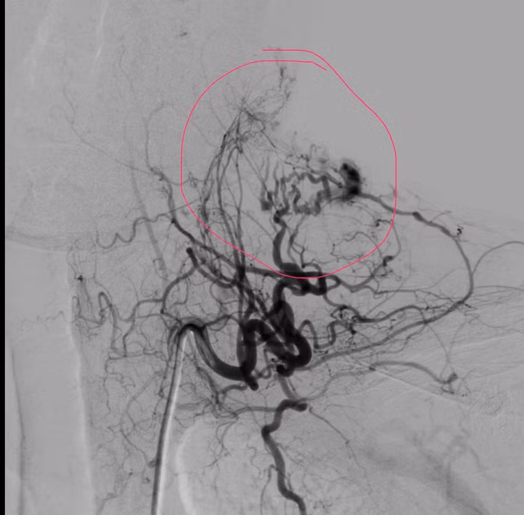
bam-nho.jpg
Can thiệp mạch cứu bệnh nhân - Ảnh BVCC

Các triệu chứng của dị dạng động tĩnh mạch khác nhau tùy thuộc vào vị trí của nó. Thông thường các dấu hiệu và triệu chứng đầu tiên xuất hiện sau khi xảy ra chảy máu, bao gồm: Xuất huyết, mất dần chức năng thần kinh, nhức đầu, buồn nôn và nôn, co giật, mất ý thức.

Các dấu hiệu và triệu chứng khác: Yếu cơ; Liệt 1 phần cơ thể; Mất phối hợp (mất điều hòa) (ataxia) có thể gây ra vấn đề với dáng đi; Mất phối hợp động tác (apraxia); Yếu ở chi dưới; Đau lưng; Chóng mặt.

Các vấn đề về thị lực, bao gồm mất một phần thị trường, mất kiểm soát chuyển động của mắt hoặc phù nề một phần của dây thần kinh thị giác. Các vấn đề như nói khó hoặc hiểu ngôn ngữ (aphasia); Cảm giác bất thường bao gồm tê, ngứa ran hoặc đau đột ngột; Mất trí nhớ hoặc sa sút trí tuệ; Ảo giác; Lú lẫn, giảm tri giác; Trẻ em và thiếu niên có thể gặp rắc rối với học tập hoặc hành vi.

Nguy cơ đáng lo ngại nhất đối với dị dạng động – tĩnh mạch là vỡ mạch máu gây xuất huyết đột ngột trong não. Việc xuất huyết ồ ạt khó cầm có thể dẫn đến chết nhanh chóng nếu không được cầm máu.

Tuy nhiên, máu nếu được cầm thì trong khoảng thời gian đó. Một phần tế bào não cũng có thể bị tổn thương. Việc này có thể ảnh hưởng đến chức năng sống của con người, thậm chí tàn tật suốt đời.

Đa phần các trường hợp dị dạng động tĩnh mạch được phát hiện khi đã có biến chứng xuất huyết gây ảnh hưởng đến chức năng sống. Ngoài ra, các trường hợp được phát hiện trong hoàn cảnh tình cờ.

Dị dạng động tĩnh mạch là tình trạng máu từ nơi có áp lực cao về áp lực thấp nên thông thường sẽ tạo ra một âm thổi. Vì thế, nếu vị trí dị dạng nằm ở nơi có thể đặt ống nghe. Bác sĩ có thể nghe được âm thổi này và liên tưởng đến dị dạng động tĩnh mạch, chỉ định các cận lâm sàng để kiểm tra.

Dị dạng động tĩnh mạch được điều trị phụ thuộc vào thời điểm được chẩn đoán, kích thước và vị trí của dị dạng. Với các dị dạng động tĩnh mạch não không triệu chứng. Bệnh nhân nên được theo dõi các biểu hiện động kinh, đau đầu, bởi một bác sĩ thần kinh. Trong trường hợp này, chúng ta có thể dùng thuốc để khống chế các triệu chứng do bệnh gây ra.

Điều trị chủ yếu cho dị dạng động tĩnh mạch là phẫu thuật. Phẫu thuật được khuyến nghị nếu bạn có nguy cơ chảy máu cao. Phẫu thuật có thể loại bỏ hoàn toàn AVM. Phương pháp điều trị này thường được sử dụng khi dị dạng động tĩnh mạch nhỏ và nằm trong khu vực mà các phẫu thuật viên có thể loại bỏ dị dạng động tĩnh mạch mà ít có nguy cơ gây tổn thương đáng kể cho các mô não.

Can thiệp nội mạch là một loại phẫu thuật trong đó bác sĩ phẫu thuật luồn ống thông qua các động mạch đến dị dạng động tĩnh mạch. Sau đó, một chất được tiêm để tạo cục máu đông nhân tạo ở giữa dị dạng động tĩnh mạch để tạm thời giảm lưu lượng máu. Điều này cũng có thể được thực hiện trước một loại phẫu thuật khác để giúp giảm nguy cơ biến chứng.

Xạ trị lập thể đôi khi cũng được sử dụng. Thủ thuật này thường được thực hiện trên các dị dạng động tĩnh mạch nhỏ chưa bị vỡ. Phương pháp này sử dụng các chùm bức xạ cường độ cao, tập trung để phá vỡ các mạch máu và ngăn chặn việc cung cấp máu cho dị dạng động tĩnh mạch.

Dị dạng động tĩnh mạch có thể gặp ở nhiều vị trí khác nhau trong cơ thể. Tuy nhiên nguy hiểm và được quan tâm nhiều nhất là dị dạng mạch máu não vì nó có thể gây chảy máu não, tàn tật, tử vong.

back to top