Cụ thể, Bệnh nhân đến viện trong trạng thái đau tức vùng hông phải, thấy rõ một khối nổi lên. Kết quả chụp CT bụng cho thấy thận phải của bệnh nhân ứ nước, kích thước 20x15cm, gần bằng quả bưởi kèm sỏi niệu quản.
Được biết, bệnh nhân bị sỏi niệu quản cách đây 7 năm. Thay vì đến bệnh viện điều trị, người đàn ông này lại tự dùng thuốc nam theo giới thiệu của người quen. Trong quá trình sử dụng thuốc nam, tình trạng tức vùng hông phải không thuyên giảm.
![]() |
| Ekip cắt bỏ hoàn toàn thận phải của nam bệnh nhân.. Ảnh SK&ĐS |
Chỉ đến khi đau tức nặng, có khối bất thường nổi lên ở vùng hông phải, bệnh nhân mới đến bệnh viện.
Thời điểm này, thận phải của bệnh nhân giãn to, mất hoàn toàn chức năng và được bác sĩ chỉ định phẫu thuật cắt bỏ.
Theo các bác sĩ, sỏi tiết niệu là những khối rắn xuất hiện trên đường bài xuất nước tiểu. Đa số những viên sỏi này được hình thành tại thận, sau đó di chuyển theo dòng chảy nước tiểu đến các vị trí khác trên đường tiết niệu như: niệu quản, bàng quang, niệu đạo. Trong đó, sỏi thận chiếm tỷ lệ lớn nhất tới 40%.
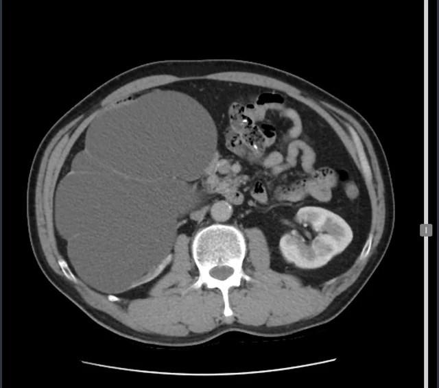
![]() |
| Thận phải của bệnh nhân ứ nước, kích thước 20x15cm, gần bằng quả bưởi kèm sỏi niệu quản. Ảnh Sk&ĐS |
Bệnh thường có triệu chứng là đau thắt lưng, tiểu buốt, tiểu máu, tiểu rắt, đau khi đi tiểu và một số biểu hiện như sốt, ớn lạnh... Nếu không được phát hiện và điều trị sớm sẽ gây ra tình trạng ứ nước, ứ mủ thận gây giãn đài bể thận, suy thận lâu ngày dẫn đến suy giảm chức năng của thận.
Việc sử dụng các loại thuốc truyền miệng chưa được kiểm chứng tiềm ẩn rất nhiều nguy cơ đối với sức khỏe, có thể làm mất các triệu chứng của bệnh tiết niệu, làm người bệnh nhầm tưởng mình đã khỏi bệnh. Nhưng thực tế bệnh vẫn tồn tại, làm thận ngày càng bị ảnh hưởng, suy giảm chức năng. Lâu dần người bệnh sẽ có những dấu hiệu suy thận hoặc các biến chứng của sỏi tiết niệu thì mới đến viện khám, khi đó bệnh đã quá nặng, gây rất nhiều khó khăn cho quá trình điều trị về sau.
Các bác sĩ khuyến cáo, khi có dấu hiệu hoặc đã đi khám phát hiện sỏi, bệnh nhân cần đi khám định kỳ để được tư vấn điều trị, tránh trường hợp đáng tiếc xảy ra.

