Sức khoẻ 360

Trẻ nhỏ, thiếu nữ đau bụng… cẩn thận u quái buồng trứng

Tưởng đau bụng do rối loạn tiêu hóa, thực tế trong bụng cô gái 19 tuổi tồn tại một khối u quái buồng trứng chứa đầy tóc và răng.

“U quái - “Teratoma” trong tiếng Latin nghĩa là “quái vật”, phản ánh đúng cấu trúc dị thường này. Khối u được hình thành từ các tế bào mầm biệt hóa thành các mô khác nhau, có thể chứa tóc, răng, tuyến bã, mô cơ, mô xương…”, BS Đàm Lê Kim Xuyến, Khoa Sản – Phụ khoa, Bệnh viện Đa khoa Xuyên Á Tây Ninh cho biết.

Phát triển âm thầm

Cô gái trẻ 19 tuổi (Vĩnh Long) nhập viện cấp cứu tại Bệnh viện Đa khoa Xuyên Á Tây Ninh sau 2 ngày đau bụng âm ỉ tưởng do rối loạn tiêu hóa. Kết quả chụp MSCT bụng cho thấy, bệnh nhân có một khối u buồng trứng bên trái, kích thước khoảng 5×6 cm. Sau phẫu thuật lấy khối u, rạch kiểm tra bên trong có chứa những thành phần bất thường như tóc, răng… đặc trưng của u quái trưởng thành.

u-quai-chua-rang-va-toc.jpg
Khối u quái chứa răng, tóc được lấy ra từ cô gái 19 tuổi - Ảnh BVCC

Trường hợp khác, chị Nguyễn Thị Kim C. (47 tuổi, ngụ tại Đức Hòa, Long An) được đưa đến Bệnh viện Nhân dân 115 trong tình trạng đau bụng dữ dội, bụng trướng căng, sốt nhẹ và mệt mỏi toàn thân. Trong ổ bụng người bệnh có nhiều dịch mủ lẫn tóc, răng do khối u buồng trứng bên phải vỡ, kích thước khoảng 15cm. Đồng thời, các bác sĩ cũng phát hiện một khối u khác ở buồng trứng trái của bệnh nhân, kích thước 7cm.

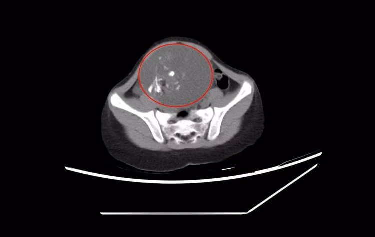
Bệnh viện Đa khoa tỉnh Quảng Ninh cũng vừa bóc tách khối u quái thành công cho bệnh nhi T.N (6 tuổi) ở TP Hạ Long. Theo gia đình, N. ở nhà thường xuyên táo bón, khó đại tiện, thỉnh thoảng thấy bụng có khối cứng khi đói nên đưa đến Bệnh viện Đa khoa tỉnh thăm khám. Kết quả, bệnh nhi khối u buồng trứng 10cm.

u-quai-10cm.jpg
Hình ảnh khối u quái buồng trứng 10 cm trên phim chụp – Ảnh BVCC

TS.BS Phạm Thị Mai Anh, Bệnh viện Phụ sản Hải Phòng cho biết, u quái buồng trứng gặp ở mọi lứa tuổi nhưng thường xuất hiện ở độ tuổi 20-30 tuổi. Ở trẻ em tỷ lệ mắc bệnh ước tính vào khoảng 2,6 trường hợp/ 100.000 bé gái.

Trong các u tân sinh của buồng trứng có khoảng 10 - 20% là u quái loại biệt hóa (lành tính). U quái buồng trứng nằm ở sâu phát triển âm ỉ trong khoang bụng, gần như không có triệu chứng. Vì thế nhiều trường hợp không hề biết mình có u, cho tới khi u đạt kích thước khá lớn hoặc gặp biến chứng…

Rất nhiều trường hợp chỉ được phát hiện tình cờ khi đi siêu âm định kỳ hoặc nhập viện vì đau bụng, rối loạn kinh nguyệt. Với những khối u lớn hoặc đã vỡ, tình trạng trở nên nguy cấp, nếu không xử trí kịp thời người bệnh có thể tử vong.

Biến chứng nặng nề

TS.BS Phan Lê Thắng, Trưởng khoa Ngoại yêu cầu, Bệnh viện Ung bướu Hà Nội cho biết, u quái (Teratoma) là một khối u được tạo thành từ nhiều loại mô khác nhau, có nguồn gốc từ một hoặc cả ba lớp tế bào mầm phôi (ngoại bì, trung bì, nội bì).

Các tế bào này tùy theo mức độ biệt hoá có thể là lành tính, ác tính tùy theo thành phần mô không trưởng thành. Xương cụt, buồng trứng, tinh hoàn là những nơi dễ tìm thấy u quái nhất, chúng cũng có thể xuất hiện ở những nơi khác trong cơ thể nhưng hiếm hơn.

u-quai-15.jpg
Ca phẫu thuật lấy u quái buồng trứng 15 cm vỡ cho bệnh nhân - Ảnh BVCC

U quái có thể xuất hiện ở mọi lứa tuổi, từ trẻ sơ sinh đến người già, có thể lành tính (không ung thư) hoặc ác tính (ung thư). Tuy nhiên, ngay cả u quái ung thư cũng có thể được điều trị thành công nếu được chẩn đoán, điều trị kịp thời. Do vậy, khi có những biểu hiện bất thường, nên đi khám ngay.

Theo Cleveland Clinic, u quái được chia thành hai loại chính: Trưởng thành và chưa trưởng thành. Loại u quái trưởng thành thường không phải ung thư. Tuy nhiên, u quái trưởng thành có nhiều khả năng tái phát sau khi được phẫu thuật cắt bỏ.

Với u quái chưa trưởng thành, nhiều khả năng phát triển thành ung thư, có thể chứa các yếu tố của ung thư soma (không phải tế bào mầm), chẳng hạn như sarcoma, ung thư biểu mô hoặc bệnh bạch cầu.

Ban đầu, những người bị u quái có thể không biểu hiện bất kỳ triệu chứng nào. Một khi các triệu chứng phát triển, chúng có thể thay đổi đáng kể tùy thuộc vào vị trí của khối u. Các triệu chứng u quái có thể bao gồm: Đau, chảy máu, sưng tấy, tăng nhẹ nồng độ hormone BhCG.

TS.BS.CKII Nguyễn Quang Huy, Trưởng khoa Ngoại tổng hợp, Bệnh viện Nhân dân 115 cảnh báo, do bên trong u quái chứa nhiều mô như tóc, da, răng... nếu u phát triển lớn hoặc bị vỡ, có thể gây các biến chứng nguy hiểm như: Xoắn u, chảy máu, nhiễm trùng hoặc viêm phúc mạc... đe dọa sức khỏe sinh sản và tính mạng người bệnh.

U quái buồng trứng thường có chỉ định phẫu thuật để cắt bỏ toàn bộ khối u, ngăn chặn các biến chứng nguy hiểm. Tuy nhiên với những trường hợp phụ nữ trẻ có nhu cầu sinh con, phẫu thuật chỉ bóc tách khối u, bảo toàn buồng trứng. Những khối u hóa ác tính tiên lượng xấu, tỷ lệ sống 5 năm chỉ khoảng 15 - 31%.

Thường khối u quái buồng trứng tồn tại không có triệu chứng gì, một số ít trường hợp đau bụng, bụng hơi to ra, chảy máu tử cung bất thường. Đôi khi cũng có hội chứng bàng quang, đau lưng hoặc rối loạn tiêu hóa.

Vì vậy việc khám sức khỏe định kỳ hằng năm là vô cùng quan trọng, giúp nhận biết sớm các dấu hiệu bất thường để có thể điều trị kịp thời.

Khi có các biểu hiện đau tức vùng hạ vị, bụng to bất thường nên đi khám. Nếu phát hiện khối u cần phải đến các cơ sở y tế có đủ năng lực để sớm điều trị triệt để, từ đó giúp bảo tồn chức năng sinh sản, tránh nguy cơ biến chứng ác tính về sau.

back to top