Người bệnh Đ.T.Q. 61 tuổi (Hồng Phong, Đông Triều) đến khám tại Bệnh viện Việt Nam – Thụy Điển Uông Bí (Quảng Ninh) vì đau tức vùng thắt lưng, sau khi thăm khám các bác sĩ phát hiện khối u ở sau phúc mạc.
Người bệnh được phẫu thuật cắt u và làm xét nghiệm mô bệnh học. Sau xét nghiệm cho kết quả u tủy thượng thận thể tế bào ưa chrom hỗn hợp (composite pheochromocytoma) rất hiếm gặp.
![]() |
| Kỹ thuật viên thực hiện kỹ thuật trên máy nhuộm tự động - Ảnh BVCC |
Theo BSCKI. Phạm Thị Hoa, Khoa Giải Phẫu bệnh cho biết: U tế bào ưa chrom hỗn hợp xuất phát từ các tế bào ưa chrom của tuyến tủy thượng thận. Đây là u ác tính hiếm gặp chỉ ghi nhận vài ca bệnh trong y văn và rất khó phát hiện.
Để xác định chính xác thể U tế bào ưa chrom hỗn hợp chỉ có thể tiến hành xét nghiệm mô bệnh học. Đây là tiêu chuẩn vàng để xác định chính xác thể bệnh và giai đoạn bệnh từ đó giúp các bác sĩ lâm sàng đưa ra hướng điều trị tốt nhất cho người bệnh.
Cũng theo bác sĩ cho biết: U tế bào ưa chrom hỗn hợp có tính di truyền, do vậy những gia đình có người mắc thể u này, đặc biệt là những người có biểu hiện: nhịp tim nhanh, ra mồ hôi, đau đầu, hồi hộp, lo lắng, hạ huyết áp tư thế và tăng huyết áp kịch phát… cần đến các cơ sở y tế chuyên sâu để làm các xét nghiệm cần thiết như siêu âm, chụp CT.Scanner hoặc MRI, kiểm tra hormone trong máu và nước tiểu xác định mức độ catecholamine…
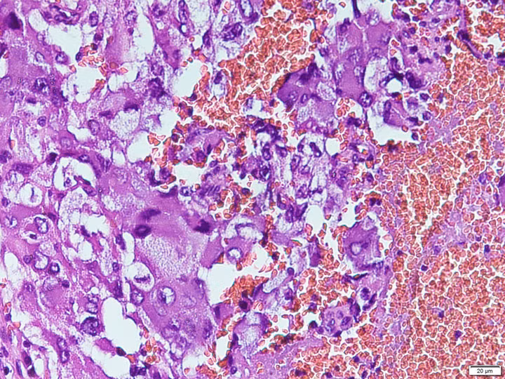
![]() |
| Hình ảnh U tế bào ưa chrom hỗn hợp dưới kính hiển vi - Ảnh BVCC |
Phương pháp điều trị hữu hiệu nhất đối với bệnh lý này là Phẫu thuật cắt bỏ khối u giúp hạn chế các biến chứng về sức khỏe cho người bệnh. Sau phẫu thuật, tùy từng thể bệnh và mức độ, bác sĩ sẽ có phác đồ điều trị thích hợp tránh tái phát và di căn.

