Áp xe ổ bụng, thủng đại tràng vì ăn đồ vật
Hội chứng Pica là một rối loạn ăn uống trong đó người bệnh có sự thèm ăn và ăn những thứ không phải thực phẩm, chẳng hạn như đất đá, phân động vật, tóc, giấy, đồ vật kim loại, hoặc các vật liệu khác không có giá trị dinh dưỡng.
Hội chứng Pica có thể xuất hiện ở trẻ em, người lớn, phụ nữ mang thai hoặc người có rối loạn phát triển, chẳng hạn như tự kỷ, thiểu năng trí tuệ hoặc bệnh thần kinh. Nguyên nhân của hội chứng Pica có thể bao gồm thiếu hụt dinh dưỡng (như thiếu sắt hoặc kẽm), căng thẳng tâm lý, rối loạn tâm thần hoặc các vấn đề sức khỏe khác.
Mặc dù không phải là một căn bệnh phổ biến trong cộng đồng chung nhưng nếu không được điều trị, hội chứng Pica có thể dẫn đến các vấn đề sức khỏe nghiêm trọng như ngộ độc, viêm nhiễm, tắc nghẽn hoặc tổn thương thủng, rách đường tiêu hóa, gây nhiễm trùng, nhiễm độc tại chỗ và toàn thân có thể dẫn đến tử vong.
Bệnh nhân nam 50 tuổi, không có người thân sống cùng. Tiền sử tâm thần phân liệt 26 năm điều trị thường xuyên tại Bệnh viện Đa khoa tỉnh Nam Định.
Theo lời kể của người nhà bệnh nhân, cách vào viện 2 tuần, bệnh nhân tự nuốt 3 chiếc bật lửa, đã được nội soi can thiệp lấy dị vật. Lần này bệnh nhân lại vào viện vì đau bụng, chướng bụng tăng dần. Qua thăm khám lâm sàng, thấy bụng chướng căng, vùng bụng dưới đau, phản ứng mạnh.
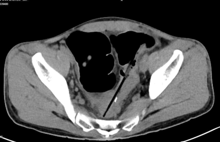
Chụp cắt lớp ổ bụng thấy hình ảnh 02 dị vật hình que đầu kim loại trong quai ruột vùng hạ vị, đâm xuyên thành ruột tạo ổ dịch khí vùng tiểu khung cạnh cơ bịt phải; Dị vật trong quai ruột hạ sườn phải; Dày thành trực tràng, đại tràng sigma và quai ruột ngang rốn; Giãn lan tỏa các quai ruột non.
![]() |
| Bệnh nhân được chẩn đoán: Áp xe trong ổ bụng do thủng đại tràng sigma do dị vật, dị vật ruột non/tâm thần phân liệt. |
Bệnh nhân đã được phẫu thuật cấp cứu: mở ruột non lấy dị vật (bút bi, ruột bút, tăm nhựa), cắt đoạn đại tràng Sigma bị dị vật xuyên thủng, đóng đầu dưới, đưa đầu trên ra ngoài ổ bụng làm hậu môn nhân tạo;
Sau mổ, bệnh nhân ổn định và sẽ phải trải qua một cuộc phẫu thuật nữa để đóng hậu môn nhân tạo, lập lại lưu thông đường tiêu hóa. Phòng ngừa và giám sát người bệnh là vấn đề đặt ra sau mổ để tránh tái diễn tình trạng nuốt dị vật, nếu còn xảy ra những lần sau sẽ rất khó khăn trong việc xử lý.
Bệnh Pica, một rối loạn ăn uống đã được ghi nhận từ rất lâu. Thuật ngữ "pica" xuất phát từ tiếng Latinh, có nghĩa là con chim ác là (còn gọi là chim Pica), vì loài chim này có thói quen ăn tạp (từ côn trùng đến ngũ cốc, hạt, trái cây, đến trứng, gà con, động vật gặm nhấm) và cả những vật không phải thức ăn thông thường. Bệnh này đã được nhắc đến từ thế kỷ 14 trong các tài liệu y học, nhưng mãi đến thế kỷ 18, nó mới được mô tả đầy đủ hơn và đặt tên chính thức.
Chẩn đoán bệnh pica
Bệnh nhân cần được thăm khám bởi bác sĩ chuyên khoa (như bác sĩ tâm thần, bác sĩ nhi khoa hoặc bác sĩ tâm lý) để xác định nguyên nhân gây ra bệnh và loại trừ các bệnh lý khác. Việc này giúp lựa chọn phương pháp điều trị phù hợp. Bệnh pica được chẩn đoán dựa trên các tiêu chí:
- Ăn các vật liệu không phải thực phẩm (như đất, sỏi, tóc, giấy, xà phòng, hay các vật dụng khác) trong một khoảng thời gian dài (thường kéo dài hơn một tháng).
- Không phải là một phần của văn hóa hoặc thói quen ăn uống thông thường.
- Hành vi này không thể giải thích bằng một tình trạng y tế khác (như thiếu hụt dinh dưỡng, tâm lý bệnh lý).
- Khi thăm khám, người bệnh có thể không thừa nhận hành vi này hoặc không nhận thức rõ về tác hại của nó, ví dụ như ngộ độc hoặc tổn thương hệ tiêu hóa.
- Chẩn đoán pica chủ yếu dựa vào các dấu hiệu lâm sàng và hỏi bệnh, kết hợp với xét nghiệm cận lâm sàng khi cần thiết (như xét nghiệm máu, kiểm tra các chất dinh dưỡng thiếu hụt, hoặc kiểm tra chức năng tiêu hóa).
![]() |
| Bệnh phẩm bao gồm: Đoạn đại tràng Sigma và dị vật (bút, ngòi bút và tăm nhựa). Điều trị bệnh Pica |
- Chữa trị các vấn đề về sức khỏe tâm thần: Nếu bệnh Pica liên quan đến các rối loạn tâm thần như trầm cảm, lo âu hoặc rối loạn hành vi, điều trị tâm lý và/hoặc thuốc có thể giúp giảm bớt các triệu chứng. Liệu pháp hành vi nhận thức (CBT) thường được sử dụng để thay đổi hành vi không lành mạnh.
- Bổ sung chất dinh dưỡng: Một số nghiên cứu cho thấy thiếu hụt một số khoáng chất, như sắt hoặc kẽm, có thể là yếu tố gây ra bệnh Pica. Việc bổ sung các vitamin và khoáng chất có thể giúp điều trị nếu nguyên nhân là thiếu hụt dinh dưỡng.
- Liệu pháp hành vi: Giúp người bệnh học cách kiểm soát các cơn thèm ăn các vật không phải thực phẩm và thay thế chúng bằng hành vi lành mạnh hơn.
- Giám sát và ngăn chặn: Trong trường hợp bệnh Pica liên quan đến trẻ em hoặc người bệnh không tự kiểm soát được hành vi, cần giám sát và ngăn chặn hành động ăn vật thể lạ.
Phòng ngừa bệnh Pica
- Giáo dục và nâng cao nhận thức: Đối với trẻ em, việc giáo dục và giải thích về các vật liệu nguy hiểm và không ăn được rất quan trọng. Các bậc phụ huynh hoặc người chăm sóc cần giúp trẻ hiểu về sự nguy hiểm của việc ăn các vật thể lạ.
- Chế độ ăn đầy đủ dinh dưỡng: Đảm bảo rằng người bệnh nhận đủ vitamin và khoáng chất trong chế độ ăn để ngăn ngừa tình trạng thiếu hụt dinh dưỡng.
- Tạo môi trường an toàn: Đảm bảo môi trường sống không có các vật dụng nguy hiểm mà người bệnh có thể ăn phải. Điều này đặc biệt quan trọng đối với trẻ em và người mắc các rối loạn phát triển, rối loạn tâm thần.
- Theo dõi và can thiệp sớm: Nếu phát hiện hành vi ăn vật thể lạ, cần can thiệp sớm để tránh các vấn đề sức khỏe lâu dài và ngăn chặn tình trạng bệnh trở nên nghiêm trọng.
Trường hợp người bệnh nêu trên, không có người thân sống cùng nên sẽ rất khó khăn trong việc giám sát.
Trong trường hợp này, cần thiết lập kế hoạch giám sát, nếu có điều kiện thì thuê người chăm sóc, sử dụng các công nghệ giám sát (camera ở các khu vực nhà bếp, phòng ngủ...) để theo dõi các hành vi bất thường. Nếu không, có thể liên hệ với các tổ chức cộng đồng, địa phương, tổ dân phố để hỗ trợ giám sát cho người bệnh không có người thân kết hợp với các biện pháp phòng ngừa khác
Nếu có bất kỳ lo ngại nào về bệnh Pica, người bệnh hoặc người chăm sóc nên tham khảo ý kiến bác sĩ để được tư vấn và điều trị kịp thời.
BS. Lê Văn Duy (Trung tâm Phẫu thuật Tiêu hóa, Bệnh viện Bạch Mai)

