Ngày 21/8, Bệnh viện Đa khoa Tỉnh Phú Thọ cho biết, bệnh viện đã áp dụng kỹ thuật cao Hybrid trong điều trị phình tách động mạch chủ ngực để cứu bệnh nhân có khối phình lớn 7 cm dọa vỡ.
Đây là một kỹ thuật cao, chuyên sâu trong lĩnh vực can thiệp và phẫu thuật tim mạch, chỉ được thực hiện ở những cơ sở y tế có sự đầu tư trang thiết bị y tế hiện đại, có phòng mổ Hybrid, kíp phẫu thuật mạch máu và kíp can thiệp mạch máu chuyên nghiệp.
Hybrid: kết hợp 2 kỹ thuật cao trong 1 lần mổ
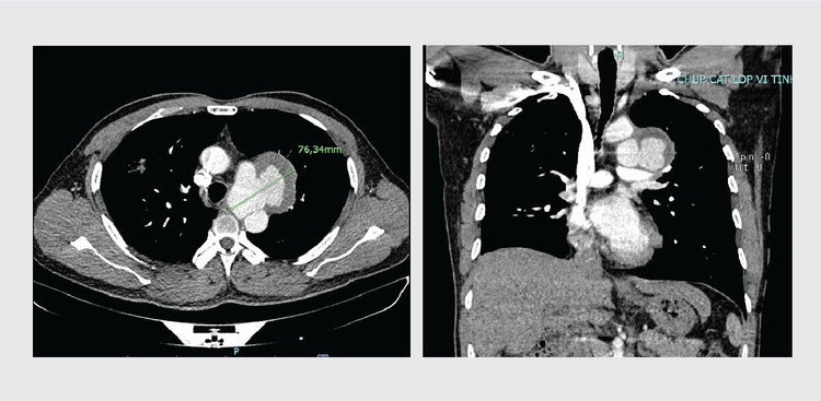
![]() |
| Hình ảnh khối phình động mạch chủ ngực của người bệnh trên phim chụp CT - ảnh BVCC |
Với kích thước khối phình lớn ~ 7cm, nếu không chủ động được can thiệp sớm người bệnh phải đối diện với nguy cơ vỡ khối phình, gây mất máu cấp trầm trọng, thậm chí dẫn đến tử vong bất kỳ khi nào.
Ngay khi có kết quả chẩn đoán, các bác sĩ kíp can thiệp mạch, phẫu thuật mạch máu cùng với các chuyên khoa liên quan đã hội chẩn, tư vấn cho gia đình người bệnh phương pháp can thiệp tối ưu cho người bệnh là sử dụng Kỹ thuật Hybrid (kết hợp đặt Stent Graft động mạch chủ ngực và phẫu thuật bắc cầu nối động mạch).
Ca phẫu thuật và can thiệp cho người bệnh N.Q.T đã được thực hiện ngày 05/8/2024 tại phòng mổ Hybrid do các bác sỹ Khoa Phẫu thuật Tim mạch – Lồng ngực và Khoa Can thiệp tim mạch – Trung tâm Tim mạch, Bệnh viện đa khoa tỉnh Phú Thọ thực hiện.
Theo phác đồ phẫu thuật Hybrid, người bệnh T được tiến hành phẫu thuật nối động mạch cảnh chung phải – động mạch cảnh chung trái và nối động mạch cảnh chung trái – động mạch dưới đòn trái bằng các đường mổ nhỏ ở vùng cổ. Về mặt giải phẫu, đây là các phẫu thuật tương đối khó nếu không có kíp mổ mạch máu rất chuyên nghiệp sẽ không thể thực hiện được.
Sau khi thực hiện thành công các kỹ thuật chuyển dòng máu lưu thông lên não, các bác sĩ Can thiệp tim mạch tiến hành đặt Stent Graft. Đây là phương thức can thiệp nội mạch qua đường ống thông, Bác sĩ luồn ống thông và đoạn Stent Graft qua động mạch đùi tới vị trí tổn thương, từ đó điều chỉnh dòng chảy của mạch máu, giữ không cho vùng tổn thương bị vỡ.
Toàn bộ quá trình phẫu thuật, đến can thiệp chỉ diễn ra trong khoảng 04 tiếng. Người bệnh điều trị hậu phẫu sau 08 ngày đã ổn định, không đau ngực, huyết áp và nhịp tim ổn định. Người bệnh đã được kiểm tra bằng chụp CT 128 dãy, vị trí đặt Stent Graft đúng, tưới máu tạng tốt và không có bất kỳ biến chứng nào có thể ra viện sau vài ngày tới.
![]() |
| Hình ảnh động mạch chủ ngực sau khi được đặt Stent và hình ảnh cầu nối động mạch cảnh hai bên bằng mạch máu nhân tạo - Ảnh BVCC |
Người có yếu tố nguy cơ cần chú ý
Theo BSNT Vũ Xuân Hòa – Khoa Can thiệp tim mạch chia sẻ: “Đây là một ca bệnh phức tạp, thông thường phình động mạch chủ hay gặp ở người bệnh lớn tuổi có các yếu tố nguy cơ như hút thuốc lá, tăng huyết áp, xơ vữa động mạch,…
Tuy nhiên với ca bệnh này chúng tôi phát hiện phình động mạch chủ ngực trên người trẻ tuổi,thông qua hỏi bệnh và khai thác tiền sử bệnh xác định đây là ca bệnh phình động mạch chủ ngực do chấn thương, là một trường hợp tương đối hiếm gặp”.
Qua trường hợp người bệnh N.Q.T, các bác sĩ khuyến cáo ở những người có yếu tố nguy cơ như: người lớn tuổi có thói quen hút thuốc lá, mắc các bệnh lý tăng huyết áp, xơ vữa động mạch,… hoặc những người bị tai nạn có chấn thương ngực, chấn thương cột sống cần chủ động khám sức khoẻ toàn diện định kỳ để sớm phát hiện những tổn thương hoặc những di chứng bất thường, từ đó có kế hoạch điều trị phù hợp.

