Sức khoẻ 360

Thót tim xử trí cấp cứu bé 9 tháng tuổi sặc bóng đèn led vào phế quản

Dị vật đường thở ở trẻ nhỏ luôn là cấp cứu nguy hiểm, có thể gây trầy xước, thủng đường thở hoặc dẫn đến các biến chứng nặng nề nếu xử trí không đúng cách.

Bệnh viện Nhi đồng 1 đã xử trí thành công một trường hợp dị vật đường thở nằm sâu trong phế quản gốc phải của bé nhỏ 9 tháng tuổi là một bóng đèn LED.

Bệnh nhi là bé N.K.N (9 tháng tuổi, Đồng Tháp) đến khám tại Bệnh viện Nhi đồng 1 vì ho nhiều trong 2 ngày. Tại tuyến trước, hình ảnh X-quang phát hiện bất thường, theo dõi có dị vật đường thở nên bé được chuyển thẳng lên Bệnh viện Nhi Đồng 1. Điều đáng nói là gia đình không ghi nhận rõ thời điểm bé ngậm và sặc dị vật, cũng không rõ loại dị vật là gì.

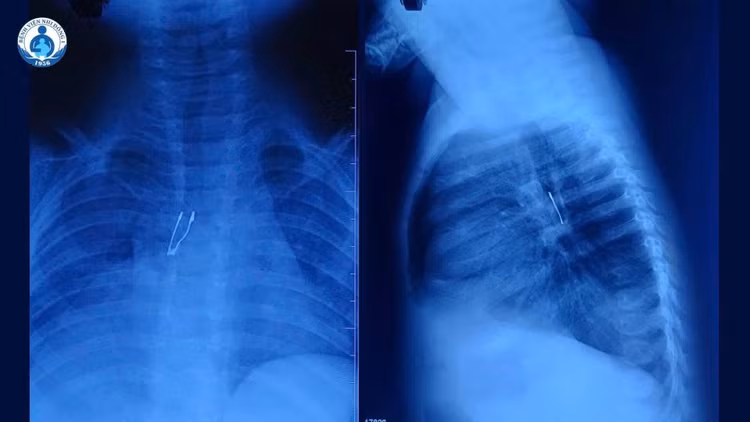
Kết quả X-quang cho thấy dị vật cản quang nằm ở phế quản gốc phải, kèm theo dấu hiệu xẹp phổi phải không hoàn toàn và tràn khí trung thất – những biến chứng báo hiệu tình trạng không đơn giản.

bong-den.jpg
Kết quả X-quang cho thấy dị vật cản quang nằm ở phế quản gốc phải - Ảnh BVCC

Ngay lập tức, BS.CKI Lý Phạm Hoàng Vinh (Khoa Tai mũi họng – Bệnh viện Nhi đồng 1) đã hội chẩn ngay cùng lãnh đạo khoa và phối hợp ê-kíp Gây mê tiến hành nội soi đường thở cấp cứu cho bé.

Dị vật nghi ngờ là một bóng đèn LED, nằm sâu trong phế quản gốc phải. Tuy nhiên, quá trình lấy dị vật không hề dễ dàng. Khó khăn lớn nhất nằm ở cấu trúc của bóng đèn này: phần đuôi đèn bè phình to sắc nhọn, dễ mắc kẹt khi kéo qua thanh quản, nguy cơ gây trầy xước, rách niêm mạc hoặc kẹt lại ngay giữa 2 dây thanh là rất cao.

Đặc biệt, đường thở bé 9 tháng tuổi rất nhỏ, khó quan sát và thao tác. Bác sĩ buộc phải xoay chỉnh dị vật từng chút một và lựa hướng tối ưu để đưa phần đầu đèn ra trước, hạn chế tối đa tổn thương.

Đáng lưu ý, với dị vật sắc nhọn như vậy, nguy cơ gây tràn khí màng phổi trong quá trình gắp là hoàn toàn có thể xảy ra. Do đó, ê-kíp Ngoại lồng ngực cũng đã được huy động sẵn sàng, chuẩn bị phương án đặt dẫn lưu ngực khẩn cấp nếu có biến chứng.

Bằng thao tác chuyên môn vững vàng, tỉ mỉ xoay trở từng milimet để lấy dị vật trong phế quản bé xíu kia, cùng sự phối hợp chặt chẽ của đội ngũ y bác sĩ liên chuyên khoa, bóng đèn LED “mắc kẹt” cuối cùng đã được ê-kíp lấy ra an toàn.

bong-den-1.jpg
Dị vật đèn led được lấy ra an toàn - Ảnh BVCC

Rất may mắn, sau can thiệp, đường thở của bé thông thoáng, không ghi nhận tổn thương đáng kể hay biến chứng tràn khí, tình trạng hô hấp bé đã ổn định hơn, giảm ho và đang được tiếp tục theo dõi, đủ điều kiện sẽ xuất viện về.

Theo BS.CKI Lý Phạm Hoàng Vinh, dị vật đường thở ở trẻ nhỏ luôn là cấp cứu nguy hiểm, đặc biệt với các vật có hình dạng bất thường như bóng đèn LED. Không chỉ gây tắc nghẽn, những dị vật này còn có thể gây trầy xước, thủng đường thở hoặc dẫn đến các biến chứng nặng nề nếu xử trí không đúng cách.

Bệnh viện đã nhiều lần tiếp nhận các trường hợp bé sặc bóng đèn LED từ 4 tháng tuổi đến những trẻ lớn, do đó cần nâng cao cảnh giác cho các phụ huynh.

Trường hợp này cũng cho thấy một nguy cơ đáng lo ngại, trẻ có thể hít dị vật mà không ai phát hiện. Bác sĩ khuyến cáo: Tuyệt đối không để trẻ nhỏ ngậm với các vật nhỏ, đặc biệt là các thiết bị điện tử như bóng đèn LED, pin, linh kiện…

Quan sát, chú ý trẻ trong sinh hoạt hằng ngày, cất gọn các vật dụng nhỏ, sắc nhọn…

Khi nghi ngờ trẻ hít sặc dị vật, cần sơ cứu với kỹ thuật Heimlich và đưa đến cơ sở y tế ngay lập tức để được can thiệp kịp thời.

>>> Mời quý độc giả theo dõi video: Nghề "hái ra tiền" phố Wall thành áp lực nhất

back to top