Sức khoẻ 360

Thoát vị thành bụng hiếm gặp, người đàn ông không dám đi lại

Thoát vị thành bụng là bệnh nguy hiểm với biến chứng nghiêm trọng như nghẹt khối thoát vị, ruột và những thành phần lân cận bị siết chặt tại túi thoát vị...

Khối thoát vị "khổng lồ" trên bụng bệnh nhân

Bệnh viện Đa khoa Xuyên Á (TP HCM) vừa phẫu thuật thành công khối thoát vị thành bụng hiếm gặp cho người đàn ông Campuchia.

Ông T.S.M. (60 tuổi, Campuchia) đến thăm khám tại khoa Ngoại tổng quát Bệnh viện Đa khoa Xuyên Á trong tình trạng bụng to, có khối phồng lớn vùng giữa bụng, ngang với một vết mổ cũ.

Khối phồng này khiến cho ông có cảm giác khó chịu vùng bụng mỗi khi đi lại. Vì thế gần một năm nay, ông không dám vận động mạnh hay làm việc nặng, sức khoẻ, chất lượng sống ngày càng giảm sút.

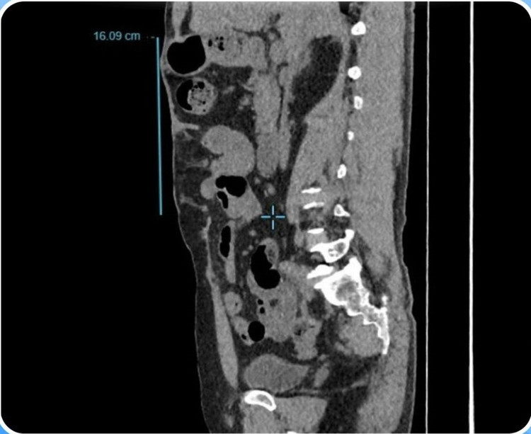
Qua thăm khám lâm sàng và chụp CT bụng, kết quả ghi nhận bệnh nhân có một khối thoát vị lớn ở thành bụng với đường kính hơn 16 cm.

khoi-thoat-vi-cpc-3-9853.jpg
Khối thoát vị "khổng lồ" trên bụng bệnh nhân - Ảnh BVCC

Sau khi đánh giá kỹ lưỡng tình trạng của khối thoát vị cũng như yếu tố sức khoẻ của người bệnh, các bác sĩ khoa Ngoại tổng quát quyết định tiến hành phẫu thuật để xử lý triệt để khối thoát vị cho người bệnh này.

Tuy nhiên, kích thước lớn của khối thoát vị có thể sẽ gây trở ngại lớn trong quá trình phẫu thuật đặt lưới ngăn các tạng trong ổ bụng. Vì thế, các bác sĩ khoa Ngoại tổng quát đã thống nhất phương án điều trị cho bệnh nhân là phẫu thuật nội soi cắt một phần cơ thành bụng, tiến hành đặt lưới sinh học chống dính.

ThS.BS.CKII. Trần Văn Minh Tuấn, Trưởng khoa Ngoại tổng quát Bệnh viện Đa khoa Xuyên Á, người trực tiếp thực hiện ca phẫu thuật, cho biết: "Trong quá trình mổ, ê-kíp phẫu thuật đã tiến hành nội soi thám sát gỡ dính các tạng, cắt một phần cơ thành bụng để dễ dàng di động hai lá cân thành bụng lại gần nhau, khép lại và khâu phục hồi cơ thành bụng. Sau đó, chúng tôi đặt mesh chống dính (lưới sinh học chống dính) phủ lên đường khâu cân.

khoi-thoat-vi-cpc-4.jpg
Ca phẫu thuật cho bệnh nhân - Ảnh BVCC

Cắt một phần cơ thành bụng là kỹ thuật mới, ít được thực hiện tại Việt Nam hiện nay.

Việc cắt một phần cơ thành bụng chỉ được thực hiện khi cần thiết và thường áp dụng trong trường hợp khối thoát vị quá lớn, nhằm tạo sự thuận tiện cho việc khâu phục hồi cân cơ thành bụng và đặt lưới phục hồi thành bụng dễ dàng hơn”.

Sau phẫu thuật, bệnh nhân phục hồi tốt, hầu như không đau, trung tiện và ăn uống trở lại chỉ sau mổ một ngày. Tình trạng khối phồng to vùng bụng cũng biến mất.

Điều trị sớm tránh mất mạng

BSCKII Nguyễn Quốc Thái, Trưởng khoa Ngoại tiêu hóa, Bệnh viện Đa khoa Tâm Anh TP HCM cho biết, thoát vị thành bụng là bệnh lý xảy ra do sự dịch chuyển của các tạng từ trong xoang bụng ra ngoài thành bụng thông qua một vị trí bị yếu nào đó trên thành bụng.

Đó có thể là vết mổ cũ hay vị trí thành bụng không có lớp cơ. Bệnh thoát vị thành bụng có thể là một dạng dị tật bẩm sinh ở trẻ khi thai nhi vẫn còn trong bụng của người mẹ. Đa phần các trẻ sinh non thường bị thoát vị thành bụng.

khoi-thoat-vi-cpc-1.jpg
Khối thoát vị thành bụng trên phim chụp của bệnh nhân - Ảnh BVCC

Bệnh thoát vị thành bụng xảy ra khi các lớp cơ ở thành bụng bị yếu hay hở. Tình trạng này làm hình thành một khối lồi trên bụng của bệnh nhân. Khi các cơ tại thành bụng bị kéo căng hơn, sẽ khiến áp lực trong khoang bụng gia tăng. Tình trạng này làm khối bị lồi (do thoát vị thành bụng) càng trở nên to và rõ hơn.

Bệnh thoát vị thành bụng xảy ra ở mọi đối tượng, mọi độ tuổi. Bệnh còn có thể xuất hiện ở trẻ sơ sinh, tình trạng này được gọi là thoát vị thành bụng bẩm sinh.

Các yếu tố làm gia tăng nguy cơ mắc bệnh thoát vị thành bụng như: Từng trải qua phẫu thuật ở vùng bụng; Thường xuyên làm các công việc nặng, sử dụng nhiều sức; Thừa cân, béo phì; Chế độ dinh dưỡng của thai phụ, những loại thuốc sử dụng trong khi mang thai, môi trường… cũng có thể tác động tới sự phát triển của thai nhi, gây bệnh thoát vị thành bụng ở trẻ sơ sinh; Nữ giới mang thai khi còn quá trẻ; Lạm dụng các thức uống có cồn, hút thuốc lá....

khoi-thoat-vi-cpc-7442.jpg
Thăm khám cho người bệnh sau phẫu thuật - Ảnh BVCC

Người bệnh thoát vị thành bụng sẽ có những triệu chứng thường gặp như: Hình thành khối phồng ở trên thành bụng hay tại vùng bẹn, khối phồng dễ nhìn thấy; Đau và tức vùng bụng; Mất thẩm mỹ; Khi cơ thành bụng bị kéo căng, sẽ có dấu hiệu tăng lên của áp lực trong khoang bụng, khối phồng sẽ to hơn; Thành bụng của người bệnh sẽ bị to, phồng lên khi làm việc nặng, nâng vác các vật nặng, ho hoặc rặn khi đi đại tiện.

Chẩn đoán bệnh thoát vị thành bụng là chẩn đoán lâm sàng. Khối thoát vị có thể chỉ được nhìn rõ khi áp lực bụng tăng lên. Vì thế, người bệnh nên được khám ở tư thế đứng.

Nếu bác sĩ không nhìn thấy khối thoát vị, bệnh nhân có thể được yêu cầu ho hay thực hiện nghiệm pháp Valsalva, trong khi bác sĩ sờ thành bụng. Các vị trí khám tập trung vào rốn, vùng bẹn, tam giác xương đùi và bất cứ vết mổ nào hiện có của người bệnh.

Thoát vị thành bụng là bệnh nguy hiểm đối với sức khỏe và tính mạng của bệnh nhân. Khi không được phát hiện và điều trị kịp thời, người bệnh có thể phải đối mặt với các biến chứng nghiêm trọng như nghẹt khối thoát vị, ruột và những thành phần lân cận bị siết chặt tại túi thoát vị. Máu không thể đến được để để nuôi những thành phần này, làm cho thoát vị có thể bị hoại tử. Lúc này, người bệnh có thể tử vong khi không được phẫu thuật kịp thời.

back to top