Ngày 21/4, Bệnh viện Chợ Rẫy cho biết, bệnh viện vừa phẫu thuật thành công cứu sống người bệnh có khối u lớn trong tim dù không có biểu hiện của bệnh.
Theo đó, đầu tháng 4, bệnh nhân nữ H.N. (23 tuổi, sống tại TPHCM) không có triệu chứng bất thường gì, thực hiện gói khám Gold để tầm soát sức khỏe tổng quát tại Trung tâm HECI.
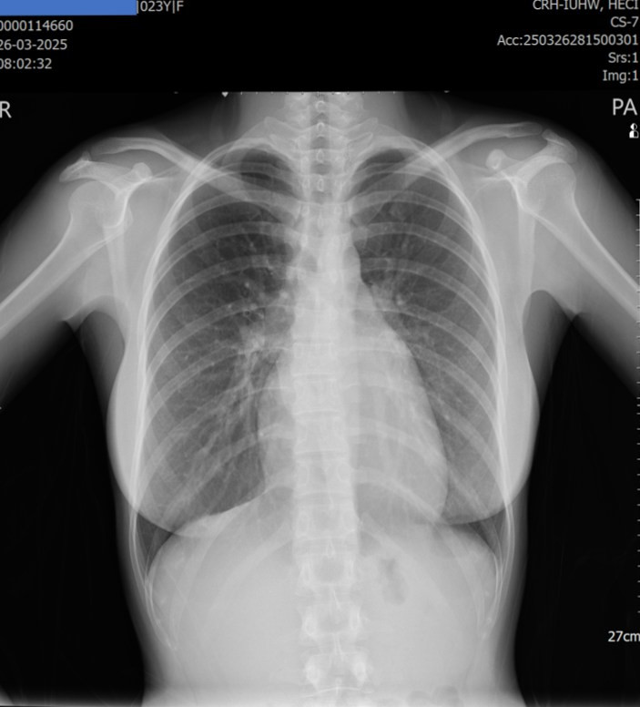
Qua thăm khám lâm sàng, bác sĩ ghi nhận có âm thổi bất thường ở tim, kết quả Xquang ngực thẳng cho thấy hình ảnh bóng tim to.
![]() |
| Xquang ngực thẳng cho thấy hình ảnh bóng tim to - Ảnh BVCC |
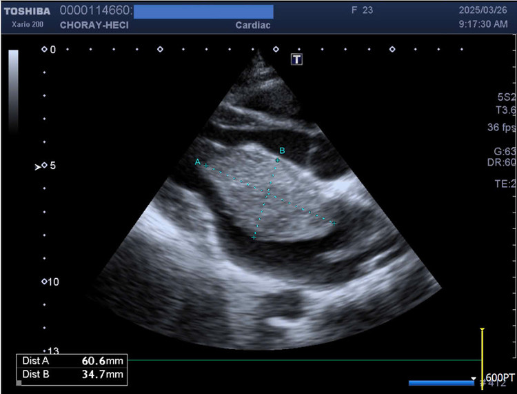
Bệnh nhân được đề nghị kiểm tra thêm siêu âm tim với kết quả ghi nhận có khối u đặc đồng nhất trong nhĩ trái nghĩ nhiều là u nhầy, kích thước khoảng 33*57mm, có cuống bám vào vách liên nhĩ, di động nhiều lan đến van 2 lá gây tắc nghẽn cơ học tại van và gây hở van mức độ nặng.
Ngay lập tức, bệnh nhân được hội chẩn với chuyên gia về phẫu thuật tim tại Bệnh viện Chợ Rẫy. BSCK2 Nguyễn Thái An, Trưởng khoa Phẫu thuật tim, Bệnh viện Chợ Rẫy cho biết, u nhầy là một tình trạng tương đối phổ biến, dù bệnh không có triệu chứng nhưng bệnh nhân cần được can thiệp càng sớm càng tốt vì có thể bị đột tử do khối u to gây tắc nghẽn cơ học van 2 lá, khiến máu không thể lưu thông xuống tâm thất trái để nuôi cơ thể.
Ngoài ra, bệnh nhân bị u nhầy nhĩ trái còn có nguy cơ cao bị đột quỵ do thuyên tắc. Ngay sau đó, bệnh nhân đã được tiến hành phẫu thuật bằng phương pháp nội soi với đường rạch da thẩm mỹ 4cm để cắt bỏ hoàn toàn khối u.
![]() |
| Hình siêu âm tim ghi nhận khối u to, kích thước 33x57mm gây tắc nghẽn cơ học tại van 2 lá - Ảnh BVCC |
Kết quả giải phẫu bệnh cho thấy mẫu mô tăng sản tế bào dạng hình thoi, mật độ tế bào thưa xếp trong mô nền nhầy. Kết luận là u nhầy ở tim, một loại u nguyên phát ở tim thường gặp nhất ở người lớn, chiếm 25% u tân sinh ở tim và chiếm 50% khối u lành tính ở tim. U nhầy có thể gặp ở mọi lứa tuổi, tỷ lệ bệnh ở nam và nữ ngang nhau.
Khoảng 75% u nhầy tim là đơn độc, thường gặp ở tâm nhĩ trái, có cuống dính vào vách liên nhĩ. Đối với khối u nhầy đơn độc thường có tiên lượng tốt, tỷ lệ tái phát thấp khoảng 1-5%. Do đó, lời khuyên dành cho bệnh nhân sau mổ cần tái khám định kỳ và siêu âm tim hàng năm để theo dõi phát hiện u tái phát.
![]() |
| Khối u nhầy khổng lồ ở tim được lấy ra - Ảnh BVCC |
Nhân trường hợp của bệnh nhân H.N, các chuyên gia y tế cũng đưa ra khuyến cáo mặc dù với độ tuổi trẻ, không có triệu chứng lâm sàng gì nhưng người dân cũng nên chủ động tầm soát sức khỏe định kỳ nhằm kịp thời phát hiện sớm được các bệnh lý, từ đó có biện pháp điều trị can thiệp kịp thời.


