Thời sự

Sút cân, ho kéo dài... nào ngờ mắc phổi không lao NTM

Nhiễm trùng phổi do nontuberculous mycobacteria (NTM) xuất hiện ở nhiều nơi trên thế giới. Bệnh phổi NTM tương tự lao, nhiễm trùng da và mô mềm, nhiễm trùng hệ thần kinh trung ương, nhiễm khuẩn huyết, nhiễm trùng mắt và các bệnh nhiễm trùng khác...

“Những năm gần đây, một nhóm vi khuẩn không phải lao dưới tên gọi chung mycobacterium không điển hình có xu hướng gia tăng, không chỉ gây bệnh ở phổi mà còn ở nhiều cơ quan khác. Bệnh khó chẩn đoán và điều trị vì vi khuẩn kháng thuốc...”, TS.BS Trần Cẩm Vân, Bệnh viện Da liễu Trung ương, nói.

Khó chẩn đoán đúng bệnh

Bệnh phổi NTM rất khó chẩn đoán. Bệnh viện Đa khoa Medlatec Hà Nội đã phát hiện nhiều ca bệnh phổi bị tấn công bởi vi khuẩn NTM.

NTM có thể gây bệnh ở hầu hết tổ chức, bệnh phổi do NTM chiếm chủ yếu.

Chẩn đoán phân biệt bệnh hay vi khuẩn thường trú (mang mầm bệnh) thường khó khăn, xác định qua phương pháp vi sinh: Xét nghiệm đờm soi kính trực tiếp tìm AFB và nuôi cấy NTM.

Bệnh nhân N.V.T (70 tuổi, Tây Hồ, Hà Nội), vài tháng nay, có triệu chứng ho khạc đờm, sút cân, sốt về chiều. Đến khám hô hấp tại Bệnh viện Đa khoa Medlatec, bệnh nhân được chẩn đoán viêm phổi đặc hiệu: Hình ảnh tổn thương phổi hai bên kèm hạch trung thất hướng viêm, tuy nhiên chưa loại trừ lao. Vôi hóa động mạch vành hai bên. Vôi hoá cung động mạch chủ...

Để tìm nguyên nhân, PGS.TS.BS Hoàng Thị Phượng, nguyên Trưởng khoa Lao và Bệnh phổi, Viện Phổi Trung ương, chỉ định làm thêm xét nghiệm vi khuẩn lao là Acid Fast Bacillus (AFB). Kết quả thu được là âm tính. Xét nghiệm PCR, kết quả âm tính. Kết quả xét nghiệm vi khuẩn lao Xpert TB/R cũng âm tính.

Tuy nhiên, sau khi làm xét nghiệm nuôi cấy vi khuẩn lao trong môi trường Mgit, bệnh nhân dương tính với Nontuberculous Mycobacteria (NTM) - vi khuẩn không lao. Đây là loại vi khuẩn khó phát hiện, nếu để lâu, người mắc phải mất nhiều thời gian điều trị, bệnh tình kéo dài, gây thiệt hại về sức khỏe và kinh tế.

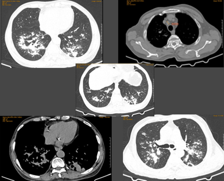
Tổn thương phổi do NTM của bệnh nhân tại Bệnh viện Đa khoa Medlatec Hà Nội.Tổn thương phổi do NTM của bệnh nhân tại Bệnh viện Đa khoa Medlatec Hà Nội.

Với hơn 30 năm kinh nghiệm khám lâm sàng, gần 20 năm nghiên cứu về vi khuẩn không lao NTM, PGS.TS.BS Hoàng Thị Phượng đã tìm ra căn bệnh, đưa phác đồ điều trị hiệu quả cho bệnh nhân, rút ngắn quá trình điều trị.

PGS.TS.BS Hoàng Thị Phượng cho biết, hiện nay, tỷ lệ mắc lao phổi đang giảm theo từng năm nhưng tỷ lệ mắc vi khuẩn Mycobacteria không phải lao NTM đang nổi lên ở nhiều nơi trên thế giới. Dữ liệu nghiên cứu cho thấy, nhiễm trùng do NTM ngày càng tăng theo thời gian và thường khó phát hiện. Bác sĩ có kinh nghiệm làm xét nghiệm chuyên sâu mới chẩn đoán và điều trị hiệu quả nhiễm trùng do vi khuẩn NTM.

Tương tự, thời gian qua, Bệnh viện Đa khoa Hùng Vương (Phú Thọ) tiếp nhận chẩn đoán và điều trị nhiều bệnh nhân có tổn thương phổi. Trong đó, nhiều bệnh nhân ít hoặc không có triệu chứng đã được xác định chẩn đoán viêm phổi do NTM.

Tại Việt Nam, chưa có báo cáo thống kê cụ thể, nhưng ghi nhận bệnh ngày càng được phát hiện nhiều. Tại Mỹ, tỷ lệ nhiễm NTM gia tăng, chiếm 8% (12.000 - 18.000) trong các ca viêm phổi nhiễm mới.

Ngược lại, Bệnh viện Da liễu Trung ương tiếp nhận bệnh nhân nhiễm NTM với tổn thương da là các nodule phân bố thành dải ở chân và tay, rất dễ nhầm lẫn với bệnh da như nhiễm nấm sâu, điều trị không phù hợp dẫn tới bệnh lan tỏa.

Bệnh nhân được chẩn đoán Mycobacterium abscessus thuộc nhóm vi khuẩn mycobacterium, không gây bệnh lao hay thường gọi là lao không điển hình với đặc trưng phát triển nhanh, đa kháng thuốc, rất phổ biến trong đất, nước và đặc biệt các hạt bụi.

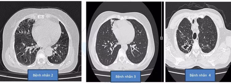
Hình ảnh tổn thương phổi do NTM của các bệnh nhân tại Bệnh viện Đa khoa Hùng Vương (Phú Thọ).Hình ảnh tổn thương phổi do NTM của các bệnh nhân tại Bệnh viện Đa khoa Hùng Vương (Phú Thọ).

TS.BS Trần Cẩm Vân thông tin, nhiễm trùng các bệnh lý do vi khuẩn mycobacterium không điển hình nói chung và M. abscessus nói riêng đang có xu hướng gia tăng tại nhiều quốc gia, khu vực. Tỷ lệ bệnh do mycobacterium không điển hình là 1-1,8 trường hợp trên 100.000 người, trong đó, M. abscessus chiếm từ 5-20% tổng số.

Ở Hàn Quốc, M. abscessus là căn nguyên thứ hai sau M. avium về tỷ lệ phát hiện bệnh trên lâm sàng. Ở Đài Loan (Trung Quốc), trong số các trường hợp nhiễm trùng do mycobacterium không điển hình tại phổi, M. abscessus chiếm tỷ lệ 17,2% tương ứng 1,7 trường hợp trên 100.000 người. Tại Thái Lan, M. abscessus là căn nguyên gây nhiễm trùng da phổ biến nhất với tỉ lệ 61,4%.

“Thời gian gần đây, các đợt bùng phát thường liên quan bệnh viện và phòng khám. Các thủ thuật thẩm mỹ như phẫu thuật, hút mỡ, mesotherapy… thực hiện tại cơ sở không đủ điều kiện vô trùng, được cho làm gia tăng nguồn lây lan bệnh. Bên cạnh đó, với đặc tính kháng cồn, kháng toan, vi khuẩn khó bị diệt bởi các chất khử khuẩn thông thường, dẫn đến nguồn lây lan từ dụng cụ phẫu thuật...”, TS Vân nhấn mạnh.

200 loài tồn tại trong môi trường, ai cũng có thể mắc bệnh

Bệnh phổi NTM thường khó chẩn đoán do tổn thương phổi tiến triển chậmBệnh phổi NTM thường khó chẩn đoán do tổn thương phổi tiến triển chậm

Theo PGS.TS Phượng, vi khuẩn NTM thường chủ yếu tồn tại trong môi trường, rất phổ biến trong đất, nước và đặc biệt các hạt bụi. Khoảng 200 loài NTM và 13 dưới loài được xác định và có 50 loài liên quan bệnh ở người, tính chất gây bệnh rất khác nhau.

Chúng gây bệnh do người hít hoặc nhiễm phải bụi bẩn, đất, nước chứa vi khuẩn, không lây truyền từ người sang người. Nhiễm trùng do NTM gồm nhiều thể lâm sàng như bệnh Phổi tiến triển, thường liên quan giãn phế quản hoặc bệnh phổi tắc nghẽn mãn tính, viêm hạch ngoại vi, đặc biệt là viêm hạch cổ ở trẻ em, nhiễm trùng da và mô mềm và bệnh nhiễm trùng lan tỏa....

Mọi người đều có nguy cơ mắc NTM, trong đó đối tượng cao nhiễm NTM gồm người cao tuổi, người có bệnh phổi mạn tính như giãn phế quản, người dân lao động thường xuyên tiếp xúc môi trường đất nước, suy dinh dưỡng, miễn dịch suy giảm.

Bệnh thường biểu hiện rất thầm lặng mạn tính như mệt mỏi, sút cân, ăn kém, ho kéo dài... hoặc bệnh không triệu chứng, triệu chứng nặng hay nhẹ tùy mức độ tổn thương phổi của bệnh. Ngoài ra, NTM còn có thể gây bệnh tại nhiều cơ quan như da, mô mềm, khớp, hạch.... nên biểu hiện triệu chứng rất đa dạng.

Bệnh thường khó chẩn đoán do tổn thương phổi tiến triển chậm (có thể mất 20 tháng bệnh nhân mới biểu hiện triệu chứng và trên hình ảnh học). Triệu chứng mạn tính dễ nhầm với bệnh lý khác của phổi như viêm phổi, giãn phế quản... nếu không được theo dõi định kỳ.

Việc chẩn đoán bệnh do NTM cần dựa vào 3 tiêu chí: Lâm sàng, điện quang, và vi sinh. Việc điều trị bệnh do NTM còn là một thách thức, hiện chưa có phác đồ tối ưu cho mỗi loài và phác đồ đa thuốc cần được điều chỉnh cụ thể cho bệnh nhân, dựa trên đặc điểm của các loài gây bệnh khác nhau và kiểm tra tính nhạy cảm kháng sinh phù hợp.

Đối với các bệnh nhân phổi do NTM, điều trị được tiếp tục sau khi cấy đờm âm tính liên tục thường trong ít nhất 12 tháng...

Cách phát hiện bệnh phổi NTM

- Khám sức khỏe hàng năm rất quan trọng để phát hiện bệnh khi chưa có triệu chứng.

- Khám ngay khi có biểu hiện như mệt mỏi, sút cân, ho đờm kéo dài, viêm phổi tái diễn...

- Phát hiện, chẩn đoán và điều trị càng sớm càng tốt giúp giảm nguy cơ tiến triển nặng giúp làm sạch vi khuẩn tốt hơn.

back to top