Khoa học & Công nghệ

Sự thật gây sốc ký sinh trùng biến động vật thành zombie

Chúng không giết chết vật chủ ngay, mà biến cơ thể đó thành công cụ sinh tồn. Khả năng điều khiển hành vi qua gen khiến ai cũng rùng mình.

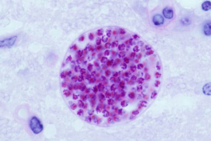
1. Tái lập hành vi của vật chủ bằng cách can thiệp gen. Ví dụ như Toxoplasma gondii, khi lây nhiễm chuột, có thể làm chuột mất phản xạ sợ mèo – điều này giúp ký sinh trùng quay lại vòng đời trong cơ thể mèo, vật chủ cuối cùng. Ảnh: Pinterest.
1. Tái lập hành vi của vật chủ bằng cách can thiệp gen. Ví dụ như Toxoplasma gondii, khi lây nhiễm chuột, có thể làm chuột mất phản xạ sợ mèo – điều này giúp ký sinh trùng quay lại vòng đời trong cơ thể mèo, vật chủ cuối cùng. Ảnh: Pinterest.
2. Loài ong bắp cày Glyptapanteles điều khiển sâu bướm làm "vệ sĩ". Ấu trùng của loài ong này ký sinh trong sâu bướm và khi ra ngoài để hoá nhộng, chúng khiến sâu bướm đứng bất động và co giật để xua đuổi kẻ thù. Ảnh: Charlie Marley | Flickr.
2. Loài ong bắp cày Glyptapanteles điều khiển sâu bướm làm "vệ sĩ". Ấu trùng của loài ong này ký sinh trong sâu bướm và khi ra ngoài để hoá nhộng, chúng khiến sâu bướm đứng bất động và co giật để xua đuổi kẻ thù. Ảnh: Charlie Marley | Flickr.
3. Sán dải Leucochloridium paradoxum biến ốc sên thành "đèn hiệu sống". Chúng xâm nhập vào xúc tu mắt của ốc, làm chúng phồng to và đổi màu liên tục để dụ chim ăn – giúp sán quay lại vật chủ chính là chim. Ảnh: Pinterest.
3. Sán dải Leucochloridium paradoxum biến ốc sên thành "đèn hiệu sống". Chúng xâm nhập vào xúc tu mắt của ốc, làm chúng phồng to và đổi màu liên tục để dụ chim ăn – giúp sán quay lại vật chủ chính là chim. Ảnh: Pinterest.
4. Virus ký sinh baculovirus khiến sâu bướm leo lên cao trước khi chết. Loại virus này tái lập hệ gene và phá vỡ mô não, khiến vật chủ leo lên cao, tan rã và phát tán virus xuống đất qua nước mưa – một chiến lược phát tán hiệu quả. Ảnh: igbmc.fr.
4. Virus ký sinh baculovirus khiến sâu bướm leo lên cao trước khi chết. Loại virus này tái lập hệ gene và phá vỡ mô não, khiến vật chủ leo lên cao, tan rã và phát tán virus xuống đất qua nước mưa – một chiến lược phát tán hiệu quả. Ảnh: igbmc.fr.
5. Một số nấm ký sinh như Ophiocordyceps điều khiển côn trùng như xác sống. Nấm phát triển trong cơ thể kiến hoặc nhện, điều khiển chúng trèo lên lá cao và chết bám vào đó – nơi nấm phát tán bào tử hiệu quả nhất. Ảnh: Pinterest.
5. Một số nấm ký sinh như Ophiocordyceps điều khiển côn trùng như xác sống. Nấm phát triển trong cơ thể kiến hoặc nhện, điều khiển chúng trèo lên lá cao và chết bám vào đó – nơi nấm phát tán bào tử hiệu quả nhất. Ảnh: Pinterest.
6. Một số ký sinh trùng can thiệp hệ hormone để tạo ra hành vi sinh sản giả. Sacculina carcini (một loài sống ký sinh trên cua) khiến cả cua đực và cái nuôi trứng ký sinh như thể chúng là mẹ, dù chẳng hề mang gen con. Ảnh: Pinterest.
6. Một số ký sinh trùng can thiệp hệ hormone để tạo ra hành vi sinh sản giả. Sacculina carcini (một loài sống ký sinh trên cua) khiến cả cua đực và cái nuôi trứng ký sinh như thể chúng là mẹ, dù chẳng hề mang gen con. Ảnh: Pinterest.
7. Con người cũng có thể bị ảnh hưởng hành vi do ký sinh trùng. Ví dụ, Toxoplasma gondii từng được nghi ngờ liên quan đến thay đổi tính cách, tăng rủi ro mắc bệnh tâm thần và rối loạn hành vi ở người. Ảnh: Pinterest.
7. Con người cũng có thể bị ảnh hưởng hành vi do ký sinh trùng. Ví dụ, Toxoplasma gondii từng được nghi ngờ liên quan đến thay đổi tính cách, tăng rủi ro mắc bệnh tâm thần và rối loạn hành vi ở người. Ảnh: Pinterest.

Mời quý độc giả xem video: Khi động vật hoang dã kêu cứu | VTV24.

back to top