Sức khoẻ 360

Sỏi ống mật chủ dễ xơ gan, ứ mật

(khoahocdoisong.vn) - Sỏi ống mật chủ thường tồn tại lâu và gây nhiều diễn biến nguy hiểm tới tính mạng người bệnh cần phải nhận biết và xử lý sớm.

Có bệnh nhân 77 tuổi bị sỏi ống mật chủ to kẹt chặt ống tại vị trí Oddi phải dùng hai phương pháp mổ mới lấy được.

Kết hợp 2 phương pháp mổ để lấy sỏi to kẹt chặt

Bà Khổng Thị T, 77 tuổi (Sông Lô, Vĩnh Phúc) nhập viện trong tình trạng vàng da, vàng mắt, đau bụng dữ dội vùng thượng vị và hạ sườn phải. Bác sĩ chẩn đoán  viêm tụy cấp, nhiễm trùng đường mật, tắc mật do sỏi ống mật chủ và sỏi trong gan. Người bệnh có tiền sử điều trị viêm tụy và giun chui ống mật nhiều lần.

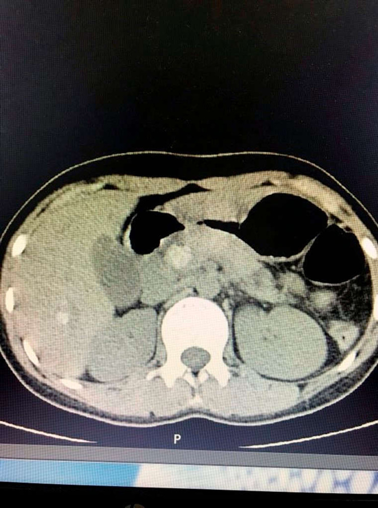
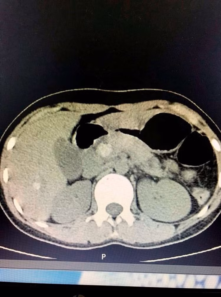
Sau khi được siêu âm và chụp cắt lớp, cho thấy hình ảnh sỏi ống mật chủ và sỏi đường mật trong gan phải. Người bệnh nhanh chóng được điều trị nội khoa, hồi sức tích cực và chỉ định phẫu thuật mở ống mật chủ lấy sỏi, nội soi đường mật tán sỏi điện thủy lực.

Theo ThS.BS Trần Thanh Tùng  - Phó trưởng Đơn vị Ngoại – Trung tâm KCB CLC, người trực tiếp thực hiện ca phẫu thuật cho biết: Đây là một trong những trường hợp phẫu thuật khó vì sỏi trong gan và sỏi ống mật chủ kích thước tương đối to, đường kính khoảng 2cm nằm kẹt chặt tại vị trí Oddi, không thể lấy sỏi bằng phương pháp thông thường. Các bác sĩ đã phải phẫu thuật mở ống mật chủ lấy sỏi kết hợp với nội soi đường mật tán sỏi điện thủy lực giúp tán nhỏ viên sỏi, thu nhỏ kích thước để lấy sỏi ra ngoài đồng thời không làm tổn thương cơ Oddi.

Đây là phương pháp mổ giúp giảm bớt nguy cơ sót sỏi so với mổ thông thường, hơn nữa nhờ vào máy nội soi đường mật giúp các bác sĩ có thể quan sát kỹ hơn các vị trí của sỏi, tránh gây tổn thương đường mật, hạn chế các tai biến. Sau phẫu thuật, người bệnh diễn biến ổn định, không còn vàng da, đau bụng, vết mổ liền tốt. Người bệnh được ra viện sau 1 tuần và hẹn tái khám lại rút dẫn lưu.

Viên sỏi to kẹt chặt tại vị trí Oddi

Viên sỏi to kẹt chặt tại vị trí Oddi

Nhiều biến chứng nguy hiểm tính mạng

ThS.BS Trần Thanh Tùng cho biết, sỏi ống mật chủ thường có 2 nguồn khác nhau: Sỏi hình thành tại chỗ và sỏi di chuyển từ túi mật hay từ gan do nhiễm khuẩn và ký sinh trùng đường mật. Sỏi  nằm trong đường mật chính, đoạn từ chỗ ống túi mật gặp ống gan chung tới chỗ ống mật đổ vào tá tràng. 

Bệnh thường gặp ở lứa tuổi trưởng thành, tăng theo tuổi, không có sự khác nhau nhiều theo giới. Các viên sỏi di động trong ống mật, không gây tắc mật có thể tồn tại lâu dài và không có những rối loạn và chỉ có thể phát hiện tình cờ qua thăm khám. Khi sỏi tắc hoặc kích thước sỏi to gây ứ đọng dịch mật, nhiễm khuẩn dịch mật và viêm đường mật với các mức độ, đặc biệt có thể gây viêm mủ đường mật và sốc nhiễm khuẩn rất nặng.

Sỏi ống mật chủ nhỏ còn di động được thường không có các biểu hiện lâm sàng, chỉ có thể phát hiện tình cơ khi thăm khám có hệ thống hoặc đôi khi có biểu hiện bằng cơn đau nhẹ thoảng qua vùng dưới sườn phải. Khi sỏi ống mật chủ gây tắc mật điển hình và nhiễm khuẩn đường mật, thể trạng chung biến đổi rất nhanh: Sốt, mệt mỏi, chán ăn, da niêm mạc vàng, tăng dần và gầy sút nhanh chóng…Khi viêm đường mật nặng gây các hội chứng nguy hiểm: Suy gan: xơ gan cổ trướng, ứ mật, xuất huyết dưới da; Suy thận: li bì, đái ít, vô niệu….

ThS.BS Trần Thanh Tùng cũng khuyến cáo, sỏi túi mật nếu được phát hiện sớm điều trị tương đối đơn giản là phẫu thuật lấy sỏi hoặc dẫn lưu đường mật. Sỏi tồn tại lâu và diễn biến dần sẽ dẫn đến xơ gan cổ trướng, ứ mật. Vì vậy, có các biểu hiện như đau quặn bụng, đau dữ dội, vàng da, vàng mắt… người bệnh cần đến ngay cơ sở y tế để được xử lý kịp thời.

back to top