Trường hợp bệnh nhân nam 68 tuổi, sau tai nạn giao thông khoảng 2 tháng trước, bệnh nhân xuất hiện đau đầu âm ỉ tăng dần, có cơn co giật, đi khám chụp cắt lớp vi tính sọ não phát hiện tụ máu dưới màng cứng mạn tính bán cầu bên phải, có chỉ định phẫu thuật.
Bệnh nhân được mở sọ 01 lỗ, bơm rửa, dẫn lưu máu tụ. Sau phẫu thuật tình trạng sức khỏe của bệnh nhân ổn định và được ra viện.
Các bác sĩ Bệnh viện Đa khoa Hùng Vương Phú Thọ cho biết, nguyên nhân tụ máu dưới màng cứng mạn tính thường do chấn thương sọ não hoặc không, nhưng đa số có chấn thương, thường bị thương nhẹ vào đầu xảy ra trước đó ít nhất 2 tuần và bệnh nhân không để ý tới, như trượt chân ngã va đầu vào cửa, say rượu đi xiêu vẹo ngã, cũng có thể là tai nạn giao thông, tai nạn lao động.
![]() |
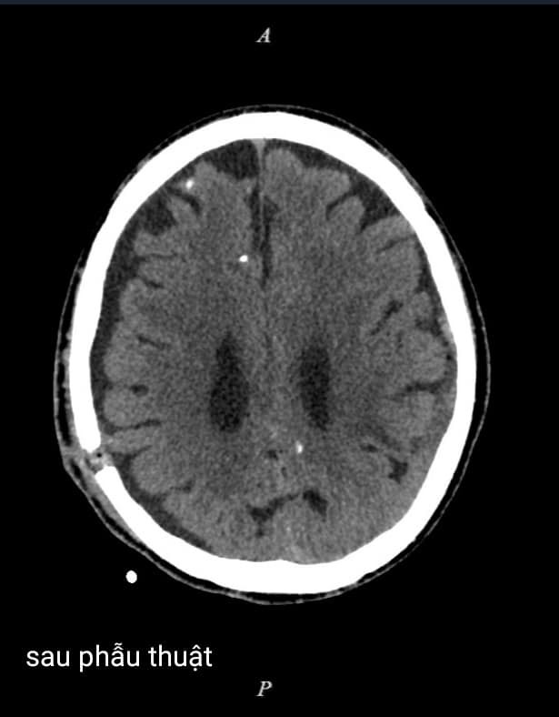
| Hình ảnh chụp cắt lớp vi tính của bệnh nhân trước và sau phẫu thuật |
Triệu chứng lâm sàng sớm của máu tụ dưới màng cứng ở người lớn nghèo nàn, không đặc hiệu, phần lớn có nguyên nhân chấn thương nhẹ, nhiều khi bệnh nhân không chú ý hoặc không xác định rõ.
Chẩn đoán lâm sàng khó, thầy thuốc đa khoa dễ nhầm với bệnh lý nội thần kinh như rối loạn tâm thần, tai biến mạch máu não, u não.
Ngày nay chẩn đoán xác định máu tụ dưới màng cứng mạn tính bằng máy chụp Cắt lớp vi tính và máy chụp Cộng hưởng từ cho kết quả chính xác cao, hiện đã có ở nhiều địa phương, rất thuận tiện cho chẩn đoán.
Vì vậy, tất cả mọi người hãy luôn cẩn trọng với những chấn thương vùng đầu, đặc biệt là người lớn tuổi, có những trường hợp xuất hiện triệu chứng sau chấn thương đến vài tháng.
