Nam bệnh nhân 62 tuổi vào viện cấp cứu trong tình trạng hôn mê, Glasgow 9 điểm.
Người nhà bệnh nhân cho biết: Cách vào viện hơn 1h, bệnh nhân ở nhà đang bê đồ thì xuất hiện hoa mắt, chóng mặt, sau ngã quỵ, đập đầu xuống nền cứng. Sau ngã, bệnh nhân ngất khoảng 2 phút, sau đó tỉnh chậm, đau đầu, nôn ra thức ăn + dịch dạ dày, được người nhà dìu vào giường, ý thức chậm dần, gọi hỏi không đáp ứng.
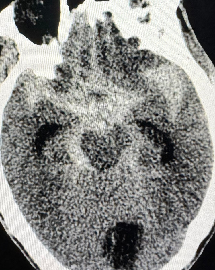
Ngay khi tiếp nhận bệnh nhân các bác sĩ tiến hành đặt nội khí quản và thực hiện các cận lâm sàng. Kết quả chụp CTA (CT scanner) xuất huyết dưới nhện lan toả tràn máu não thất (mFISHER 4) do vỡ túi phình động mạch thông trước và đỉnh thân nền.
![]() |
| Vỡ túi phình đỉnh thân nền trên phim chụp - Ảnh BVCC |
Các bác sĩ đã hội chẩn cùng chuyên gia Trung tâm điện quang Bệnh viện Bạch Mai xác định bệnh nhân xuất huyết dưới nhện do vỡ túi phình đỉnh thân nền, nguy cơ tử vong rất cao nếu không can thiệp.
Sau giải thích tình trạng bệnh nhân được sự đồng ý của gia đình, ekip điện quang can thiệp Bệnh viện Đa khoa Hùng Vương cùng sự hỗ trợ của các chuyên gia Trung tâm điện quang bệnh viện Bạch Mai thực hiện can thiệp nút mạch não cho bệnh nhân.
![]() |
| vòng xoáy kim loại nút tắc - Ảnh BVCC |
Dưới Hệ thống chụp mạch máu số hoá xoá nền DSA hình ảnh 4 túi phình mạch não của bệnh nhân được phát hiện: 01 túi phình vị trí động mạch thông trước và 02 túi phình vị trí đỉnh thân nền, gốc động mạch tiểu não trên trái, đáy nhọn nguy cơ vỡ cao, 01 túi phình nhỏ 3x4mm đoạn tận M1 động mạch não giữa trái, bờ đều, ít nguy cơ.
03 túi phình kích thước lớn nguy cơ vỡ bất cứ lúc nào được ekip tiến hành nút tắc trên cùng một thì bằng vòng xoắn kim loại (coil).
![]() |
| Sau 3 ngày can thiệp bệnh nhân đã được rút ống nội khí quản, tự thở, tỉnh táo hơn - Ảnh BVCC |
Với sự phối hợp nhịp nhàng cũng như kinh nghiệm trong cấp cứu bệnh nhân vỡ phình mạch não ekip đã thực hiện can thiệp thành công, bệnh nhân tạm thời qua cơn nguy kịch và tiếp tục được theo dõi sát tại Khoa Hồi sức cấp cứu bệnh viện.
Sau 3 ngày can thiệp bệnh nhân đã được rút ống nội khí quản, tự thở, tỉnh táo hơn tuy nhiên vẫn cần tiếp tục điều trị tích cực.
Phình mạch não là tình trạng bệnh lý tương đối phổ biến, có thể gặp 5% người trưởng thành ở cả hai giới, đặc biệt nhóm người hút thuốc lá, rối loạn chuyển hoá mỡ, tăng huyết áp. Khi vỡ gây xuất huyết dưới nhện, nguy cơ tử vong cao.
Khuyến cáo nhóm đối tượng này cần khám sức khoẻ định kỳ, kiểm soát các yếu tố nguy cơ và đặc biệt nên chụp cộng hưởng từ để tầm soát phình mạch não. Từ đó có kế hoạch theo dõi, điều trị dự phòng trước khi quá muộn.
Phương pháp nút mạch não bằng vòng xoắn kim loại (coil) là kỹ thuật cao, chuyên sâu trong lĩnh vực can thiệp thần kinh sọ não giúp cấp cứu cho rất nhiều bệnh nhân.


