Với một phác đồ điều trị điều trị ung thư hiện đại theo xu hướng đa mô thức hợp lý, hiệu quả (kết hợp các phương pháp xạ trị - phẫu thuật – điều trị đích), các bác sĩ Bệnh viện Bãi Cháy (Quảng Ninh) đã thành công phục hồi vận động, cải thiện chất lượng cuộc sống và kéo dài tuổi thọ cho một bệnh nhân ung thư phổi giai đoạn cuối di căn não, xương.
![]() |
| Bác sĩ CKI Đinh Hữu Thuấn – Trưởng Khoa Xạ trị và Y học hạt nhân, Bệnh viện Bãi Cháy thăm khám cho bệnh nhân sau phẫu thuật - Ảnh BVCC |
Đi khám gãy xương không ngờ phát hiện ung thư di căn nhiều nơi
Trong quá trình sinh hoạt, bà Phạm Thị Loan (63 tuổi, ở TP Cẩm Phả, tỉnh Quảng Ninh) bị gãy xương đùi phải không liên quan đến tai nạn. Sau khi thăm khám và được bó bột đùi phải tại bệnh viện tuyến trên, bà trở lại thăm khám tại Bệnh viện Bãi Cháy.
Tại đây, các bác sĩ đã khám, thực hiện các xét nghiệm chẩn đoán chuyên sâu để tìm ra căn nguyên gãy xương đùi. Kết quả chụp xquang gãy xương đùi phải, CTscanner toàn thân phát hiện khối u thùy trên phổi trái, hạch trung thất và vùng cổ trái, tổn thương thứ phát não, tiêu xương ngành trên xương mu bên phải. Bệnh nhân được sinh thiết khối u làm giải phẫu bệnh.
Dựa trên kết quả thăm khám lâm sàng, cận lâm sàng, các bác sĩ chẩn đoán bệnh lý ung thư phổi không tế bào nhỏ giai đoạn IV di căn não, tiêu xương, gãy xương đùi phải.
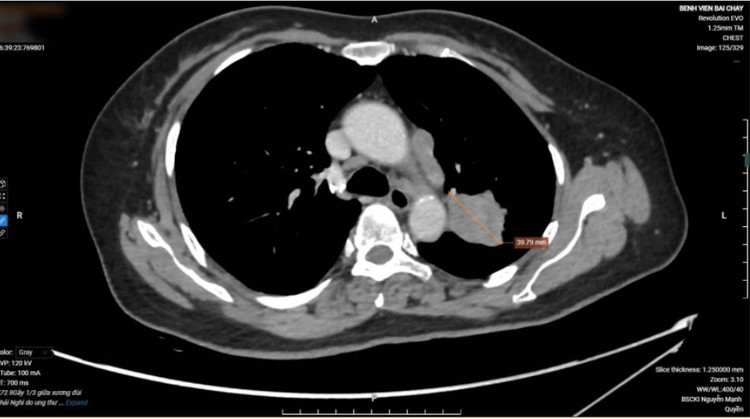
![]() |
| Hình ảnh khối u phổi của bệnh nhân - Ảnh BVCC |
Khi biết kết quả khám, bà Phạm Thị Loan tưởng như thời gian sống ngắn lại, đối diện với nguy cơ tàn phế, phải cắt chi do ung thư giai đoạn cuối di căn xương.
Ngay sau đó, các bác sĩ Bệnh viện Bãi Cháy đã kịp thời hội chẩn các chuyên khoa Ung bướu – Xạ trị và y học hạt nhân - Chấn thương chỉnh hình, xây dựng và triển khai phác đồ điều trị đa mô thức tích cực, hiệu quả để cải thiện chất lượng cuộc sống, kéo dài tuổi thọ cho bệnh nhân.
Bệnh nhân được xạ trị tích cực vùng não và xương đùi để tiêu diệt, ngăn chặn sự phát triển của tế bào ung thư, giảm đau, chống phù não. Tiếp đó, ca phẫu thuật phẫu thuật cắt bỏ đoạn u xương đùi do ung thư di căn, kết hợp xương, thay thế đoạn xương đùi khuyết bằng xi măng sinh học do bác sĩ Vũ Quang Nghĩa – Trưởng Khoa Chấn thương chỉnh hình thực hiện đã thành công giúp bệnh nhân phục hồi vận động.
Sau 7 ngày phẫu thuật, những cơn đau nhức không còn, bệnh nhân tích cực tập phục hồi chức năng, đi lại tốt với dụng cụ hỗ trợ tập luyện.
![]() |
| Hình ảnh gãy xương, tiêu xương đùi phải của bệnh nhân trước và sau phẫu thuật - Ảnh BVCC |
Đặt chân bước đi không cần sự trợ giúp của người thân, Bà Phạm Thị Loan hạnh phúc chia sẻ: “Suốt hai tháng trời chân của tôi bị đau đớn hành hạ. Khi biết chân phải của mình có nguy cơ phải cắt cụt do ung thư di căn, tôi cảm thấy rất bất lực, suy sụp, không ăn không ngủ được… Nhưng các bác sĩ Bệnh viện Bãi Cháy đã phẫu thuật cứu chân cho tôi.
Sau phẫu thuật, tôi ăn ngủ tốt, tăng cân được, không còn đau đớn nữa, có thể tự mình bước đi được. Tôi cảm ơn các bác sĩ đã chữa khỏi chân cho tôi, tôi hoàn toàn tin tưởng năng lực và phương pháp điều trị của các y bác sĩ Bệnh viện.”
Căn cứ vào kết quả giải phẫu bệnh và xét nghiệm đột biến gene EGFR xác định bệnh nhân bị ung thư phổi không tế bào nhỏ giai đoạn cuối di căn não, xương.
Bệnh nhân tiếp tục được bác sĩ tư vấn và chỉ định điều trị thuốc đích nhằm giảm nhẹ triệu chứng, cải thiện chất lượng cuộc sống, làm chậm tiến triển khối u và kéo dài thời gian sống thêm của bệnh nhân.
Sau hơn 2 tuần được các bác sĩ Bệnh viện Bãi Cháy đồng hành chăm sóc, điều trị. Sức khỏe bệnh nhân đã phục hồi ngoạn mục, cải thiện cân nặng, ăn uống tốt, tinh thần lạc quan và được xuất viện trở lại với đời sống hằng ngày.
Sức khỏe của bệnh nhân phục hồi vượt kỳ vọng là động lực để đội ngũ y bác sĩ Bệnh viện Bãi Cháy nỗ lực trong công tác khám chữa bệnh
Kết hợp chuyên sâu hiện đại vượt qua kỳ vọng
Bác sĩ CKI Đinh Hữu Thuấn, Trưởng Khoa Xạ trị và Y học hạt nhân, Bệnh viện Bãi Cháy cho biết “Đây là một trong những ca bệnh ung thư phổi giai đoạn cuối di căn não, xương phục hồi sức khỏe vượt kỳ vọng của các bác sĩ chúng tôi.
Có được thành công này là nhờ sự phối hợp tích cực giữa các chuyên khoa Ung bướu- xạ trị và y học hạt nhân – chấn thương chỉnh hình – giải phẫu bệnh – chẩn đoán hình ảnh… từ khâu chẩn đoán đến xây dựng, triển khai phác đồ điều trị một cách hợp lý, hiệu quả.
Bệnh nhân được chữa bệnh hiệu quả bằng các phương pháp điều trị ung thư chuyên sâu, hiện đại ngay tại địa phương (xạ trị, phẫu thuật, điều trị đích), đồng thời nhận được sự đồng hành, chăm sóc tốt nhất từ gia đình và đội ngũ y bác sĩ giúp giảm đáng kể gánh nặng chi phí điều trị.”
Thành công giúp bệnh nhân ung thư phổi giai đoạn cuối di căn não, xương phục hồi vận động, kiểm soát tế bào ung thư, cải thiện chất lượng cuộc sống và thời gian sống ở giai đoạn ung thư phổi di căn xa là sự khẳng định cho những nỗ lực cập nhật kiến thức, kỹ thuật y khoa, phương pháp điều trị mới của các y bác sĩ Bệnh viện Bãi Cháy nhằm mang lại sức khỏe, cơ hội sự sống, tiếp thêm niềm tin, ý chí lạc quan cho bệnh nhân ung thư.


