Người bệnh L.V.C 86 tuổi trú tại thành phố Việt Trì (Phú Thọ) là một trong những trường hợp bệnh điển hình. Người bệnh có tiền sử tăng huyết áp, đái tháo đường, 3 ngày trước vào viện xuất hiện sốt, ho, đau họng, ở nhà tự điều trị bằng thuốc cảm cúm thông thường nhưng không đỡ.
Ngày thứ 3 người bệnh xuất hiện khó thở, tức ngực, mệt nhiều, người nhà đưa vào viện trong tình trạng suy hô hấp SPO2 85-90%, phổi nhiều rales xuất tiết và co thắt.
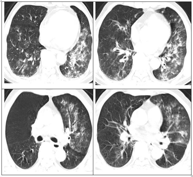
Người bệnh đã được khám và làm cận lâm sàng: test cúm A dương tính, CT ngực viêm phổi lan tỏa và đông đặc.
Người bệnh đã được điều trị bằng thuốc kháng cúm Oseltamivir, chống bội nhiễm bằng kháng sinh, thở oxy, khí dung. Sau 1 tuần điều trị, tình trạng bệnh cải thiện tốt lên rõ rệt: hết sốt, giảm viêm long, hết khó thở… Hiện tại, tình trạng người bệnh tiến triển tốt, sức khỏe ổn định và đã được xuất viện về nhà.
Hình ảnh người bệnh cúm A lúc nhập viện điều trị tại khoa Bệnh nhiệt đới |
Giống như người bệnh L.V.C, khoa Bệnh nhiệt đới, Bệnh viện đa khoa tỉnh Phú Thọ đã tiếp nhận rất nhiều trường hợp người bệnh đến điều trị trong tình trạng bệnh đã trở nặng, nhiều biến chứng trên phổi, cơ, não…
Trong đó, rất nhiều trường hợp tự mua thuốc uống ở nhà, đến khi thấy bệnh trở nặng mới đến bệnh viện khám. Cao điểm có ngày tiếp nhận khám 15 trường hợp nhiễm cúm A, có 8 trường hợp phải nhập viện, đặc biệt có 3 trường hợp suy hô hấp, viêm phổi nặng phải thở oxy hỗ trợ (cả 3 trường hợp nặng đều có bệnh lý nền là bệnh phổi tắc nghẽn mạn tính).
![]() |
| BSCKI. Đặng Thị Thu Phương thăm khám cho người bệnh tại phòng khám Bệnh nhiệt đới |
Đối với những trường hợp trên, nếu được khám xét phát hiện sớm sẽ hạn chế tối đa việc nhập viện, rút ngắn thời gian điều trị, hạn chế bệnh tiến triển nặng và đỡ tốn kém hơn rất nhiều. Với những trường hợp nhẹ không có bệnh nền, chỉ cần kê đơn uống thuốc và theo dõi tại nhà. Những trường hợp có bệnh lý nền phát hiện sớm sẽ giảm thiểu khả năng tiến triển nặng của bệnh, hạn chế tối đa những biến chứng có thể xảy ra.
![]() |
| Phổi đông đặc, suy hô hấp phải nhập viện |
Qua đây, bác sĩ khuyến cáo người dân không nên chủ quan với bệnh cúm A, nhất là khi vào mùa dịch. Những đối tượng có nguy cơ cao như người già, trẻ nhỏ, phụ nữ có thai, người trong trại dưỡng lão, người có bệnh lý nền, nhân viên y tế tiếp xúc trực tiếp với nguồn bệnh… cần chủ động phòng ngừa bệnh bằng cách tiêm vaccin phòng bệnh, đeo khẩu trang khi tiếp xúc với người nhiễm và nghi nhiễm cúm, sát khuẩn tay, không tụ tập đông người khi có dịch lưu hành…
Người dân khi có những dấu hiệu nghi nhiễm cúm A cần đến cơ sở y tế để được thăm khám, phát hiện và điều trị bệnh kịp thời, không tự ý điều trị để tránh những biến chứng đáng tiếc có thể xảy ra.
BSCKI. Đặng Thị Thu Phương (Phó Trưởng khoa Bệnh nhiệt đới, Bệnh viện đa khoa tỉnh Phú Thọ)
Hình ảnh người bệnh cúm A lúc nhập viện điều trị tại khoa Bệnh nhiệt đới
