Người bệnh nữ (20 tuổi, Hà Nội) nhập viện với các dấu hiệu rõ rệt của chứng đau ruột thừa như: đau bụng dữ dội vùng hố chậu, buồn nôn, đau tăng dần và liên tục, đau di chuyển xuống hạ vị…
Tuy nhiên với người bình thường, khi đau ruột thừa sẽ đau ở hố chậu phải, còn người bệnh lại đau ở bên hố chậu trái, điều này rất dễ gây nhầm lẫn trong chẩn đoán bệnh.
Qua khám lâm sàng và kết quả các xét nghiệm, siêu âm bụng, chụp CT ổ bụng, các bác sĩ đã xác định người bệnh bị viêm phúc mạc khu trú do ruột thừa mủ trên nền người bệnh bị đảo ngược phủ tạng hiếm gặp. Do đó, cần đưa ra phương án điều trị nhanh chóng, tránh những biến chứng gây nguy hiểm đến tính mạng người bệnh.
Theo khai thác tiền sử bệnh án, cách đây vài ngày, người bệnh xuất hiện các cơn đau bụng nhưng người bệnh không đi khám. Tình trạng đau ngày càng tăng ở vùng hố chậu trái, nôn, đau vùng thượng vị sau đó lan xuống hạ vị kèm sốt... người bệnh được người nhà đưa vào Bệnh viện E để thăm khám và điều trị.
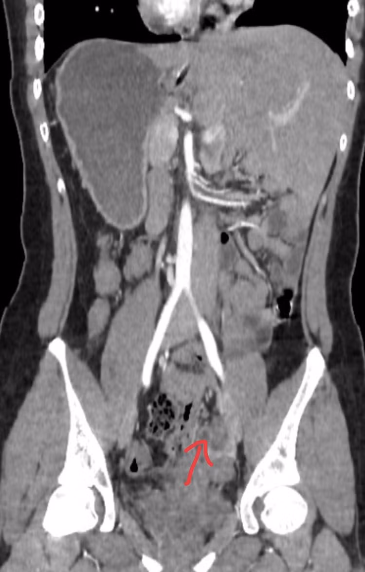
![]() |
| Hình ảnh ruột thừa viêm ở bệnh nhân phủ tạng đảo ngược - Ảnh BVCC |
Sau khi hội chẩn, các bác sĩ đã đánh giá đây là một ca phẫu thuật khó, phức tạp, trên nền người bệnh bị đảo ngược phủ tạng hoàn toàn.
ThS.BSNT Phùng Văn Quyên giải thích thêm, hiện tượng đảo ngược phủ tạng là tình trạng các cơ quan mô, nội tạng trong ngực, bụng đảo ngược phản chiếu theo mặt phẳng đứng dọc so với vị trí bình thường. Tình trạng đảo ngược phủ tạng có thể hoàn toàn hoặc chỉ một vài cơ quan đơn thuần.
Đây là một dị tật hiếm gặp, với tỷ lệ khoảng 0,001% - 0,01%, Trong đó có khoảng 5-10% có dị tật tim bẩm sinh kèm theo; có khoảng 4% trong số các ca đảo ngược phủ tạng có thể mắc viêm ruột thừa, còn lại có cuộc sống hoàn toàn bình thường, không ảnh hưởng đến sức khỏe người bệnh.
Ca phẫu thuật diễn ra khoảng 60 phút, các bác sĩ đã lựa chọn phương pháp phẫu thuật nội soi cắt ruột thừa để xử lý tổn thương cho người bệnh. Ưu điểm của phẫu thuật nội soi cắt ruột thừa giải quyết được gần như triệt để ổ mủ và cắt được ruột thừa.
Tai biến trong mổ và biến chứng sau mổ thấp và hồi phục sau mổ nhanh, an toàn cho người bệnh. Phương pháp này đòi hỏi máy móc hiện đại, trình độ chuyên môn và kỹ năng, kinh nghiệm của bác sĩ phẫu thuật được đào tạo bài bản về nội soi thực hiện.
![]() |
| Phẫu thuật nội soi cho bệnh nhân - Ảnh BVCC |
Theo BSCKI Mai Văn Lực – Khoa Phẫu thuật thận tiết niệu và nam học, Bệnh viện E, phẫu thuật trên nền người bệnh bị đảo ngược phủ lục ngũ tạng hoàn toàn về giải phẫu sẽ có nhiều nguy cơ và khó khăn khi đưa ra các chẩn đoán bệnh.
Thứ nhất, khi khám lâm sàng, bác sĩ chỉ thực hiện khám bên phải, bỏ qua bên trái thì nguy cơ sẽ để sót tổn thương, dẫn tới tình trạng viêm ruột thừa muộn gây viêm phúc mạc hoặc vỡ ruột thừa…
Thứ hai, trong phẫu thuật, đối với người bệnh bị đảo ngược phủ tạng khi phẫu thuật các bác sĩ sẽ phải thực hiện các thao tác ngược lại như cổng trocal thao tác ngược, đặt dàn máy nội soi ngược…
Khi vào ổ bụng, các bác sĩ phát hiện toàn bộ đại tràng, gan, lách, dạ dày, ruột thừa đều đảo ngược. Ruột thừa quặt sau manh tràng nên phải tiến hành cắt ruột thừa ngược dòng.
Vì vậy các bác sĩ phải khám và đánh giá trước mổ, trong mổ, sau mổ đòi hỏi phải có chuyên môn sâu và nhiều kinh nghiệm mới có thể đảm bảo an toàn cho người bệnh.
![]() |
| Thăm khám cho bệnh nhân sau phẫu thuật - Ảnh BVCC |
Ở người bệnh này, sau khi phẫu thuật cho người bệnh, các bác sĩ đã khuyến cáo cho người bệnh và gia đình hiểu rõ về tình trạng bệnh lý, đặc biệt là những lưu ý về sức khỏe sau này cho người bệnh.
"Viêm ruột thừa là một tình trạng cấp cứu và cần được điều trị kịp thời để tránh các biến chứng nguy hiểm. Đối với những người bị đảo ngược phủ tạng, việc chẩn đoán và điều trị viêm ruột thừa càng trở nên phức tạp và đầy rủi ro.
Có những trường hợp viêm ruột thừa ở người bệnh đảo ngược phủ tạng, bác sĩ chỉ chẩn đoán được khi chúng ta nghĩ tới, một số dấu hiệu cần lưu ý như: người bệnh đau bụng vùng hố chậu trái kèm theo X-quang tim phổi thấy hình ảnh tim đảo ngược; người bệnh đã có tiền sử được chẩn đoán đảo ngược phủ tạng, cần phải lưu ý đánh giá và khám xét một cách kỹ lưỡng.
Do đó, khi có dấu hiệu của viêm ruột thừa, người bệnh cần đến ngay các cơ sở y tế uy tín để được chẩn đoán và điều trị kịp thời. Việc tự ý dùng thuốc kháng sinh hoặc thuốc giảm đau có thể dẫn đến các biến chứng nguy hiểm." - BSCKI Mai Văn Lực khuyến cáo,


