Sức khoẻ 360

Phẫu thuật u máu trong xoang tĩnh mạch hang

Thành công của ca phẫu thuật mở ra cơ hội chữa trị và cứu sống cho các bệnh nhân bị u máu trong xoang tĩnh mạch hang.

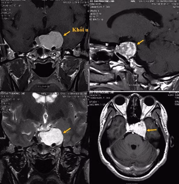
Bệnh nhân N.T.H (34 tuổi, Hà Nội) biểu hiện chủ yếu đau đầu kéo dài, nhìn đôi, tê bì, thái dương... Kết quả chụp MRI cho thấy u trong xoang tĩnh mạch hang chèn ép tuyến yên.

u-mau.jpg
Ca phẫu thuật sọ não tại Bệnh viện E T.Ư

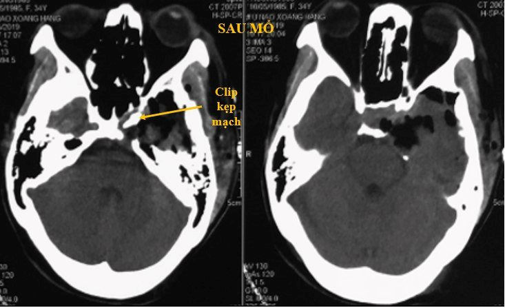
Bệnh nhân được phẫu thuật lấy gần toàn bộ u, xét nghiệm là u mạch thể hang. Sau mổ bệnh nhân có liệt tạm thời dây thần kinh III trái, hồi phục hoàn toàn sau 3 tháng, chỉ còn tê bì vùng mặt hàm trên bên trái.

u-mau-1(1).jpg
Hình minh họa xoang hang

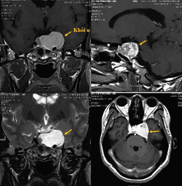
Theo dõi sau 2 năm, bệnh nhân ổn định, khối u gần như không còn trên phim cộng hưởng từ.

TS.BS Nguyễn Đức Anh, Phụ trách khoa Phẫu thuật thần kinh Sọ não và Cột sống, Bệnh viện E T.Ư cho biết, thành công của ca bệnh này mở ra và khẳng định cơ hội chữa trị và cứu sống cho các bệnh nhân bị u máu trong xoang tĩnh mạch hang.

u-mau-2.jpg
Đã cứu sống được u máu trong xoang tĩnh mạch hang

Xoang hang là hội lưu của nhiều xoang tĩnh mạch nằm ở nền sọ, ôm quanh tuyến yên, bên trong có chứa động mạch cảnh trong (là nguồn mạch cấp máu quan trọng cho não) và nhiều dây thần kinh sọ (gồm dây TK III, IV, VI, V1, V2).

u-mau-3.jpg
Đã cứu sống được u máu trong xoang tĩnh mạch hang

Trước đây, xoang hang được coi là vùng cấm trong phẫu thuật điều trị. Khoảng chục năm gần đây, nhờ những nghiên cứu rất sâu về giải phẫu và những tiến bộ về kỹ thuật, phẫu thuật can thiệp những tổn thương ở vùng này đã trở nên khả thi.

U máu trong não (còn gọi là u mạch thể hang) là u lành tính, đứng thứ 4 trong các bệnh lý mạch não, hay gặp ở trong nhu mô não, rất hiếm khi xuất hiện ở trong xoang hang.

u-mau-4.jpg
Hình ảnh u máu trong xoang tĩnh mạch hang của bệnh nhân trước phẫu thuật

Biểu hiện chủ yếu của u là đau đầu, liệt thần kinh vận nhãn, nhìn đôi, tê bì, teo cơ thái dương, …. Phương pháp điều trị với những u này chủ yếu là phẫu thuật.

Tuy nhiên, vị trí u trong xoang hang gặp rất nhiều khó khăn do nguy cơ chảy máu khó cầm, tổn thương động mạch cảnh trong, tổn thương các dây thần kinh sọ, tắc xoang tĩnh mạch, suy tuyến yên…

u-mau-5.jpg
Hình ảnh u máu trong trong xoang tĩnh mạch hang sau phẫu thuật 2 năm

Do vậy, phẫu thuật đòi hỏi phẫu thuật viên phải nghiên cứu rất kỹ về giải phẫu, có kinh nghiệm và trang thiết bị đầy đủ.

TS.BS Nguyễn Đức Anh khuyên, người bệnh thường xuyên có biểu hiện đau đầu nên đi khám  sớm ở các cơ sở có chuyên khoa thần kinh, sọ não.

back to top