Sức khoẻ 360

Phẫu thuật thành công u nhầy xoang hàm gây tiêu xương

Các bác sĩ đã phẫu thuật nội soi lấy trọn khối u nhầy xoang hàm lớn ở bệnh nhân 76 tuổi, ngăn nguy cơ tổn thương thị lực và biến dạng khuôn mặt.

Bệnh viện Đa khoa tỉnh Quảng Trị cho biết vừa phẫu thuật thành công cho một bệnh nhân bị u nhầy xoang hàm biến chứng nặng, gây tiêu xương thành xoang hàm và ăn mòn xương sàn ổ mắt.

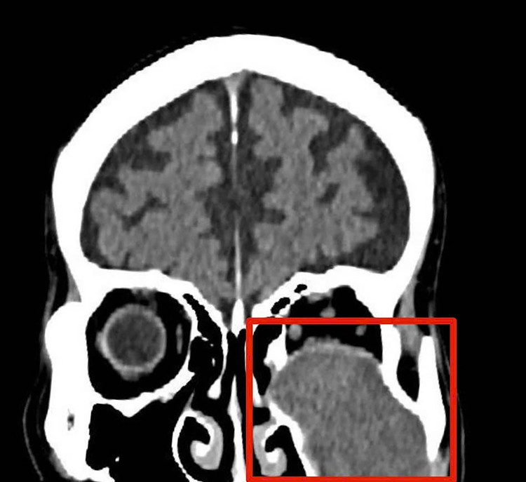
Hình ảnh chụp phim cho thấy khối u ăn mòn tiêu xương sàn ổ mắt. Ảnh nguồn tienphong.vn

Hình ảnh chụp phim cho thấy khối u ăn mòn tiêu xương sàn ổ mắt. Ảnh nguồn tienphong.vn

Chủ quan khiến khối u ăn mòn tiêu xương sàn ổ mắt

Bệnh nhân là ông N.H. (76 tuổi, trú phường Nam Đông Hà), nhập viện trong tình trạng sưng đau vùng má trái kéo dài, khuôn mặt mất cân xứng. Thăm khám lâm sàng ghi nhận vùng lợi hàm trên sần sùi, mắt trái nhìn mờ dần và thường xuyên chảy nước mắt.

Khai thác bệnh sử cho thấy, ông H. đã được chẩn đoán u nhầy xoang hàm từ nhiều năm trước nhưng không điều trị do khối u tiến triển chậm, ít gây đau, sinh hoạt hằng ngày vẫn tạm ổn.

Kết quả chụp chiếu và hội chẩn liên khoa xác định, khối u nhầy xoang hàm trái của bệnh nhân có kích thước lớn, đã ăn mòn tiêu xương các thành xoang hàm, đồng thời xâm lấn và làm tiêu xương sàn ổ mắt.

Trước diễn biến phức tạp của bệnh, các bác sĩ quyết định tiến hành phẫu thuật nội soi vi phẫu. Ê-kíp đã lấy bỏ hoàn toàn tổ chức u, mở rộng lỗ thông xoang hàm, hút sạch dịch nhầy, súc rửa và dẫn lưu xoang hiệu quả.

Sau 4 ngày phẫu thuật, tình trạng bệnh nhân cải thiện rõ rệt. Ảnh nguồn tienphong.vn

Sau 4 ngày phẫu thuật, tình trạng bệnh nhân cải thiện rõ rệt. Ảnh nguồn tienphong.vn

Sau 4 ngày phẫu thuật, bệnh nhân hồi phục tốt, tỉnh táo, không xuất hiện biến chứng. Tình trạng sưng đau vùng má trái giảm rõ rệt, khuôn mặt dần cân đối trở lại; thị lực mắt trái được cải thiện, hiện tượng chảy nước mắt gần như chấm dứt.

U nhầy mũi xoang – bệnh lý hiếm gặp nhưng dễ biến chứng nếu chậm trễ điều trị

U nhầy vùng mũi xoang là tổn thương lành tính, tương đối hiếm gặp. U nhầy hình thành khi dịch nhầy trong xoang không thoát ra ngoài được do tắc nghẽn xoang. Qua thời gian, dịch nhầy bị ứ đọng lại, tạo thành một khối u lớn dần, gây áp lực chèn ép lên các cơ quan lân cận như ổ mắt, sọ não khiến người bệnh thường xuyên đau đầu, nhức mắt.

Đa số trường hợp bệnh xảy ra sau chấn thương vùng hàm mặt, hoặc do biến chứng của những ca phẫu thuật mũi xoang trước đó. Tuy nhiên cũng có những trường hợp u nhầy nguyên phát, tức là không có nguyên nhân rõ rệt.

Theo một số nghiên cứu, khoảng 60-89% u nhầy xảy ra ở xoang trán, 8-30% ở xoang sàng, 5-10% ở xoang hàm và 2-3% ở xoang bướm. Sự xâm lấn rộng vào các cấu trúc giải phẫu xung quanh của u nhầy là do sự tiết chất nhầy liên tục và đặc tính tiêu huỷ xương của khối u nhầy.

Triệu chứng của bệnh thường âm thầm và dễ bị bỏ qua như nghẹt mũi kéo dài một bên, nhức đầu, cảm giác đầy nặng vùng mặt, hoặc nặng hơn là đau mắt, lồi mắt, mờ mắt.

U nhầy mũi xoang tuy lành tính nhưng nếu không điều trị kịp thời thì u càng lớn dần, xâm lấn đến các cấu trúc lân cận như mắt, sàn sọ, thậm chí u lớn lan rộng đến sàn sọ gây rò dịch, chảy dịch não tủy. Lúc này việc điều trị sẽ khó khăn hơn, ngoài việc lấy u còn phải tái tạo các cấu trúc xung quanh như xương ổ mắt, sàn sọ.

Vì lẽ đó, bác sĩ khuyến cáo người bệnh khi có những triệu chứng đau mắt, mờ mắt, lồi mắt thì nên đến cơ sở y tế uy tín để thăm khám ngay. Trong trường hợp khám mắt mà chưa tìm ra nguyên nhân thì cần nghĩ ngay đến bệnh lý mũi xoang, hãy thăm khám tai mũi họng để tìm chính xác nguyên nhân bệnh cũng như điều trị kịp thời.

back to top