Ngày 3/5, các bác sĩ khoa Phẫu thuật Thần kinh - Bệnh viện E cho biết, vừa phẫu thuật thành công cho một bệnh nhi nữ 9 tuổi bị u màng não lớn. Đây là ca bệnh khó vì người bệnh còn nhỏ tuổi, kích thước khối u lớn, vị trí nguy hiểm, buộc phải tiến hành phẫu thuật loại bỏ khối u nếu không sẽ đe dọa đến chức năng thần kinh và tính mạng người bệnh.
Người bệnh nhập viện với tình trạng đau đầu dữ dội, kéo dài nhiều tuần. Sau khi thăm khám lâm sàng, làm các xét nghiệm cần thiết, người bệnh được chẩn đoán U màng não liềm đại não 1/3 trước.
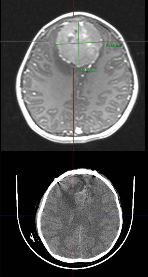
Các bác sĩ đã hội chẩn, tiến hành đánh giá xác định khối u nằm vị trí đường giữa, phát triển sang 2 bên bán cầu đại não, kích thước 62x52x50 mm, xâm lấn làm tắc hoàn toàn xoang tĩnh mạch dọc trên.
![]() |
| Kích thước khối u trên phim chụp - Ảnh BVCC |
Các bác sĩ khoa Phẫu thuật Thần kinh - Bệnh viện E đã lên kế hoạch điều trị: người bệnh sẽ được can thiệp nút mạch tiền phẫu và phẫu thuật khối u sau đó nhằm giảm nguy cơ mất máu trong mổ.
Ca phẫu thuật kéo dài 8 tiếng, được sự hỗ trợ của các thiết bị hiện đại trong lĩnh vực phẫu thuật thần kinh như: sử dụng kính vi phẫu, dụng cụ vi phẫu thuật, định vị thần kinh và bó sợi thần kinh trong phẫu thuật (Neuronavigation), giúp xác định rõ khối u so với các cấu trúc quan trọng khác, giúp phẫu thuật viên phẫu tích chính xác, tránh tổn thương mô não lành và hạn chế tối đa biến chứng.
Ca phẫu thuật kéo dài 8 tiếng đã lấy được toàn bộ khối u, toàn bộ phần xoang tĩnh mạch dọc trên và liềm đại não bị khối u thâm nhiễm, bảo tồn các chức năng thần kinh quan trọng, hạn chế mất máu tối đa.
ThS.BSNT Bùi Minh Thắng, giảng viên bộ môn Ngoại trường ĐH Y Hà Nội, bác sĩ điều trị tại khoa Phẫu thuật Thần kinh, Bệnh viện E cho biết, khối u não của người bệnh phát triển từ từ, được phát hiện khi đã có kích thước lớn gây nguy hiểm và khó khăn trong quá trình điều trị và phẫu thuật.
![]() |
| ThS.BSNT Bùi Minh Thắng thăm khám cho bệnh nhân sau phẫu thuật - Ảnh BVCC |
Tuy nhiên với điều kiện trang thiết bị đầy đủ của Bệnh viện với các ekip chuyên khoa: Phẫu thuật, Gây mê hồi sức, Chẩn đoán hình ảnh - can thiệp, Giải phẫu bệnh, Nhi khoa, Huyết học cùng sự hỗ trợ của hệ thống thiết bị phẫu thuật thần kinh hiện đại đã giúp loại bỏ hoàn toàn khối u. Sau kết thúc ca phẫu thuật 14 tiếng, người bệnh tỉnh lại và được đưa về khoa điều trị.
Người bệnh được chăm sóc và điều trị hậu phẫu 10 ngày ra viện, bệnh nhi tỉnh táo, chơi ngoan, ăn ngủ tốt, không liệt, vết mổ liền. Phim chụp kiểm tra không còn khối u và các tổn thương sau phẫu thuật”.
"Trẻ em khi có dấu hiệu đau đầu, đặc biệt là những cơn đau đầu kéo dài, gia đình nên lưu tâm và cho trẻ đi khám tại các cơ sở y tế có đầy đủ chuyên khoa: Nhi khoa, Phẫu thuật thần kinh, Nội thần kinh để được kiểm tra và can thiệp y tế kịp thời." - TS.BS Lê Hồng Nhân, Khoa Phẫu thuật thần kinh, bệnh viện E chia sẻ

