Ngày 31/12, Khoa Ngoại tổng quát Bệnh viện đa khoa Xuyên Á (TP HCM) cho biết, bệnh viện mới thực hiện thành công ca phẫu thuật nội soi cắt gan và đóng hậu môn nhân tạo cho nữ bệnh nhân bị ung thư đại tràng sigma di căn gan. Ca phẫu thuật giúp người bệnh triệt tiêu các tổn thương di căn và phục hồi lưu thông ruột trong cùng một cuộc phẫu thuật.
Bệnh nhân là bà M.T.H (61 tuổi, Tiền Giang) bị ung thư đại tràng sigma xâm lấn bàng quang. Bà đã được phẫu thuật Hartmann (cắt u đại tràng sigma và đưa đại tràng sigma ra ngoài làm hậu môn nhân tạo) và hóa trị tại một bệnh viện ở TP.HCM.
Sau thời gian hóa trị, bà H. được kiểm tra phát hiện có tổn thương di căn ở gan trái, sức khỏe ổn định nên bà lựa chọn đến Bệnh viện Đa khoa Xuyên Á để phẫu thuật đóng hậu môn nhân tạo, tái lập lưu thông ruột và điều trị khối u gan di căn.
![]() |
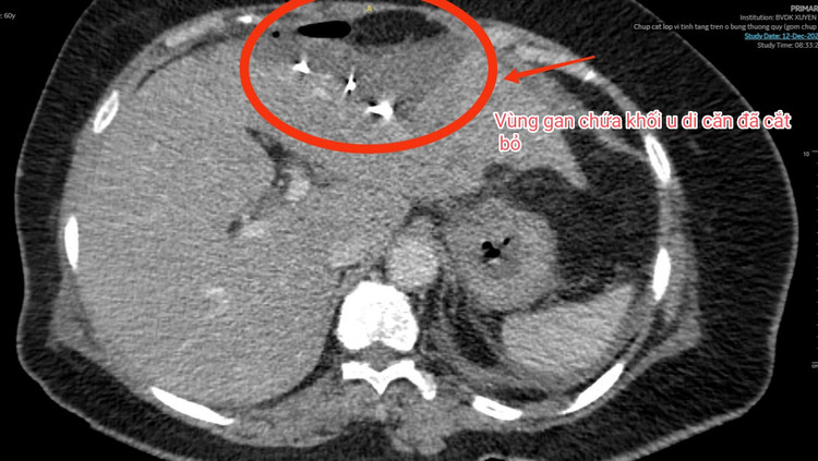
| Ảnh khối u di căn gan đã được cắt bỏ trên phim chụp |
Tại khoa Ngoại Tổng Quát BVĐK Xuyên Á, các bác sĩ đã thăm khám, thực hiện các cận lâm sàng và ghi nhận hậu môn nhân tạo đại tràng sigma thông tốt, trên hình ảnh MSCT cho thấy một tổn thương di căn tại hạ phân thùy II và III của gan với kích thước khối u 2x3 cm.
Để khôi phục đường tiêu hóa bình thường và loại bỏ khối u gan di căn, các bác sĩ đã tiến hành hội chẩn, thống nhất thực hiện phẫu thuật nội soi đóng hậu môn nhân tạo đại tràng sigma, tái lập lưu thông ruột và cắt gan hạ phân thùy II,III.
ThS.BS.CKII. Trần Văn Minh Tuấn - Trưởng Khoa Ngoại Tổng Quát BVĐK Xuyên Á, là người trực tiếp thực hiện ca phẫu thuật, cho biết: “ Trước đây, đối với những trường hợp bệnh nhân có phẫu thuật vùng bụng trước đó thì bệnh nhân thường được chỉ định mổ mở do nguy cơ dính ruột của lần phẫu thuật trước.
Tuy nhiên, nếu trường hợp này phải phẫu thuật bệnh nhân sẽ phải chịu một đường mổ rất dài, đau đớn, thời gian hậu phẫu kéo dài.
Nhưng với sự tiến bộ của y học hiện đại, phẫu thuật nội soi cắt u gan hiện nay mang lại nhiều lợi ích cho người bệnh như ít xâm lấn, ít biến chứng, hậu phẫu nhẹ nhàng, nâng cao tính thẩm mỹ và chất lượng cuộc sống sau phẫu thuật cho người bệnh.
Điểm nổi bật ở ca phẫu thuật này là các bác sĩ đã loại bỏ được khối u ở gan, cắt được các tổn thương di căn và phục hồi lưu thông ruột trong cùng một cuộc phẫu thuật.”
Sau mổ, bệnh nhân hồi phục tốt, ăn uống ngon miệng, đi tiêu tiểu được và có thể đi lại bình thường.
“Đối với các đối tượng từ 40 tuổi trở lên nên tầm soát ung thư đại tràng ít nhất mỗi năm một lần để phát hiện sớm các tổn thương ác tính cũng như có kế hoạch điều trị kịp thời nhằm hạn chế tối đa biến chứng trước khi bệnh chuyển sang giai đoạn di căn xa.” - bác sĩ Tuấn khuyến cáo
