Sức khoẻ 360

Phát hiện sớm u nang buồng trứng giúp phòng ngừa ung thư

Bệnh nhân nữ 41 tuổi phát hiện u nang buồng trứng ác tính qua khám và xét nghiệm, nhấn mạnh tầm quan trọng của phát hiện sớm trong điều trị ung thư.

Mới đây, nữ bệnh nhân T.T.T.L. (41 tuổi, Hà Nội) đến Phòng khám Đa khoa Medlatec Tây Hồ khám với triệu chứng đầy hơi, chướng bụng.

Khai thác bệnh sử, khoảng 1 tháng gần đây, bệnh nhân thấy chướng bụng, không đau, không sốt, ăn uống bình thường, không gầy sụt cân… Bệnh nhân có chu kỳ kinh nguyệt đều. Tiền sử bản thân khỏe mạnh và gia đình không ghi nhận trường hợp mắc ung thư.

Tại phòng khám, bác sĩ thăm khám lâm sàng các cơ quan, bộ phận chưa phát hiện bất thường. Trước tình trạng chướng bụng kéo dài chưa rõ nguyên nhân, bác sĩ chỉ định thực hiện xét nghiệm và một số phương pháp chẩn đoán hình ảnh chuyên sâu.

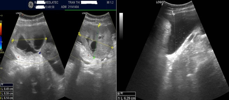
Kết quả, xét nghiệm dấu ấn ung thư thấy nồng độ CA 125 tăng cao ở mức 399 U/mL (giá trị bình thường 0–35) và HE4 là 469 pmol/L (bình thường <60,5). Siêu âm ghi nhận, hình ảnh khối hỗn hợp âm vùng tiểu khung, theo dõi u buồng trứng trái kèm dịch tự do ổ bụng.

Hình ảnh siêu âm ổ bụng của bệnh nhân/Ảnh Medlatec

Trên phim chụp cộng hưởng từ (MRI), phát hiện khối cạnh trái tử cung, nhiều dịch tự do ổ bụng, được phân loại O-RADS 5 – nhóm nguy cơ ác tính cao, đồng thời ghi nhận thêm khối vùng cổ tử cung.

Từ các kết quả đó, bác sĩ nghi ngờ bệnh nhân mắc u nang buồng trứng thể ác tính. Bệnh nhân được tư vấn chuyển bệnh viện chuyên về ung thư để thăm khám chuyên sâu hơn.

Theo hồi cứu, từ tư vấn của Medlatec, bệnh nhân đã đi khám và được chẩn đoán mắc ung thư buồng trứng trái. Sau đó, bệnh nhân được điều trị hóa chất và phẫu thuật, định hướng điều trị chuyên khoa tiếp theo.

U nang buồng trứng – phát hiện sớm để phòng ngừa ung thư

Theo ThS.BS Lê Quỳnh Sơn – Trung tâm Chẩn đoán hình ảnh Medlatec, u nang buồng trứng là tình trạng xuất hiện khối nang chứa dịch hoặc tổ chức đặc trong hoặc trên bề mặt buồng trứng, có thể gặp ở nhiều lứa tuổi, đặc biệt là phụ nữ trong độ tuổi sinh sản.

Về phân loại, u nang buồng trứng thường được chia thành hai nhóm chính gồm: u nang cơ năng và u nang thực thể. U nang cơ năng liên quan đến hoạt động nội tiết của buồng trứng, thường có kích thước nhỏ và có thể tự thoái triển sau vài chu kỳ kinh nguyệt. Trong khi đó, u nang thực thể có xu hướng tồn tại kéo dài, kích thước tăng dần theo thời gian và một số trường hợp có nguy cơ tiến triển ác tính, đặc biệt ở phụ nữ trên 40 tuổi.

U nang buồng trứng có nguy cơ tiến triển thành ung thư buồng trứng. Ảnh minh họa/nguồn Medlatec

Triệu chứng của u nang buồng trứng thường không đặc hiệu, phổ biến nhất là cảm giác đầy bụng, chướng bụng, đau âm ỉ vùng hạ vị hoặc rối loạn kinh nguyệt. Khi khối u phát triển lớn, người bệnh có thể xuất hiện các biểu hiện chèn ép như: tiểu khó, táo bón hoặc đau bụng dữ dội trong trường hợp xoắn hoặc vỡ u nang.

Phát hiện sớm u nang buồng trứng có ý nghĩa quan trọng trong việc ngăn ngừa nguy cơ tiến triển ác tính. Việc theo dõi sát các u nang tồn tại kéo dài hoặc có đặc điểm bất thường giúp bác sĩ can thiệp kịp thời, loại bỏ hoặc điều trị sớm các tổn thương nguy cơ cao trước khi phát triển thành ung thư buồng trứng.

back to top