Sức khoẻ 360

Phát hiện khối u thượng thận sau 15 năm tăng huyết áp không rõ nguyên nhân

Sau nhiều năm sống chung với bệnh huyết áp, ông T. không ngờ thủ phạm là u tuyến thượng thận.

Tuyến thượng thận nhỏ bé kiểm soát hormon gây tăng huyết áp

Bệnh viện Đa khoa Xuyên Á cho biết, đơn vị vừa phát hiện khối u thượng thận cho một người đàn ông sau hơn 15 năm tăng huyết áp không rõ nguyên nhân.

Theo đó, hơn 15 năm qua, ông N.V.T (55 tuổi, ngụ tại Long An) đã phải sống chung với căn bệnh tăng huyết áp không rõ nguyên nhân. Dù kiên trì điều trị và tuân thủ nghiêm ngặt phác đồ thuốc tại một cơ sở y tế gần nhà nhưng tình trạng vẫn không cải thiện.

Huyết áp dao động bất thường kèm theo tình trạng hạ kali máu kéo dài đã khiến ông hai lần bị tai biến mạch máu não vào năm 2011 và năm 2023, để lại những di chứng nặng nề cả về sức khỏe lẫn tinh thần.

Sau nhiều năm sống chung với bệnh, ông T. không ngừng trăn trở trong lòng một câu hỏi: Vì sao bệnh không cải thiện dù đã điều trị tích cực, nguyên nhân do đâu?

Mãi cho đến khi được người quen từng điều trị tại Bệnh viện Đa khoa Xuyên Á Long An giới thiệu, ông quyết định tìm đến đây với hy vọng tìm ra nguyên nhân căn bệnh.

Tại Phòng khám Khoa Ngoại Tiết Niệu của bệnh viện, các bác sĩ đã đánh giá lại toàn bộ tình trạng sức khỏe, cẩn trọng loại trừ các nguyên nhân nội khoa thông thường.

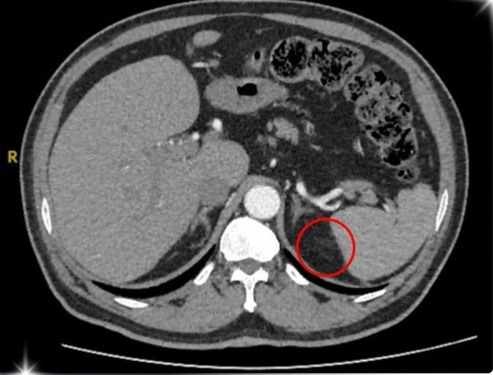
u-thuong-than.jpg
U tuyến thượng thận trên phim chụp - Ảnh BVCC

Sau quá trình kiểm tra kỹ lưỡng và chụp hình ảnh MSCT 160 lát vùng ổ bụng của bệnh nhân u tuyến thượng thận, ông T. được xác định mắc phải hội chứng Conn (hay còn gọi là cường Aldosterone tiên phát) – một bệnh lý hiếm gặp do khối u nhỏ ở vỏ tuyến thượng thận gây ra.

“Tuyến thượng thận là cơ quan nội tiết nhỏ nằm phía trên thận, đóng vai trò quan trọng trong việc sản xuất hormone giúp điều hòa huyết áp, cân bằng nước, điện giải và kiểm soát quá trình chuyển hóa của cơ thể.

Khi xuất hiện khối u, tuyến này tăng cường tiết ra aldosteron (là hormone giúp điều hòa natri và kali trong máu).

Khi lượng hormone này tăng quá mức, người bệnh sẽ rơi vào tình trạng tăng huyết áp kéo dài, hạ kali máu, mệt mỏi, đau đầu, chuột rút, thậm chí rối loạn nhịp tim”, BS. Đinh Công Thịnh – bác sĩ Khoa Ngoại Tiết Niệu, người trực tiếp điều trị cho ông T., chia sẻ.

u-tuyen.jpg
Nội soi u tuyến thượng thận cho bệnh nhân - Ảnh BVCC

Nội soi cắt u tuyến thượng thận, huyết áp ổn định

Ngay sau xác định nguyên nhân, các chuyên khoa liên quan bao gồm: Ngoại Tiết Niệu, Nội Tiết, Nội Tim Mạch tiến hành hội chẩn, thống nhất bước đầu điều trị nội khoa bằng thuốc ức chế Aldosteron, khi tình trạng ổn định sẽ lên kế hoạch phẫu thuật nội soi cắt bỏ khối u tuyến thượng thận.

Phẫu thuật nội soi tuyến thượng thận là phương pháp hiện đại, giúp bác sĩ tiếp cận chính xác tuyến nằm sâu trong ổ bụng nhờ hình ảnh phóng đại từ camera. Phương pháp này có nhiều ưu điểm vượt trội:

Ít xâm lấn – đường mổ nhỏ

Ít đau – giảm mất máu

Hồi phục nhanh – giảm biến chứng

Đảm bảo tính thẩm mỹ sau mổ

Nhờ sự phối hợp nhịp nhàng của đội ngũ chuyên gia Ngoại Tiết Niệu trong hệ thống Bệnh viện Đa khoa Xuyên Á, cùng hệ thống máy móc nội soi hiện đại, ca mổ đã diễn ra thành công. Khối u tuyến thượng thận được loại bỏ hoàn toàn, bảo tồn tối đa mô lành xung quanh.

Sau phẫu thuật, tình trạng ông T. cải thiện rõ rệt, huyết áp ổn định, không còn những cơn tăng vọt đột ngột; kali máu trở lại bình thường; biến mất hoàn toàn tình trạng mỏi cơ, chuột rút.

Hiện tại, ông đã xuất viện và được bác sĩ hẹn tái khám định kỳ để tiếp tục theo dõi.

“U tuyến thượng thận là khối u ít gặp và thường lành tính, tuy nhiên nếu không phát hiện và kiểm soát khối u, người bệnh sẽ gặp phải những triệu chứng ảnh hưởng nặng nề đến chất lượng cuộc sống, thậm chí nguy hiểm đến tính mạng.

Chính vì vậy, nếu bạn đang điều trị tăng huyết áp trong thời gian dài mà không hiệu quả, kèm theo các triệu chứng như hạ kali, mệt mỏi kéo dài, chuột rút, hãy đến bệnh viện để được kiểm tra chuyên sâu.

Việc phát hiện sớm và điều trị đúng nguyên nhân có thể giúp bạn phục hồi hoàn toàn và tránh được các biến chứng nguy hiểm”, BS.CKII. Huỳnh Nguyễn Trường Vinh, Trưởng khoa Ngoại Tiết Niệu Bệnh viện Đa khoa Xuyên Á Long An khuyên.

back to top