Đau đầu từng cơn không ngờ phình động mạch cảnh lớn
Ngày 27/9, Bệnh viện Đa khoa tỉnh Quảng Ninh cho biết, vừa thành công trong việc điều trị một trường hợp túi phình mạch cổ rộng phức tạp bằng kỹ thuật can thiệp nút phình mạch não với vòng xoắn kim loại (coil) kết hợp bóng chẹn.
Đây là cải tiến tiến bộ trong điều trị túi phình mạch cổ rộng, vốn luôn là thách thức lớn đối với các bác sĩ can thiệp bởi tính phức tạp trong điều trị. Phương pháp này mang lại cơ hội điều trị ít xâm lấn, an toàn hiệu quả, mở ra hy vọng mới cho nhiều trường hợp tương tự.
Bệnh nhân là Triệu Thị Ch. (57 tuổi, Cẩm Phả, Quảng Ninh) thường hay đau đầu từng cơn thoáng qua. Thời gian gần đây, bà Ch. thường xuyên đau đầu âm ỉ vùng đỉnh đầu bên phải, thỉnh thoảng đau lan ra vùng sau gáy nên đến khám tại Bệnh viện Đa khoa tỉnh Quảng Ninh.
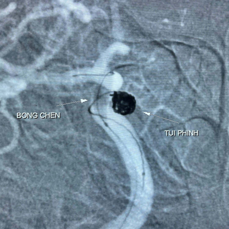
Qua khai thác bệnh nhân có tiền sử khỏe mạnh, không có bệnh lý mạn tính, kết quả chụp cắt lớp mạch não phát hiện túi phình động mạch cảnh trong phải, kích thước 5,2 x 5,4mm, cổ rộng đường kính 4,3mm, không có máu tụ quanh túi phình.
Các bác sĩ hội chẩn đánh giá bệnh nhân có túi phình động mạch cảnh trong phải kích thước lớn cần xử trí can thiệp để tránh nguy cơ vỡ gây đột quỵ xuất huyết não. Túi phình phần cổ rộng sẽ gây khó khăn trong quá trình thả vật liệu nút tắc túi phình (coil) rất dễ trôi ra ngoài và gây tai biến.
Vì vậy, kíp can thiệp quyết định sử dụng phương pháp nút túi phình bằng vòng xoắn kim loại (coil) kết hợp thêm bóng chẹn cổ nhằm tăng hiệu quả can thiệp và đảm bảo an toàn cho người bệnh.
![]() |
| Túi phình động mạch |
Kíp can thiệp do BS.CKII Ngô Quang Chức – Trưởng khoa Chẩn đoán hình ảnh phụ trách cùng các bác sĩ, kỹ thuật viên trong khoa tiến hành luồn vi ống thông từ động mạch đùi lên đoạn mạch não bị tổn thương, tiếp cận túi phình động mạch não và tiến hành bơm bóng chẹn cổ, tiếp tục thả 4 vòng xoắn kim loại (coil) để nút bít túi phình dưới sự hỗ trợ của hệ thống chụp mạch số hóa xóa nền 2 bình diện (DSA).
Kết quả chụp mạch kiểm tra thấy túi phình cổ rộng đã được bít hoàn toàn, tuần hoàn động mạch não hồi phục trở lại. Bệnh nhân tỉnh táo trong suốt quá trình can thiệp, sức khỏe hồi phục tốt, không đau đớn, đi lại và ăn uống bình thường sau can thiệp 1 ngày.
Phình động mạch cảnh gây đột quỵ não
Túi phình cổ rộng chiếm tỷ lệ khoảng 20 – 30% trong số túi phình động mạch não. Đây là loại túi phình có đường kính cổ trên 4mm, tỷ lệ túi/cổ dưới 1,5. Điều trị can thiệp túi phình cổ rộng là một thách thức do khả năng giữ được vòng xoắn kim loại lại trong túi phình rất khó khăn so với các nhóm cổ hẹp và trung bình.
Với tiến bộ của y học ngày nay, các phương pháp hỗ trợ đã được cải tiến, sáng tạo để can thiệp nút đạt kết quả cao, như chẹn cổ bằng bóng hoặc giá đỡ nội mạch (stent) để đổi hướng dòng chảy… nhằm mang lại hiệu quả điều trị tốt, đảm bảo an toàn cho người bệnh.
![]() |
| Thăm khám cho bệnh nhân bị phình động mạch cảnh |
Bác sĩ CKII Ngô Quang Chức, Trưởng khoa Chẩn đoán hình ảnh, Bệnh viện Đa khoa tỉnh Quảng Ninh, cho biết: “Bệnh nhân Ch. may mắn phát hiện túi phình mạch kích thước lớn chưa vỡ, tuy nhiên túi có phần cổ rộng nên chúng tôi quyết định ứng dụng kỹ thuật nút phình mạch não bằng vòng xoắn kim loại (coil) kết hợp bóng chẹn.
Đây là kỹ thuật ít xâm lấn có tính khả thi cao, hiệu quả điều trị tốt, làm tăng độ đặc của vòng xoắn kim loại, tránh tái thông túi phình.
Trường hợp bệnh nhân Ch. có thể đặt giá đỡ nội mạch (stent) để đổi hướng dòng chảy, tuy nhiên kỹ thuật này người bệnh phải chịu chi phí cao, gấp khoảng 2-3 lần kỹ thuật sử dụng bóng chẹn, đồng thời phải uống thuốc chống đông suốt đời.
Với kỹ thuật sử dụng bóng chẹn sẽ mang đến giải pháp điều trị ít xâm lấn với chi phí hơn lý, song vẫn đảm bảo hiệu quả điều trị tối ưu, giúp người bệnh thoát khỏi nguy cơ vỡ phình mạch nguy hiểm”.
Việc áp dụng thành công kỹ thuật can thiệp điều trị túi phình mạch cổ rộng bằng vòng xoắn kim loại (coil) kết hợp bóng chẹn không chỉ mở ra nhiều cơ hội cho những bệnh nhân gặp phải tình trạng phức tạp này mà còn khẳng định sự phát triển không ngừng của bệnh viện trong việc cải tiến, nâng cao chất lượng điều trị.
Điều này không chỉ góp phần đưa các phương pháp điều trị tiên tiến, ít xâm lấn đến gần hơn với người dân trên địa bàn, mà còn góp phần mang lại hiệu quả cao trong quá trình điều trị, giảm thiểu rủi ro và biến chứng, từ đó nâng cao chất lượng cuộc sống và sức khỏe cộng đồng.

