Sức khoẻ 360

Nút mạch cứu sống bệnh nhân chảy máu dạ dày ồ ạt

Kỹ thuật nút mạch cầm máu chảy máu tiêu hóa cao cũng như xuất huyết các tạng trong ổ bụng là kỹ thuật tiên tiến nhất, can thiệp tối thiểu, đạt hiệu quả tối đa.

Với phương pháp nút mạch cầm máu cấp cứu, các bác sĩ Bệnh viện Đa khoa tỉnh Lạng Sơn đã cấp cứu thành công bệnh nhân 66 tuổi chảy máu từ dạ dày.

nut-mach-dd4.jpg
Ổ chảy máu trên màn hình - Ảnh BVCC

Bệnh nhân H.V.P (66 tuổi, ở xã Hoàng Văn Thụ, tỉnh Lạng Sơn), nhập viện ngày 06/09/2025 do K thực quản. Trước đó, bệnh nhân đã nội soi phát hiện K thực quản giai đoạn muộn và được chỉ định nhập viện.

Trong quá trình điều trị, bệnh nhân có tình trạng chảy máu dạ dày ồ ạt. Với tình trạng của bệnh nhân, trước đây khi chưa triển khai được kỹ thuật nút mạch, sẽ phải thực hiện một cuộc phẫu thuật lớn, thời gian điều trị hậu phẫu kéo dài.

nut-mach-dd-3.jpg
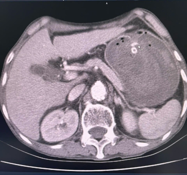
Chảy máu trên phim chụp cắt lớp - Ảnh BVCC

Sau khi hội chẩn, các bác sĩ đã thống nhất điều trị bằng phương pháp nút mạch cấp cứu nhằm cầm máu cho bệnh nhân.

Qua chụp CT tiêm thuốc cản quang và chụp mạch trên máy DSA, thấy được vị trí chảy máu dạ dày tương đối lớn. Các bác sĩ đã tiến hành nút tắc toàn bộ nhánh động mạch chảy máu. Sau can thiệp, chụp kiểm tra lại, hệ thống động mạch không còn điểm chảy máu nào khác trong ống tiêu hóa.

nut-mach-dd-1.jpg

Kỹ thuật nút mạch cầm máu chảy máu tiêu hóa cao cũng như xuất huyết các tạng trong ổ bụng là kỹ thuật tiên tiến nhất, can thiệp tối thiểu và đạt hiệu quả tối đa.

nut-mach-da-day.jpg
Ca can thiệp mạch cho bệnh nhân - Ảnh BVCC

Đặc biệt đối với người bệnh cao tuổi, thể trạng gầy yếu, không đảm bảo sức khoẻ, thì phương pháp nút mạch cầm máu tiêu hoá với ưu điểm can thiệp chỉ bằng vết rạch nhỏ trên da, người bệnh không phải trải qua cuộc mổ nặng nề, ít đau, thời gian hồi phục nhanh chóng, sớm trở lại sinh hoạt bình thường.

nut-mach-dd-5.jpg
Nút tắc nhanh điểm chảy máu - Ảnh BVCC

Hiện nay, Bệnh viện Đa khoa tỉnh Lạng Sơn đã và đang triển khai thực hiện nhiều kỹ thuật tiên tiến, hiện đại ở các chuyên khoa, giúp người dân được thụ hưởng các dịch vụ kỹ thuật cao ngay tại tỉnh nhà, giúp giảm thời gian, chi phí điều trị, nâng cao chất lượng cuộc sống cho người bệnh.

BSCKI Hoàng Thế Xuân (Khoa Chẩn đoán hình ảnh, bệnh viện Đa khoa Lạng Sơn)

back to top