Khoa Phẫu trị, Xạ trị và Y học hạt nhân, Bệnh viện Việt Nam - Thụy Điển Uông Bí vừa thực hiện thành công ca phẫu thuật nội soi không túi điều trị ung thư trực tràng thấp, giúp bệnh nhân tránh mang hậu môn nhân tạo.
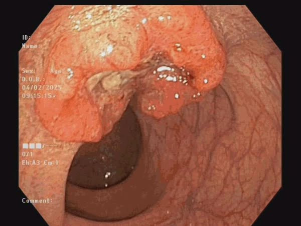
Người bệnh là nữ (72 tuổi, trú tại Quỳnh Phụ, Thái Bình) đến viện vì lý do đại tiện phân có dây máu, mót rặn. Tiến hành thăm khám và thực hiện nội soi đại trực tràng phát hiện: trực tràng ngay trên ống hậu môn, cách rìa hậu môn 3cm có u sùi kích thước 20mm.
Tiến hành xét nghiệm sinh thiết kết quả là ung thư biểu mô tuyến. Người bệnh được phẫu thuật nội soi cắt đoạn đại trực tràng nạo vét hạch, nối đại tràng ống hậu môn.
Với ê-kíp phẫu thuật là các bác sĩ phẫu trị xạ trị y học hạt nhân, gây mê và các nhân viên y tế nhiều kinh nghiệm, cùng sự trợ giúp của các dụng cụ phẫu thuật hiện đại, ca phẫu thuật diễn ra thuận lợi.
![]() |
| Khối u của bệnh nhân trên phim chụp - Ảnh BVCC |
Sau gần 3 giờ, các bác sĩ đã khéo léo loại bỏ khối u mà không làm tổn thương cơ thắt hậu môn. Người bệnh uống nước đường, ăn cháo nhẹ chỉ sau 3 ngày phẫu thuật. Và sau 9 ngày điều trị, sức khỏe người bệnh hồi phục tốt và đã xuất viện.
Điều trị ung thư trực tràng bao gồm phẫu thuật kết hợp với hóa trị hoặc xạ trị. Một số trường hợp, phẫu thuật bao gồm việc tạo hậu môn nhân tạo hoặc hậu môn nhân tạo hồi tràng, thường được gọi là "có túi". Với những tiến của khoa học kỹ thuật, các bác sĩ sẽ lựa chọn phương pháp của phẫu thuật tốt nhất để tránh được việc phải tạo hậu môn nhân tạo cho người bệnh.
Theo BSCKI.Trịnh Công Định, Phó Trưởng khoa Phẫu trị, xạ trị và y học hạt nhân cho biết: trước đây ung thư trực tràng thấp (vị trí khối u cách rìa hậu môn ≤ 5 cm) thì được tiến hành bằng phương pháp phẫu thuật cắt toàn bộ trực tràng và ống hậu môn đồng thời đưa đại tràng ra thành bụng làm hậu môn nhân tạo vĩnh viễn.
![]() |
| Ca phẫu thuật cho bệnh nhân - Ảnh BVCC |
Phần lớn người bệnh đều phải làm hậu môn nhân tạo. Việc mang hậu môn nhân tạo gây không ít những khó khăn, bất cập cho sinh hoạt thường ngày của người bệnh và tạo tâm lý e ngại khi tiếp xúc với mọi người xung quanh.
Vì vậy, việc phải sử dụng hậu môn nhân tạo vĩnh viễn sau phẫu thuật là nỗi lo, nỗi ám ảnh của nhiều người bệnh mắc ung thư trực tràng. Với sự phát triển của khoa học kỹ thuật, phương pháp phẫu thuật không túi được ra đời và áp dụng cho nhiều người bệnh.
Phương pháp này mang lại nhiều lợi ích cho người bệnh như: giảm nguy cơ chảy máu, mất máu, sau phẫu thuật người bệnh ít đau, vết mổ nhỏ và nhanh chóng hồi phục…

