Sức khoẻ 360

Nội soi gắp thành công dị vật hạt kha tử gây tắc đường thở nữ bệnh nhân

Bệnh viện Bãi Cháy vừa thực hiện thành công ca nội soi phế quản để gắp dị vật hạt kha tử mắc sâu trong đường thở của một bệnh nhân nữ.

Người bệnh là bà N.T.H (57 tuổi, trú tại Hà Nội) nhập viện trong tình trạng khó thở, tức ngực sau khi nuốt phải hạt kha tử kích thước khoảng 1cm. Kết quả chụp CT cho thấy dị vật nằm tại phế quản gốc phải, sát vị trí phân nhánh phức tạp, gây bít tắc hoàn toàn đường thở.

Ê-kíp của bác sĩ CKI Phạm Thị Út Trang – Phó Trưởng Khoa Nội hô hấp đã phối hợp với bác sĩ gây mê hồi sức đã nhanh chóng tiến hành nội soi phế quản ống mềm, phát hiện dị vật góc cạnh khoảng 1cm là hạt kha tử hình bầu dục, bề mặt trơn nhẵn, hai đầu nhọn nằm chắn, gây bít tắc trong lòng phế quản gốc phải, ngay sát vị trí chia nhánh phế quản phân thùy - khu vực giải phẫu hẹp, góc rẽ nhánh phức tạp khiến việc gắp dị vật gặp khó khăn. Ê-kíp nội soi can thiệp đã khéo léo tiếp cận và thành công gắp dị vật ra khỏi lòng phế quản bệnh nhân. Sau can thiệp, sức khỏe của bệnh nhân ổn định, thở dễ dàng, không còn cảm giác tức ngực, được xuất viện sau 24h theo dõi.

Ê-kíp can thiệp nội soi phế quản thành công lấy dị vật ra khỏi lòng phế quản bệnh nhân. Ảnh BV

Ê-kíp can thiệp nội soi phế quản thành công lấy dị vật ra khỏi lòng phế quản bệnh nhân. Ảnh BV

Dị vật đường thở là tình huống cấp cứu nguy hiểm, có thể xảy ra ở mọi lứa tuổi, trực tiếp đe dọa tính mạng của người bệnh nếu không được xử trí chính xác, kịp thời.

Bác sĩ CKI Phạm Thị Út Trang, Phó Trưởng Khoa Nội Hô hấp, Bệnh viện Bãi Cháy cho biết: “Theo các bác sĩ, dị vật đường thở đặc biệt là những dị vật có tính sắc nhọn khi mắc kẹt tại đường thở, nằm lâu trong lòng phế quản có thể gây tổn thương thùy phổi dẫn đến tình trạng viêm mủ, nhiễm trùng đường hô hấp nghiêm trọng. Bệnh nhân có thể gặp biến chứng nặng đe dọa sức khỏe, tính mạng như áp xe phổi, tràn mủ màng phổi, thủng phế quản, tràn khí màng phổi hoặc tắc nghẽn đường thở khiến bệnh nhân tử vong nhanh chóng…

Chính vì vậy, việc phát hiện sớm và gắp thành công dị vật ngay trong lần can thiệp đầu tiên có ý nghĩa đặc biệt quan trọng giúp người bệnh tránh được biến chứng nặng nề và phục hồi nhanh chóng”.

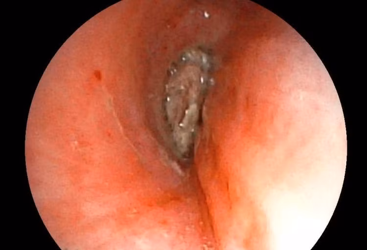
Hình ảnh dị vật góc cạnh khoảng 1cm là hạt kha tử hình bầu dục, gây bít tắc trong lòng phế quản. Ảnh BV
Hình ảnh dị vật góc cạnh khoảng 1cm là hạt kha tử hình bầu dục, gây bít tắc trong lòng phế quản. Ảnh BV

Để gắp thành công dị vật phế quản đòi hỏi đội ngũ bác sĩ phải được đào tạo bài bản về kỹ thuật can thiệp nội soi phế quản, thao tác khéo léo, chuẩn xác để tránh tình trạng dị vật rơi trở lại vị trí ban đầu hoặc đi chệch hướng gây tổn thương các tổ chức trong lòng phế quản.

Các bác sĩ Bệnh viện Bãi Cháy khuyến cáo, dị vật đường thở không chỉ xảy ra ở trẻ nhỏ mà cả người lớn cũng có nguy cơ gặp phải, đặc biệt khi ăn các loại hạt, xương, thức ăn cứng hoặc nói chuyện, cười đùa trong lúc ăn.

Khi bị hóc dị vật như hạt hoa quả, mảnh xương, thức ăn… không nên cố gắng khạc, dùng tay móc, nuốt miếng thức ăn to hoặc chữa mẹo dân gian để lấy dị vật ra ra… Những việc làm này sẽ làm cho niêm mạc họng bị trầy xước, chảy máu, dễ nhiễm trùng, dị vật có thể bị mắc sâu hơn và rơi vào những vị trí nguy hiểm.

Quá trình ăn uống cần ăn chậm, nhai kỹ, không vừa ăn vừa nói chuyện hay cười đùa, nhất là đối với người già và trẻ nhỏ để hạn chế tình trạng dị vật lọt vào đường ăn, đường thở.

Khi có dấu hiệu nghẹn, ho sặc, khó thở, tức ngực sau khi ăn, cần nhanh chóng đến cơ sở y tế có chuyên khoa hô hấp để được chẩn đoán và xử trí kịp thời. Tuyệt đối không tự ý xử lý bằng các biện pháp dân gian có thể khiến dị vật di chuyển sâu hơn, gây khó khăn cho can thiệp và nguy hiểm đến tính mạng.

back to top