Nội soi lồng ngực cắt u tuyến ức là phương pháp ít xâm lấn mang lại hiệu quả điều trị tối ưu, triệt để cho người bệnh.
Xuất viện sau 5 ngày cắt u tuyến ức lớn
Mới đây, các bác sĩ khoa Ung bướu vừa thực hiện thành công kỹ thuật này cho nữ bệnh nhân thường xuyên bị đau tức ngực, tê tay hai bên do có khối u tuyến ức kích thước lớn.
Bệnh nhân là L.T.L. (49 tuổi) ở phường Hồng Hải, TP Hạ Long. Theo người bệnh cho biết, bệnh nhân ở nhà xuất hiện mệt mỏi, đau tức ngực, tê tay hai bên nên đã đến khám tại Bệnh viện Đa khoa tỉnh Quảng Ninh.
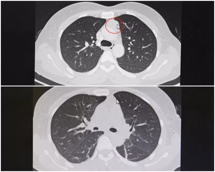
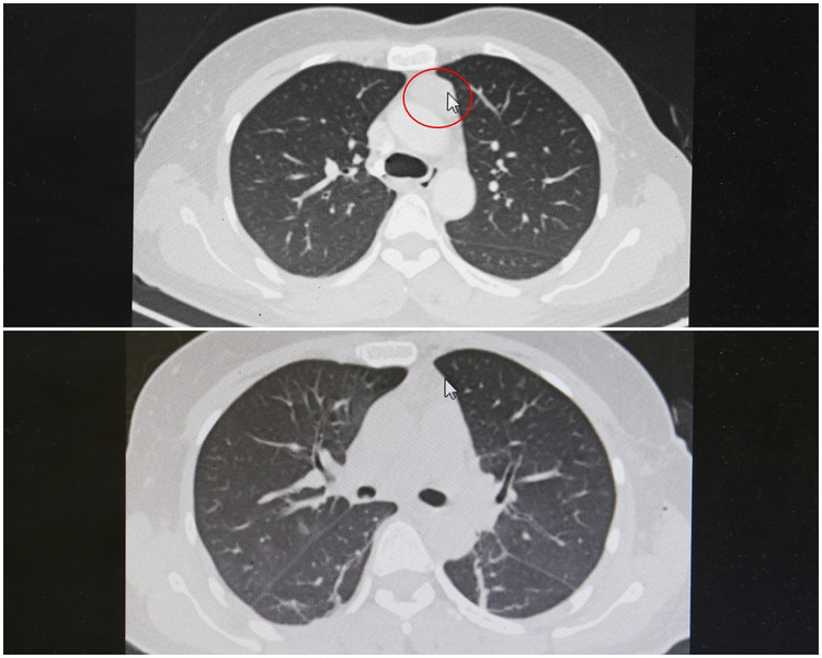
Kết quả chụp cắt lớp vi tính lồng ngực phát hiện khối u tuyến ức, kích thước khoảng 18x30cm. Các bác sĩ chẩn đoán bệnh nhân bị u tuyến ức và chỉ định phẫu thuật nội soi lồng ngực cắt toàn bộ tuyến ức.
Kíp bác sĩ khoa Ung bướu thực hiện phẫu thuật cắt u tuyến ức bằng hệ thống nội soi hiện đại.
![]() |
| Hình ảnh chụp cắt lớp lồng ngực khối u tuyến ức trước và sau phẫu thuật lấy u |
Kíp phẫu thuật khoa Ung bướu do Thạc sĩ bác sĩ Vũ Xuân Kiên – Trưởng khoa, BS.CKI Vũ Đức Nin, Phó khoa phối hợp với khoa Gây mê hồi sức thực hiện. Bệnh nhân được bác sĩ gây mê bằng ống Carlens thông khí 1 phổi nhằm tạo phẫu trường đủ rộng cho phẫu thuật viên bóc tách cắt u.
Qua các vết rạch nhỏ vào khoang màng phổi phải, phẫu thuật viên đưa dụng cụ nội soi vào tỉ mỉ phẫu tích, bóc tách và cắt toàn bộ tuyến ức kèm khối u. Sau khoảng hơn 30 phút thực hiện, toàn bộ tổ chức tuyến ức và khối u tuyến ức kích thước khá lớn đã được cắt bỏ hoàn toàn và lấy ra ngoài mà không gây mất máu.
Đến nay bệnh nhân đã hoàn toàn tỉnh táo, ăn nói được, triệu chứng đau tức ngực, tê tay thuyên giảm đáng kể, xuất viện sau 5 ngày điều trị.
Ngồi trên giường bệnh, bệnh nhân L. chia sẻ: “Tôi thấy căn bệnh này cũng ít người bị nên rất lo lắng, suy nghĩ nhiều. Tuy nhiên được bác sĩ động viên, tư vấn nên tôi cũng yên tâm hơn. Ca mổ nhẹ nhàng, hồi phục nhanh, tôi mừng lắm! Cảm ơn các bác sĩ đã nhiệt tình chữa trị”.
![]() |
| Thạc sĩ bác sĩ Vũ Xuân Kiên, Trưởng khoa thăm khám, động viên người bệnh trước khi ra viện. |
Thay vết mổ cắt xương ức, xương sườn bằng các ống nội soi
U tuyến ức là loại u thường gặp nhất ở trung thất trước người trưởng thành, thường phát triển chậm. Người bệnh có thể không có triệu chứng rõ ràng, chỉ tình cờ phát hiện trong quá trình kiểm tra sức khỏe. Khi u lớn, tăng kích thước sẽ có các biểu hiện chèn ép tùy mức độ xâm lấn của khối u: mệt mỏi, ho, đau ngực, khàn tiếng...
Có khoảng 1/3 các trường hợp u tuyến ức có kèm triệu chứng nhược cơ: khó thở, sụp mí mắt, yếu tay chân, khó vận động. U này cần được phát hiện sớm và điều trị kịp thời, bởi khi u tuyến ức có thể tiến triển ác tính, xâm lấn xung quanh, nguy cơ suy hô hấp và tử vong.
![]() |
| Hình ảnh khối u tuyến ức qua nội soi được kíp phẫu thuật bóc tách - ảnh BSCC |
Để điều trị u tuyến ức, phẫu thuật cắt u và tuyến ức là phương pháp được lựa chọn ưu tiên hàng đầu. Trước đây, bệnh nhân thường phải mổ mở dọc xương ức hoặc mở khoang liên sườn với vết mổ dài tới 20 cm, gây nhiều biến chứng nguy hiểm (nhiễm trùng, suy hô hấp sau mổ), người bệnh đau đớn, lâu phục hồi.
Hiện nay, phẫu thuật nội soi lồng ngực cắt u tuyến ức được coi là phương pháp an toàn, hữu hiệu, khắc phục được nhược điểm phương pháp trên với hiệu quả điều trị lâu dài. Từ năm 2018, Bệnh viện Đa khoa tỉnh Quảng Ninh đã triển khai thường quy kỹ thuật này với nhiều trường hợp u tuyến ức phức tạp được điều trị thành công.
![]() |
| Các vết mổ nội soi cắt u tuyến ức rất nhỏ, ít gây đau đớn cho người bệnh - Ảnh BVCC |
Thạc sĩ bác sĩ Vũ Xuân Kiên – Trưởng khoa Ung bướu, Bệnh viện Đa khoa tỉnh cho biết: “Cùng với bệnh nhân L, mỗi năm, khoa Ung bướu thực hiện phẫu thuật nội soi cắt u tuyến ức cho khoảng từ 10 – 15 ca bệnh.
Kỹ thuật này mang lại những ưu điểm vượt trội so với các phương pháp khác: loại bỏ triệt để tuyến ức với vết mổ rất nhỏ nên bệnh nhân ít đau đớn, giảm biến chứng, thời gian nằm viện ngắn, có thể ra viện sau mổ 1-2 ngày, tính thẩm mỹ cao.
Đây là một phẫu thuật khó, chủ yếu thực hiện tại các bệnh viện tuyến trung ương, đòi hỏi các thao tác hết sức chuẩn xác và khéo léo do u nằm sát các thần kinh và mạch máu lớn của tim. Với đội ngũ thầy thuốc được đào tạo chuyên sâu, bài bản cùng hệ thống trang thiết bị nội soi hiện đại, khoa Ung bướu đã và đang thực hiện kỹ thuật với kết quả tốt, giúp người dân trên địa bàn được thụ hưởng kỹ thuật điều trị tiến tiến, ít xâm lấn, không phải lên tuyến trung ương”.
Khi người bệnh gặp phải những dấu hiệu bất thường như: mệt, nặng ngực, đau ngực, nói khàn, nói khó, sụp mi, yếu tay chân, khó thở… thì cần đến các bệnh viện uy tín, tin cậy, có chuyên khoa sâu về Ung bướu như Bệnh viện Đa khoa tỉnh Quảng Ninh để được thăm khám, chẩn đoán và điều trị kịp thời.



