Ngày 31/10, bệnh viện đa khoa Xuyên Á cho biết, các bác sĩ khoa Ngoại Tổng quát cỉa bệnh viện đã thực hiện thành công nội soi cắt đại tràng bằng kỹ thuật CME (cắt toàn bộ mạc treo đại tràng), xử lý triệt căn các tổn thương cho bệnh nhân ung thư manh tràng di căn hạch.
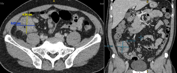
Bệnh nhân là ông L.H. T (52 tuổi, Bình Thuận), nhập viện trong tình trạng đau âm ỉ vùng hố chậu phải. Tại Khoa Cấp Cứu BVĐK Xuyên Á, người bệnh được thăm khám, chỉ định chụp CT - scanner bụng phát hiện khối u manh tràng kích thước lớn 05x06 cm, di căn hạch, nội soi đại tràng phát hiện manh tràng có khối u sùi bề mặt nham nhở, dễ xuất huyết, chiếm gần hết lòng manh tràng. Sau sinh thiết, kết quả ghi nhận đây là ung thư biểu mô tuyến ở đại tràng, biệt hoá vừa.
Người bệnh được các bác sĩ Khoa Ngoại Tổng Quát hội chẩn và xác định ung thư manh tràng theo dõi di căn hạch. Trước tình trạng này, các bác sĩ đã thống nhất quyết định hướng điều trị là phẫu thuật nội soi toàn bộ cắt đại tràng phải theo kỹ thuật CME (cắt toàn bộ mạc treo đại tràng), thực hiện miệng nối trong ổ bụng cho bệnh nhân.
![]() |
| Biểu hiện của khối u trên phim chụp - Ảnh BVCC |
Với kỹ thuật CME phẫu thuật viên sẽ phải nạo vét hạch rộng rãi, đồng thời tránh làm vỡ bao mạc treo đại tràng để không rơi vãi tế bào ung thư trong quá trình phẫu tích. Nhờ đó làm tăng thời gian sống còn cho bệnh nhân ung thư so với kỹ thuật cắt đại tràng cổ điển.
Theo ThS. BS.CKII. Trần Văn Minh Tuấn, Trưởng Khoa Ngoại Tổng Quát Bệnh viện Đa khoa Xuyên Á cho biết: “Kỹ thuật cắt toàn bộ mạc treo đại tràng là kỹ thuật mới và khó, chưa được nhiều nơi thực hiện. Khó khăn của phương pháp này là phẫu tích phải rất tỉ mỉ, bởi nguy cơ tổn thương bó mạch mạc treo tràng trên sẽ dẫn đến hoại tử ruột. Với kỹ thuật khó này, đòi hỏi phẫu thuật viên phải dày dặn kinh nghiệm.
Nếu trước đây, sau khi phẫu tích mạch máu và di động đại tràng xong, các phẫu thuật viên sẽ kéo đoạn đại tràng ra ngoài rồi thực hiện miệng nối phía bên ngoài ổ bụng, điều này sẽ dẫn đến vết mổ dài và người bệnh đau nhiều sau mổ. Hơn nữa, việc kéo đoạn ruột ra ngoài sẽ dẫn đến mạc treo đại tràng bị căng, ảnh hưởng đến việc phục hồi nhu động ruột trễ.
![]() |
| Thăm khám cho bệnh nhân sau phẫu thuật - Ảnh BVCC |
ung thư đại tràng, manh tràng, di căn hạch
Với sự tiến bộ của y học hiện nay, việc thực hiện miệng nối hoàn toàn trong ổ bụng sẽ làm cho vết mổ nhỏ một cách tối thiểu, vừa đủ kích thước của khối u ra ngoài, nhờ đó sẽ giảm thiểu đau cho người bệnh sau mổ. Hơn nữa, thực hiện miệng nối trong ổ bụng không kéo căng mạc treo ruột thì việc phục hồi lưu thông ruột sau mổ sẽ sớm hơn, bệnh nhân hồi phục tốt hơn.”
Sau hai ngày hậu phẫu, bệnh nhân hồi phục thuận lợi, đã có thể vận động đi lại, đại tiểu tiện được và ăn uống bình thường.
“Người dân trên 45 tuổi, đặc biệt là người có nguy cơ cao (có người thân trong gia đình bị ung thư đường tiêu hóa, có tiền sử polyp đại trực tràng) nên được nội soi đại tràng tầm soát để phát hiện sớm ung thư đại trực tràng.
Nếu người bệnh có các triệu chứng thay đổi thói quen đi tiêu, đi phân dẹt, phân lẫn nhầy máu thì nên sớm đi khám tại các cơ sở y tế uy tín để được các bác sĩ chẩn đoán, điều trị kịp thời.” - bác sĩ Tuấn cũng khuyến cáo

