Sức khoẻ 360

Nội soi can thiệp gắp tăm tre dài 4cm đâm xuyên thành dạ dày

Nếu để muộn tăm có thể đâm thủng ống tiêu hóa, gây chảy máu, viêm phúc mạc toàn thể, nhiễm trùng ổ bụng, thậm chí nguy hiểm đến tính mạng người bệnh.

Các bác sĩ Khoa Nội tiêu hóa, Bệnh viện Bãi Cháy vừa nội soi can thiệp thực quản – dạ dày gắp thành công chiếc tăm tre nhọn dài khoảng 4cm đâm xuyên thành dạ dày cho người bệnh.

Bệnh nhân Nguyễn T T (54 tuổi, trú tại phường Bãi Cháy, TP Hạ Long, tỉnh Quảng Ninh) vô tình nuốt phải tăm sau khi ăn. Sau 3 ngày, tình trạng đau bụng tăng dần, đầy chướng bụng, ợ hơi ợ chua nhiều, bệnh nhân đến khám và nhập viện điều trị tại khoa Nội Tiêu hóa - Bệnh viện Bãi Cháy.

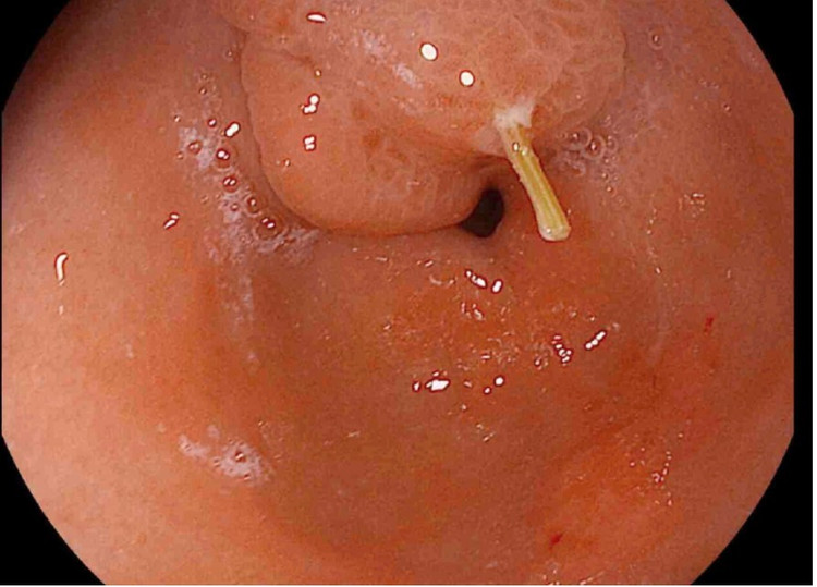
Trong quá trình điều trị, bệnh nhân đã được bác sĩ điều trị chỉ định soi thực quản - dạ dày - tá tràng để chẩn đoán. Quá trình nội soi, các bác sĩ khoa Nội Tiêu hóa phát hiện phía bờ cong nhỏ hang vị dạ dày của bệnh nhân có dị vật là chiếc tăm tre xuyên vào thành dạ dày.

tam-1.jpg
Hình ảnh tăm tre xuyên vào thành dạ dày - Ảnh BVCC

Kíp thực hiện thủ thuật đã hội chẩn với BSCKI. Nguyễn Quảng Đại, trưởng khoa Nội Tiêu hóa, tiến hành dùng kìm gắp chiếc tăm dài gần 4cm ra ngoài an toàn.

Sau thủ thuật, bệnh nhân được chụp X- Quang ổ bụng cho kết quả không có dấu hiệu thủng tạng, được hướng dẫn theo dõi sát. Ngày thứ 2 sau gắp thành công dị vật, tình trạng bệnh nhân ổn định và chuẩn bị được ra viện.

tam-2.jpg
Ekíp nội soi can thiệp thực quản – dạ dày gắp thành công chiếc tăm tre - Ảnh BVCC

BSCKI. Nguyễn Quảng Đại – Trưởng Khoa Nội Tiêu hóa, Bệnh viện Bãi Cháy cho biết: “Chiếc tăm đã đâm xuyên vào thành dạ dày bệnh nhân nhưng rất may mắn vì nội soi can thiệp thành công lấy chiếc tăm kịp thời.

Nếu để muộn hơn, chiếc tăm có thể đâm thủng ống tiêu hóa, gây chảy máu, viêm phúc mạc toàn thể, nhiễm trùng ổ bụng, thậm chí nguy hiểm đến tính mạng người bệnh”.

Trước đó, bằng phương pháp nội soi can thiệp ống tiêu hóa, khoa Nội Tiêu hóa, Bệnh viện Bãi Cháy đã xử trí cấp cứu thành công nhiều trường hợp dị vật trong thực quản, dạ dày như xương, vỏ thuốc, kim loại sắc nhọn, hạt táo đỏ… giúp người bệnh không phải phẫu thuật, tránh các nguy cơ loét, thủng, xuất huyết tiêu hóa, sốc nhiễm trùng, nhiễm độc… rút ngắn thời gian hồi phục và nằm viện điều trị.

tam-tre-2-2433.jpg
Hình ảnh tăm tre xuyên vào thành dạ dày được gắp ra ngoài - Ảnh BVCC

Qua trường hợp lần này, các bác sĩ khuyến cáo người dân cần cẩn trọng khi sử dụng tăm xỉa răng, nên thay đổi thói quen xỉa răng bằng tăm tre mà dùng chỉ nha khoa để tránh những trường hợp hi hữu nuốt phải tăm gây nguy hiểm cho người bệnh.

Người dân khi nuốt phải tăm hay bất cứ các dị vật nào khác, cần nhanh chóng đến cơ sở y tế để có thể được nội soi can thiệp gắp dị vật kịp thời, tránh các biến chứng nguy hiểm ảnh hưởng đến sức khỏe, tính mạng.

back to top