Sức khoẻ 360

Nhồi máu cơ tim cấp do bệnh lý đa hồng cầu

Đa hồng cầu dễ tắc mạch và nhồi máu cơ tim cấp. Bệnh nếu không được điều trị kịp thời có thể gây biến chứng suy tim, rối loạn nhịp tim, thậm chí tử vong.

Ông Nguyễn Văn Q, 54 tuổi (Quảng Ninh) có tiền sử lao phổi cũ cách 10 năm đã điều trị ổn định. Trước nhập viện 3 ngày, người bệnh thỉnh thoảng thấy đau ngực trên xương ức, cơn thoáng qua 2-3 phút tự hết. Sáng cùng ngày nhập viện, sau uống rượu người bệnh thấy đau ngực nhiều hơn, vã mồ hôi, khó thở, được gia đình cho đến viện.
Người bệnh nhập viện Việt Nam- Thụy Điển Uông Bí cấp cứu trong tình trạng còn cơn đau ngực, khó thở, vã mồ hôi, da mặt đỏ, nóng bừng mặt. Trên xét nghiệm máu có men tim tăng cao, số lượng hồng cầu tăng cao 6.37 T/l (giới hạn bình thường là 3.9-5.8T/l), nồng độ huyết sắc tố tăng cao 212 g/l (bình thường là 110-160g/l).

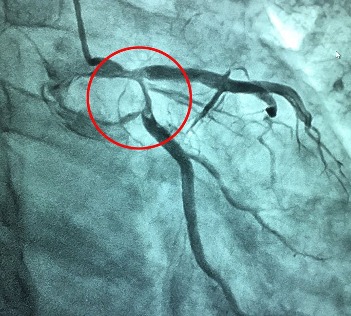
tac-mach-hong-cau.jpg

Hình ảnh tắc mạch của người bệnh trước can thiệp (vùng khoanh tròn màu đỏ)

tac-mach-hong-cau-1.jpg

Hình ảnh tắc mạch của người bệnh sau can thiệp (vùng khoanh tròn màu đỏ)

Người bệnh được chẩn đoán: Nhồi máu cơ tim cấp/đa hồng cầu, được nhanh chóng chuyển phòng can thiệp tim mạch chụp mạch vành, kết quả huyết khối trên nền mảng xơ vữa gây bán tắc động mạch mũ, đã được can thiệp hút huyết khối và đặt stent.

Sau can thiệp mạch, người bệnh được chuyển khoa Nội Tim mạch điều trị tiếp, phối hợp cùng chuyên khoa Huyết học tháo máu và dùng thuốc điều trị đa hồng cầu. Sau 5 ngày người bệnh ổn định ra viện.
Theo các bác sĩ khoa Nội tim mạch, Bệnh viện Việt Nam – Thụy Điển Uông bí, tắc mạch là biến chứng thường gặp của bệnh lý đa hồng cầu trong đó tắc động mạch vành gây nhồi máu cơ tim, nếu không được điều trị kịp thời có thể gây biến chứng suy tim, rối loạn nhịp tim, thậm chí tử vong.

Đa hồng cầu hay gặp ở những người có bệnh lý phổi mạn tính, tim bẩm sinh, do di truyền... Triệu chứng thường gặp là: nhức đầu, ngứa da hoặc đỏ ửng bất thường (đặc biệt ở vùng mặt, bàn tay, bàn chân), đau thắt ngực, tăng huyết áp, chảy máu nhiều hơn ở các vết thương nhỏ, tắc mạch…
Do đó, những người bệnh có bệnh lý nền hoặc xuất hiện các triệu chứng kể trên cần đến cơ sở y tế để được thăm khám, chẩn đoán điều trị sớm, dự phòng các biến chứng nguy hiểm.

back to top