Sức khoẻ 360

Nhìn mờ không ngờ huyết khối tĩnh mạch não

Huyết khối tĩnh mạch não có tỷ lệ tái phát và nguy cơ để lại di chứng vĩnh viễn như đau đầu kéo dài, rối loạn nhận thức, co giật tái phát.

Bà V.T.H (57 tuổi, Hải Dương) đột ngột xuất hiện biểu hiện nhìn mờ mắt phải, suy giảm rõ rệt khiến bà H chóng mặt, mất thăng bằng, đi lại khó khăn.

Bệnh nhân đã đi khám tại một cơ sở y tế, được chẩn đoán mộng mắt gây suy giảm thị lực và phẫu thuật bóc mộng mắt phải.

Tuy nhiên, sau phẫu thuật tình trạng không cải thiện mà còn xuất hiện thêm biểu hiện đau đầu bên phải ngày càng nặng, đau âm ỉ kéo dài cả ngày. Bệnh nhân tự ý dùng thuốc giảm đau thông thường nhưng không thuyên giảm.

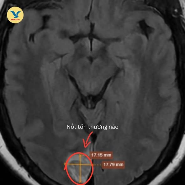
3 tuần sau, bà H. đến Phòng khám Đa khoa Medlatec Tây Hồ để thăm khám. Kết quả xét nghiệm thấy chỉ số mỡ máu tăng cao. Hình ảnh chụp MRI sọ não phát hiện nốt tổn thương vùng chẩm bên phải nghĩ tới tổn thương huyết khối mạn tính hội lưu tĩnh mạch lan vào nhánh nhỏ tĩnh mạch vỏ não lân cận.

nhin-mo.jpg
Hình ảnh MRI phát hiện tổn thương vùng chẩm - Ảnh BVCC

Bác sĩ chẩn đoán xác định bệnh nhân có nhồi máu vùng chẩm mạn tính do huyết khối hội lưu tĩnh mạch, đây là nguyên nhân gây ra biểu hiện suy giảm thị lực bên phải của bà H.

BSCKI Hoàng Anh Tuấn, Chuyên khoa Thần kinh, Phòng khám Đa khoa Medlatec Tây Hồ cho biết: “Huyết khối tĩnh mạch não có tỷ lệ tái phát và nguy cơ để lại di chứng vĩnh viễn như đau đầu kéo dài, rối loạn nhận thức nhẹ (suy giảm trí nhớ, khó tập trung), co giật tái phát (cần điều trị lâu dài bằng thuốc chống co giật).

Bệnh không có triệu chứng lâm sàng điển hình, thường tiến triển âm thầm và bộc phát bất ngờ. Nếu thấy những biểu hiện như mờ mắt, buồn nôn và nôn, đau nhức đầu dữ dội; Rối loạn ngôn ngữ như nói ngọng, liệt nửa người, suy kiệt cơ thể, yếu người và không còn tỉnh táo; Co giật, ngất xỉu, hôn mê,... Cần đi khám ngay lập tức để tránh gây biến chứng nguy hiểm đe dọa tính mạng.

back to top