Vô tình phát hiện lao phổi
Thời gian vừa qua, khoa Nội hô hấp tiêu hoá – Bệnh viện đa khoa tỉnh Phú Thọ đã phát hiện nhiều trường hợp người bệnh mắc lao phổi. Đáng chú ý, trong số đó có nhiều người tình cờ được phát hiện bệnh khi đi khám sức khoẻ định kỳ.
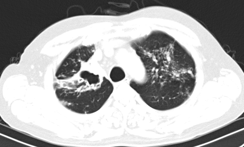
Mới đây nhất là trường hợp người bệnh Đ.Q.T (20 tuổi) ở Kim Đức, Việt Trì. Trước đó, người bệnh không hề gặp các vấn đề về hô hấp như ho khạc đờm, sốt, khó thở.
Trong quá trình kiểm tra sức khỏe tổng quát, chụp X-Quang phổi phát hiện tổn thương nên người bệnh tiếp tục được làm nội soi phế quản xét nghiệm dịch phế quản. Kết quả cho thấy người bệnh dương tính với vi khuẩn lao nên đã được điều trị lao phổi theo chuyên khoa.
![]() |
| Hình ảnh thâm nhiễm đỉnh phổi trái của người bệnh Đ.Q.T - Ảnh BVCC |
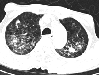
Tương tự, trường hợp người bệnh T.X.K (49 tuổi) ở Việt Trì, Phú Thọ dù không có dấu hiệu bất thường về sức khỏe nhưng khi kiểm tra cũng phát hiện người bệnh bị lao phổi, kết quả chụp X-Quang cho thấy tổn thương cả hai đỉnh phổi (hang lao, thâm nhiễm và xơ hoá).
![]() |
| Hình ảnh X-Quang phổi của người bệnh T.X.K cho thấy hang lao đỉnh phổi trái và thâm nhiễm, xơ hoá hai đỉnh phổi - Ảnh BVCC |
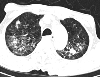
Hay trường hợp người bệnh D.V (79 tuổi) ở Tam Nông, Phú Thọ, chỉ đi kiểm tra sức khỏe do đau bụng nhưng sau khi chụp kiểm tra phổi thì phát hiện tổn thương thâm nhiễm và xơ hoá cả hai phổi, xét nghiệm dịch phế quản có vi khuẩn lao.
Tất cả các trường hợp người bệnh lao phổi được phát hiện tại Bệnh viện đa khoa tỉnh Phú Thọ đều được chuyển điều trị theo chuyên khoa. Và rất may mắn, nhờ được phát hiện sớm nên người bệnh đã được điều trị khỏi trong thời gian ngắn, hồi phục nhanh, sức khỏe sớm ổn định, đặc biệt là giảm nguy cơ lây nhiễm cho những người xung quanh.
![]() |
| Hình ảnh phổi của người bệnh Đ.V đã bị thâm nhiễm, xơ hoá hai đỉnh phổi - Ảnh BVCC |
Bệnh có tỷ lệ tử vong cao, phát hiện sớm điều trị khỏi
Bác sĩ nội trú Hà Ngọc Thủy, Khoa Nội Hô hấp - Tiêu hóa, Bệnh viện Đa khoa Phú Thọ cho biết: Lao phổi là bệnh truyền nhiễm nguy hiểm, có tỷ lệ tử vong cao. Việt Nam cũng là trong số những nước có gánh nặng bệnh lao cao nhất trên thế giới. Đây là bệnh lý có thể điều trị khỏi hoàn toàn, không để lại di chứng nếu được phát hiện và điều trị kịp thời.
Lao phổi thường gặp ở người bệnh có các yếu tố nguy cơ gây suy giảm miễn dịch như đái tháo đường, ung thư, ghép tạng, dùng corticoid kéo dài, bệnh máu ác tính,… Tuỳ thuộc vào tình trạng sức khoẻ và tổn thương phổi mà triệu chứng lao phổi rất đa dạng. Có nhiều người bệnh không hề có triệu chứng lâm sàng mà chỉ phát hiện khi đi khám sức khỏe định kỳ.
“Người dân nên chủ động kiểm tra sức khỏe định kỳ 6 tháng đến 1 năm 1 lần để phát hiện bệnh từ sớm và có phương án điều trị kịp thời, tránh được những nguy cơ sức khỏe tiềm ẩn có thể xảy ra.
Việc khám sức khỏe tổng quát định kỳ giúp bạn hiểu rõ hơn về sức khỏe của bản thân, để từ đó có kế hoạch phòng ngừa và bảo vệ sức khỏe một cách hiệu quả. Bên cạnh đó còn giúp hạn chế được nguy cơ lây nhiễm bệnh cho những người xung quanh, cũng như được điều trị sớm các bệnh lý nếu có.
Vì vậy, đừng đợi khi có triệu chứng rồi mới đi khám bệnh. Hãy đi khám sức khỏe ngay để bảo vệ chính bạn và người thân.” – BS Thủy khuyến cáo


