Sức khoẻ 360

Nhiều người gãy xương, chấn thương vì mưa đường trơn trượt

Nhiều trường hợp chấn thương từ mức độ trung bình đến nặng do tai nạn giao thông, đặc biệt liên quan đến trượt ngã khi đi xe máy.

Thời tiết mưa nhiều trong những ngày gần đây khiến đường trơn trượt, tầm nhìn hạn chế. Khoa Cấp cứu (A9) – Bệnh viện 19-8 đã tiếp nhận nhiều trường hợp chấn thương từ mức độ trung bình đến nặng do tai nạn giao thông, đặc biệt liên quan đến trượt ngã khi đi xe máy.

Mới đây, khoa tiếp nhận trường hợp bệnh nhân Đặng V.Đ (27 tuổi, Ninh Bình) bị tai nạn giao thông do phanh gấp khi trời mưa, đường quá trơn khiến xe trượt ngã.

vet-thuong.jpg
Chăm sóc vết thương cho người bệnh bị tai nạn - Ảnh BVCC

Người bệnh bị đau nhiều, vết thương vùng cẳng chân trái chảy nhiều máu, không đứng dậy được và được người đi đường hỗ trợ băng ép tại chỗ cầm máu, đưa đến viện sau 30 phút.

Kết quả thăm khám ban đầu cho thấy: Bệnh nhân tỉnh táo, tiếp xúc tốt. Lồng ngực vững. Bụng mềm. Tim đều. Huyết động ổn định.

Tại chỗ có 02 vết thương vùng cẳng chân trái kích thước khoảng 6x3 cm, bò nham nhở, ít dị vật, còn chảy máu, lộ cơ đứt. Mạch mu chân và ống gót bắt rõ.

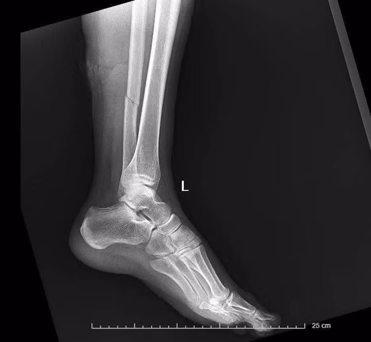
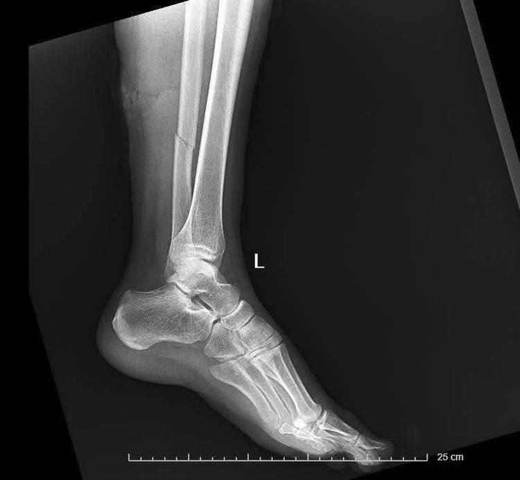
Chụp X-quang: Hình ảnh mất liên tục 1/3 trên và 1/3 dưới xương mác trái, chưa thấy tổn thương khớp gối – cổ chân.

vet-thuong-1.jpg
vet-thuong-2.jpg
Hình ảnh xương gãy trên phim chụp - Ảnh BVCC

Các bác sĩ Bệnh viện 19-8 đã xử trí cấp cứu: Kiểm tra vết thương, băng ép cầm máu bằng gạc y tế, nẹp cố định tránh di lệch thêm; Tiêm huyết thanh kháng độc tố uốn ván. Bệnh nhân được nhập chuyên khoa Chấn thương chỉnh hình (B1) để điều trị tiếp gãy xương.

Các bác sĩ cảnh báo, tai nạn giao thông do thời tiết mưa trơn có thể gây chấn thương nặng, ảnh hưởng lâu dài đến sức khỏe nói chung và khả năng vận động chi thể nói riêng nếu không được cấp cứu kịp thời và xử trí đúng cách.

Người dân cần hết sức thận trọng khi tham gia giao thông trong điều kiện mưa gió:

- Di chuyển tốc độ chậm, giữ khoảng cách an toàn

- Kiểm tra lốp xe và phanh xe thường xuyên

- Hạn chế phanh gấp – đánh lái đột ngột

- Trang bị bảo hộ an toàn

Khi có tai nạn hoặc chấn thương đến ngay cơ sở y tế gần nhất để được xử trí kịp thời; Tuyệt đối không tự nắn chỉnh xương hoặc xử lý vết thương không vô khuẩn.

back to top