Ho khan đi khám phát hiện bệnh nguy hiểm ở đường tiêu hóa
Mới đây, Phòng khám Đa khoa Medlatec Tây Hồ tiếp nhận bệnh nhân Đ.V.T. 40 tuổi, (Tây Hồ, Hà Nội) đến khám do ho nhiều.
Sau khi thăm khám lâm sàng, bệnh nhân được chỉ định thực hiện một số xét nghiệm cận lâm sàng bao gồm: chụp cắt lớp vi tính (CT) phổi liều thấp, nội soi dạ dày, nội soi đại - trực tràng.
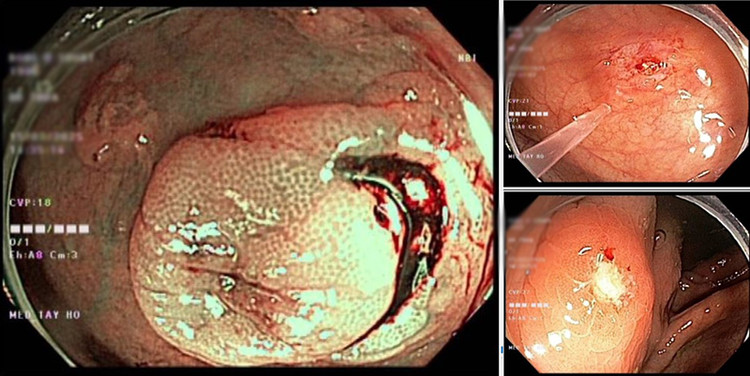
Trong quá trình nội soi đại - trực tràng, phát hiện một ổ loét tại manh tràng. Tổn thương này được sinh thiết, gửi làm giải phẫu bệnh và các xét nghiệm vi sinh.
![]() |
| Nội soi đại - trực tràng tại vị trí manh tràng, phía trên van Bauhin phát hiện ổ loét kích thước khoảng 1cm, bờ sung huyết, đáy có giả mạc, lấy bệnh phẩm làm mô bệnh học. |
Kết quả giải phẫu bệnh cho thấy tổn thương loét manh tràng do amip. Xét nghiệm huyết thanh cho thấy nồng độ kháng thể kháng amip trong máu tăng cao, góp phần củng cố chẩn đoán nhiễm amip đại tràng.
Ngoài ra, chụp CT phổi và siêu âm ổ bụng không ghi nhận hình ảnh áp xe tại phổi hoặc gan.
Dựa vào kết quả lâm sàng và cận lâm sàng đã thực hiện, anh T. được chẩn đoán xác định mắc viêm loét manh tràng do amip. Bệnh nhân được chỉ định điều trị nội khoa bằng phác đồ diệt amip.
Bệnh viêm đại tràng do amip nguy hiểm như nào?
Theo BS. Võ Thành Lai - Trung tâm Giải phẫu bệnh, Hệ thống Y tế Medlatec, đại tràng do amip là bệnh nhiễm trùng đường tiêu hóa do Entamoeba histolytica, một loại amip gây bệnh phổ biến ở khu vực có điều kiện vệ sinh kém.
Con đường lây nhiễm của bệnh chủ yếu qua đường tiêu hóa, do ăn uống thực phẩm nhiễm kén amip, một số có thể do qua quan hệ tình dục đường miệng. Những người có hệ miễn dịch suy yếu, hoặc sống trong môi trường kém vệ sinh có nguy cơ cao mắc bệnh.
Khoảng 80 - 90% người nhiễm Entamoeba histolytica không có triệu chứng. Khi có triệu chứng, bệnh có thể từ tiêu chảy nhẹ đến lỵ nặng. Thời gian ủ bệnh từ 1-2 tuần đến 3 tháng. Thể cấp tính với hội chứng lỵ gồm đau bụng, mót rặn và đi ngoài phân nhầy máu. Thể bán cấp và mạn tính, các triệu chứng chủ yếu là rối loạn tiêu hóa, suy nhược cơ thể.
BS Lai cảnh báo, bệnh không được chẩn đoán và điều trị kịp thời có thể gây ra nhiều biến chứng nguy hiểm như: xuất huyết tiêu hóa, hoại tử ruột, thủng ruột gây viêm phúc mạc. Hoặc có thể gây biến chứng ở các cơ quan khác như: viêm phổi - màng phổi, áp xe phổi, viêm gan, hoặc áp xe gan, áp xe não do amip.
Phòng ngừa viêm đại tràng do amip
Trong những năm gần đây, tình trạng mắc các bệnh lý đường tiêu hóa nói chung và viêm loét đại tràng nói riêng đang ngày càng trẻ hóa. Nguyên nhân chủ yếu liên quan đến lối sống hiện đại: ăn uống thiếu điều độ, không đảm bảo vệ sinh; sử dụng thực phẩm chế biến sẵn, căng thẳng kéo dài và thói quen tự ý dùng thuốc, bác sĩ Lai cho hay.
Không ít người chủ quan, bỏ qua những triệu chứng ban đầu, vô tình phớt lờ “lời kêu cứu âm thầm của cơ thể”, khiến bệnh diễn tiến mạn tính. Nguy hiểm hơn, viêm đại tràng kéo dài có thể dẫn đến ung thư đại - trực tràng.
Do đó, để phòng ngừa và phát hiện sớm viêm loét đại tràng, BS Lai khuyến cáo:
- Ăn chín, uống sôi, hạn chế rau sống và thực phẩm chưa rõ nguồn gốc;
- Rửa tay sạch bằng xà phòng trước khi ăn và sau khi đi vệ sinh;
- Tránh dùng chung đồ dùng cá nhân, đặc biệt tại môi trường tập thể;
- Không tự ý dùng thuốc, đặc biệt là kháng sinh hoặc thuốc chống viêm;
Khi có các triệu chứng kéo dài như ho khan, tiêu chảy, đau bụng, phân có nhầy/máu, rối loạn tiêu hóa, người dân cần đi khám. Người từng nhiễm amip nên tái khám định kỳ để đảm bảo ký sinh trùng được loại bỏ hoàn toàn.
