“Đang đứng, đột ngột cô té xuống nền nhà và bất động, rồi con gái cô đưa cô đến Bệnh viện Xuyên Á”. Bệnh nhân Đ.T.N.M (58 tuổi, Củ Chi) nhớ lại.
Bà M. nhập viện trong tình trạng lơ mơ, nói đớ kèm với bệnh lý nền tăng huyết áp, đái tháo đường. Tiếp nhận bệnh nhân tại Khoa Cấp Cứu, bác sĩ đã tiến hành chụp cộng hưởng từ MRI ghi nhận người bệnh bị nhồi máu não giai đoạn cấp.
Bệnh nhân được đặt ống thở, hội chẩn gấp rút với ekip mạch não xác định hút huyết khối điều trị nhồi máu não cho người bệnh.
Sau can thiệp, tình trạng cơ lực cải thiện, tri giác tỉnh, bớt nói đớ và được rút ống thở. Nhưng sau đó, bệnh nhân diễn tiến có đau ngực trái, xét nghiệm men tim tăng lên nghi ngờ nhồi máu cơ tim cấp nên được theo dõi tại Khoa Can Thiệp Tim mạch.
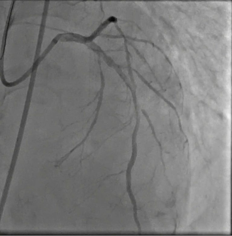
![]() |
| Can thiệp cứu người phụ nữ 58 tuổi cùng lúc đột quỵ não và nhồi máu cơ tim - Ảnh: BVCC |
Tại Khoa, tình trạng bệnh nhân đau ngực vẫn còn, khó thở tăng dần, mệt, vã mồ hôi, SpO2 bắt đầu giảm thấp. Lúc này, các bác sĩ can thiệp mạch vành quyết định tư vấn gia đình đặt ống thở lần 2 và tư vấn gia đình chụp mạch vành cấp cứu.
Với sự quyết tâm của gia đình, ekip can thiệp đã nhanh chóng tiến hành chụp, nong và đặt stent động mạch vành cho người bệnh. Quá trình can thiệp chụp DSA cho thấy người bệnh bị bệnh mạch vành 3 nhánh, hẹp nặng 70% – 80% nhánh bên phải từ đoạn gốc đến đoạn xa, hẹp 80% – 90% cả 2 nhánh bên trái.
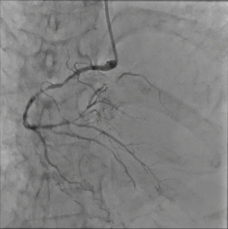
Bệnh nhân được tiến hành đặt 2 stent cùng lúc vào 2 nhánh bên trái. Sau can thiệp tình trạng huyết động bệnh nhân dần ổn định, ngưng được thuốc vận mạch và rút ống thở sau 2 ngày điều trị tại Khoa Hồi Sức Tích Cực. Sau đó, bệnh nhân tỉnh táo hoàn toàn, không yếu liệt, không khó thở, không đau ngực, vận động gắng sức tốt và chuẩn bị có thể ra viện.
![]() |
| Hình ảnh trước và sau can thiệp - Ảnh: BVCC |
Chia sẻ về ca bệnh này, ThS. BS. Trần Tấn Việt – Trưởng Khoa Can Thiệp Tim Mạch BVĐK Xuyên Á cho biết: “Đây là một trường hợp không gặp nhiều, bệnh nhân bị nhồi máu cơ tim ngay sau khi điều trị đột quỵ, người bệnh phải đối diện với 2 biến cố khá lớn về não và tim mạch trong cùng một thời điểm điều trị.
Đặc biệt, người bệnh có tổn thương mạch máu khá đặc trưng của người bệnh đái tháo đường, đó là tổn thương cả ba nhánh mạch vành, kể cả tổn thương ở những mạch máu nhỏ kèm biến chứng phù phổi cấp. Do đó, ekip đã tiến hành can thiệp đồng thời 2 nhánh hẹp nặng nhánh liên thất trước và nhánh động mạch mũ để giải quyết tình trạng tắc nghẽn.
Nhồi máu cơ tim cấp xảy ra khi tổn thương mạch vành gây tắc nghẽn một phần, dẫn đến nhu cầu oxy của tim không được đáp ứng, gây tổn thương cơ tim. Nếu không kịp thời đưa đến bệnh viện điều trị, người bệnh sẽ có nguy cơ đột tử ngoại viện.”
"Người bệnh khi phát hiện triệu chứng thì nên đi thăm khám sớm. Đôi khi những triệu chứng mệt mỏi, khó thở diễn ra rất mơ hồ, chỉ thoáng qua ở người lớn tuổi đặc biệt là ở bệnh nhân đái tháo đường, tăng huyết áp, những người có bệnh lý tim mạch có thể dễ gây nhầm lẫn.
Vì vậy, người bệnh cần phát hiện sớm để điều trị kịp thời, tránh các biến chứng nguy hiểm sức khỏe.” - Các bác sĩ khuyến cáo

