Ngày 3/9, Bệnh viện Hữu nghị Việt Đức thông tin, khoa Phẫu thuật Chấn thương chung của bệnh viện mới đây tiếp nhận bệnh nhân H.H.C (21 tuổi, Nghệ An) đang sinh sống và học tập tại Hà Nội với chẩn đoán gãy xương cánh tay phải sau khi chơi vật tay cùng bạn.
Bệnh nhân đến bệnh viện trong tình trạng sưng đau, biến dạng, hạn chế vận động cánh tay phải. Vận động bàn ngón tay bình thường, không yếu liệt, hình ảnh x-quang cho thấy xương cánh tay phải gãy chéo vát ở 1/3 dưới có mảnh rời cánh bướm lớn.
Qua khai thác được biết anh C. thường xuyên tập gym và chơi vật tay cùng bạn bè.
![]() |
| Người bệnh được phẫu thuật kết hợp xương cánh tay phải - Ảnh: BVCC |
Ngày 14/5/2024, khi đang chơi vật tay cùng bạn thì đột nhiên thấy tiếng “cục” và sau đó đau chói, biến dạng, mất vận động cánh tay phải. Sau khi nhập viện, bệnh nhân được chẩn đoán: Gãy kín xương cánh tay phải không liệt quay, chỉ định phẫu thuật kết hợp xương nẹp vít.
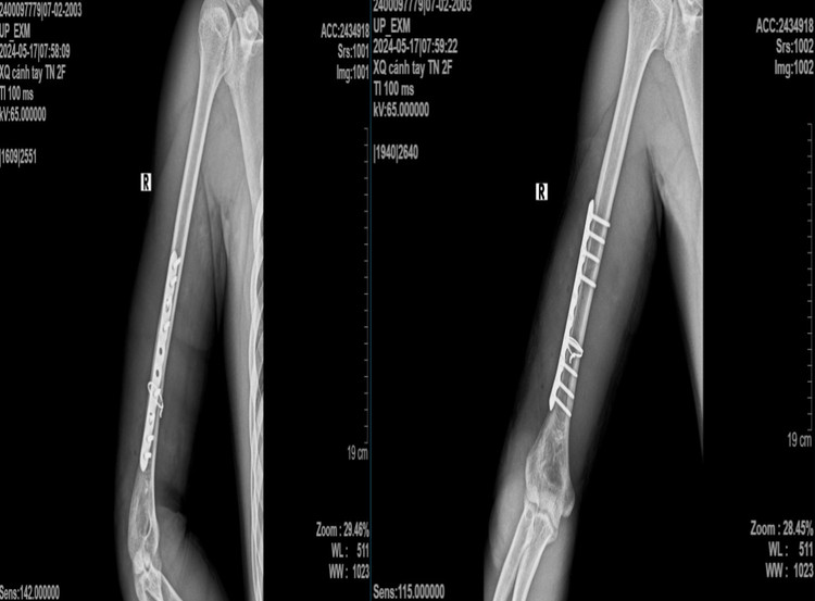
Sau phẫu thuật kết hợp xương nẹp vít, người bệnh được chụp x-quang kiểm tra sau mổ, giải phẫu xương cánh tay được phục hồi, người bệnh ra viện sau 4 ngày.
Người bệnh tái khám sau 1 tháng, vết mổ liền sẹo tốt, vận động cánh cẳng tay phải được, không tê bì yếu liệt đầu chi.
![]() |
| Hình ảnh x-quang sau phẫu thuật của bệnh nhân - Ảnh: BVCC |
ThS.BS Nguyễn Văn Phan, Khoa Phẫu thuật Chấn thương chung, Bệnh viện Hữu nghị Việt Đức cho biết, xương cánh tay là một xương lớn của chi trên, khi gãy có thể gây biến chứng liệt thần kinh quay (tỷ lệ 8-20%). Gãy xương trong khi đang vật tay thường do cơ chế xoắn vặn nên ổ gãy thường là dạng chéo vát, có thể có mảnh rời.
Người tham gia thường dùng một lực rất lớn lên cánh tay khi khuỷu cố định trong tư thế gấp, dẫn tới một lực rất lớn dồn vào vùng 1/3 dưới xương cánh tay là vùng chuyển tiếp giữa thiết diện tròn và tam giác của thân xương, nguy cơ gãy xương rất cao.
Ngoài ra, một số người chơi vật tay dùng mẹo thay đổi hướng xoắn vặn hoặc giảm rồi tăng lực đột ngột nhằm gây bất ngờ cho đối phương để chiếm ưu thế cũng là nguyên nhân dẫn tới việc gãy xương khi tham gia chơi vật tay.
Nhằm tránh xảy ra tai nạn đáng tiếc khi tham gia vật tay, các bác sĩ đưa ra một số lưu ý tới người chơi như sau:
Lựa chọn đối thủ phù hợp, tránh chênh lệch quá lớn về cân nặng, chiều cao (do chênh lệch về chiều dài cẳng tay, khối lượng cơ)
Lựa chọn chiến thuật thi đấu phù hợp, tránh đứt điểm đột ngột (gây quá tải cơ), kiểm soát trọng tâm của người tham gia để đảm bảo thăng bằng, tránh hụt đà, ngã khi chơi.
Kỹ thuật thi đấu chuẩn: Không cố định cánh tay ở khớp vai (khớp ổ chảo – cánh tay) khi thi đấu.

