Thời sự

Mệt mỏi, đau bụng, người phụ nữ 35 tuổi cùng lúc phát hiện nhiều bệnh lý

Thấy mệt mỏi, đau bụng, vàng da bệnh nhân đi khám không ngờ phát hiện: xơ gan, suy gan cấp, u thận, phình động mạch thận, động mạch lách...Đây đều là các bệnh lý đe dọa tính mạng.

1 lần chụp cắt lớp vi tính phát hiện nhiều bệnh nguy kịch

Bệnh viện đa khoa tỉnh Phú Thọ mới đây tiếp nhận người bệnh nữ 35 tuổi, ở huyện Thanh Ba, nhập viện trong tình trạng mệt mỏi, đau bụng, vàng da.

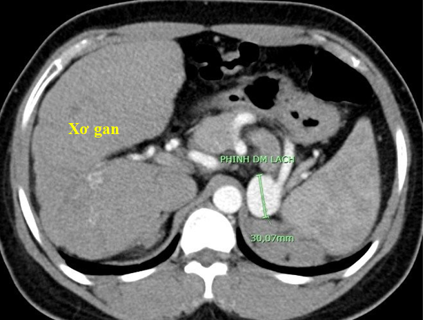
Qua chụp cắt lớp vi tính 128 dãy ổ bụng có tiêm thuốc cản quang đã phát hiện cùng lúc nhiều bệnh lý bên trong ổ bụng bao gồm: xơ gan điển hình, khối u thận kích thước lớn, túi giả phình nhánh động mạch thận và khối phình động mạch lách.

Hình ảnh xơ gan và phình động mạch lách trên phim chụp cắt lớp vi tính 128 dãyHình ảnh xơ gan và phình động mạch lách trên phim chụp cắt lớp vi tính 128 dãy

Người bệnh có tiền sử viêm gan virus B mạn tính, do xuất hiện triệu chứng mệt nên ở nhà đã uống thuốc sắc bằng lá cây không rõ nguồn gốc. Tuy nhiên, triệu chứng ngày càng nặng lên khiến người bệnh phải nhập viện điều trị.

Sau khi thăm khám, làm các xét nghiệm sơ bộ, người bệnh được chẩn đoán suy gan cấp, xơ gan, viêm gan B mạn tính. Theo nhận định ban đầu, khả năng người bệnh bị suy gan cấp do sử dụng bài thuốc lá cây không rõ nguồn gốc.

Trong quá trình điều trị, người bệnh được chỉ định chụp thêm phim cắt lớp vi tính 128 dãy ổ bụng có tiêm thuốc cản quang do trên siêu âm do nghi ngờ còn có nhiều bệnh lý khác trong ổ bụng.

Thật bất ngờ, sau khi chụp phim, sử dụng các kỹ thuật tái tạo ảnh và dựng hình hiện đại, các bác sĩ còn phát hiện nhiều bệnh lý phối hợp bên trong ổ bụng của người bệnh, bao gồm: (1) xơ gan điển hình, (2) khối u thận phải kích thước lớn (u mạch cơ mỡ, kích thước 8,5 x 6,5 cm) và có túi giả phình nhánh động mạch thận nuôi khối u (1,9cm), và (3) khối phình động mạch lách kích thước lớn (3,0 cm).

Hình ảnh khối u thận và giả phình nhánh động mạch thận nuôi u trên phim chụp cắt lớp vi tính 128 dãy có sử dụng kỹ thuật tái tạo và dựng hình đa bình diệnHình ảnh khối u thận và giả phình nhánh động mạch thận nuôi u trên phim chụp cắt lớp vi tính 128 dãy có sử dụng kỹ thuật tái tạo và dựng hình đa bình diện

Các tổn thương mới phát hiện này đều là những bệnh lý nguy hiểm, có thể gây biến chứng nặng như vỡ khối u, vỡ khối phình mạch. Khi đó, việc điều trị sẽ rất khó khăn và nguy hiểm đến tính mạng người bệnh.

Người bệnh đã được điều trị tích cực, tình trạng suy gan cấp ổn định dần, sau đó được tiến hành hội chẩn liên chuyên khoa để đưa ra các biện pháp điều trị các bệnh lý khác ở thận và động mạch lách.

Các bác sĩ đã ưu tiên điều trị khối u thận phải và khối giả phình động mạch thận phải bằng phương pháp can thiệp mạch xâm lấn tối thiểu, không phải phẫu thuật, để loại bỏ nguy cơ vỡ u và vỡ giả phình mạch.

Hiện tại, sau khi điều trị tình trạng bệnh lý suy gan và can thiệp mạch điều trị u thận – giả phình động mạch thận, người bệnh đã ổn định. Các bác sĩ dự kiến sẽ tiếp tục điều trị khối phình động mạch lách bằng can thiệp nội mạch xâm lấn tối thiểu trong thời gian sớm nhất để loại bỏ nguy cơ vỡ chảy máu trong ổ bụng.

Hình ảnh khối u thận và giả phình nhánh động mạch thận nuôi u (phải) và hình phình động mạch lách (trái) trên phim chụp cắt lớp vi tính 128 dãy có sử dụng kỹ thuật dựng hình 3D mạch máuHình ảnh khối u thận và giả phình nhánh động mạch thận nuôi u (phải) và hình phình động mạch lách (trái) trên phim chụp cắt lớp vi tính 128 dãy có sử dụng kỹ thuật dựng hình 3D mạch máu

Chụp cắt lớp vi tính 128 dãy áp dụng cho bệnh lý nào?

Máy chụp cắt lớp vi tính 128 dãy là một trong những công nghệ kỹ thuật được điều chỉnh để cung cấp hình ảnh ba chiều cho hầu hết người bệnh ở mọi lứa tuổi. Chúng được sử dụng để chụp cho những người mắc bệnh tim mạch hoặc các bệnh về hô hấp bị gây khó khăn bởi các loại máy chụp khác.

Công nghệ chụp cắt lớp vi tính 128 dãy thực hiện nhanh chóng và cung cấp hình ảnh rõ nét trong cơ thể với độ chính xác cao. Qua đó, giúp bác sĩ giảm bớt một số xét nghiệm, giúp người bệnh rút ngắn thời gian nằm viện.

Bên cạnh đó, công nghệ này còn tích hợp thêm lá chắn để điều chỉnh mức độ phơi nhiễm bức xạ. Đồng thời, ngăn chặn được các liều phóng xạ không cần thiết trước và sau khi tiến hành.

Đối tượng được chỉ định chụp Hình ảnh người bệnh được chụp bằng máy chụp cắt lớp vi tính 128 dãy tiên tiến hiện đại tại Bệnh viện đa khoa tỉnh Phú Thọ cho thấy nhiều bệnh khác nhau trong cùng 1 người bệnh

Hệ thống máy chụp cắt lớp vi tính giúp phát hiện nhiều bệnh lý phức tạp như:

Các bệnh lý hệ thần kinh: Đột quỵ não, dị dạng mạch não, u não, bất thường bẩm sinh các cấu trúc não…

Bệnh lý hệ hô hấp: Các khối u phổi, u trung thất, tắc động mạch phổi…

Bệnh lý hệ tiêu hóa: Các khối u gan – đường mật, lách, thận, tụy, ống tiêu hóa…

Các bệnh lý chấn thương các tạng: gan, lách, thận, tụy, ruột…

Bệnh lý sinh dục tiết niệu, bệnh lý cơ xương khớp, cột sống…

Từ kết quả chụp cắt lớp vi tính 128 dãy, các bác sĩ đã đưa ra những thông tin giá trị, giúp các bác sĩ lâm sàng có chiến lược điều trị phù hợp và chính xác, giúp người bệnh hồi phục nhanh và sớm khỏi bệnh.

back to top