Sức khoẻ 360

Máy lóc gỗ khiến cánh tay người đàn ông đứt rời, dập nát

Trong các trường hợp tai nạn gây đứt rời chi thể, việc sơ cứu và bảo quản đúng cách đóng vai trò quyết định đến khả năng nối lại.

Bệnh nhân nam, 54 tuổi, bị tai nạn lao động vết thương đứt rời 1/3 trên cánh tay phải. Sau 3 giờ tai nạn, bệnh nhân được chuyển đến Bệnh viện Trung ương Quân đội 108 (Bệnh viện TWQĐ 108), kíp phẫu thuật Khoa Chấn thương chi trên và Vi phẫu thuật, Viện Chấn thương Chỉnh hình cùng khoa Gây mê hồi sức đã nối thành công cánh tay cho bệnh nhân sau gần 5 tiếng phẫu thuật.

trong-noi.jpg
Cánh tay phải của bệnh nhân bị đứt rời sau tai nạn lao động - Ảnh BVCC

Ngay sau tai nạn, bệnh nhân được sơ cứu và chuyển khẩn cấp tới Bệnh viện TWQĐ 108 trong “thời gian vàng” khoảng 3 giờ sau chấn thương.

Ngay khi tiếp nhận bệnh nhân, bác sĩ trực đã báo cáo tình hình và xin ý kiến chỉ đạo của chỉ huy khoa Chấn thương chi trên và Vi phẫu thuật, nhanh chóng hoàn thành các xét nghiệm và phối hợp với ê-kíp gây mê đẩy bệnh nhân lên phòng mổ.

Tại đây, ê-kíp phẫu thuật đã nhanh chóng tiến hành cắt lọc vết thương, kết xương, khâu nối mạch máu, gân cơ đứt, riêng các dây thần kinh bị nhổ giật được đánh dấu và xử lý ở thì 2.

trong-noi1.jpg
Ê-kíp phẫu thuật cho bệnh nhân - Ảnh BVCC

Sau gần 5 giờ phẫu thuật căng thẳng, phần cánh tay đứt rời được nối thành công. Sau mổ, bệnh nhân được theo dõi sát, thay băng chăm sóc tích cực. Hiện tại, bệnh nhân đã khỏe mạnh, có thể xuất viện trong một vài ngày tiếp theo.

Theo BSCKI Lê Quốc Cường, Khoa Chấn thương chi trên và Vi phẫu thuật cho biết: “Đây là một trường hợp khó, do tổn thương bị gây ra bởi máy lóc gỗ, khiến cho vết thương bị dập nát nặng.

Ngoài ra, tổn thương bỏng kèm theo cũng là một yếu tố khiến cho ca bệnh trở nên phức tạp hơn. Tại phòng mổ, với mục tiêu là cần phải phục hồi lại nguồn cung cấp máu cho phần chi đứt rời nhanh nhất có thể để cứu sống cánh tay của bệnh nhân và tránh xảy ra tình trạng “tái tưới máu”.

trong-noi-canh-tay.jpg
Cánh tay bệnh nhân sau nối - Ảnh BVCC

TS.BS Ngô Thái Hưng, Phó chủ nhiệm Khoa chấn thương chi trên và Vi phẫu thuật khuyến cáo: “Trong các trường hợp tai nạn gây đứt rời chi thể, việc sơ cứu và bảo quản đúng cách đóng vai trò quyết định đến khả năng nối lại.

Chi thể bị đứt cần được rửa sạch bằng nước đun sôi để nguội hoặc nước muối sinh lý, bọc trong khăn/gạc sạch, cho vào túi nilon kín rồi đặt trong phích đá lạnh.

Lưu ý không để chi thể tiếp xúc trực tiếp với đá lạnh và không dùng xà phòng hay hóa chất rửa. Thời gian vàng để nối chi thể là trong vòng 6 giờ nếu được bảo quản đúng. Khi thời gian càng kéo dài, cơ hội thành công càng giảm, kèm theo nhiều nguy cơ có thể xảy ra.

Do đó, trong những trường hợp thế này, chúng tôi luôn xác định rằng yếu tố quan trọng nhất là phải hành động càng nhanh càng tốt, làm sao để cấp máu trở lại cho phần chi bị đứt rời trong thời gian ngắn nhất có thể.

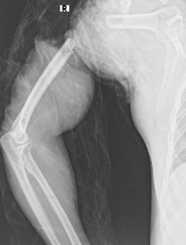
Cánh tay sau nối trên phim chụp - Ảnh BVCC

Cánh tay sau nối trên phim chụp - Ảnh BVCC

Vì vậy, mỗi thao tác, mỗi quyết định tại phòng mổ phải được tính toán kỹ lưỡng nhưng thực hiện dứt khoát và đòi hỏi sự phối hợp nhịp nhàng, ăn ý giữa tất cả thành viên trong ekip phẫu thuật”.

BS Lê Quốc Cường (Khoa Phẫu thuật chi trên và vi phẫu thuật, Bệnh viện TWQĐ 108)

back to top