Một bệnh nhân 70 tuổi bị lồng ruột do u manh tràng hiếm gặp, vừa được Khoa Ngoại Tổng Quát Bệnh viện Đa khoa Xuyên Á (TP HCM) phẫu thuật cấp cứu thành công, giải quyết kịp thời trước khi xuất hiện dấu hiệu hoại tử đoạn ruột bị lồng do thiếu máu.
Bệnh nhân là bà T.T.T (70 tuổi, Tây Ninh) nhập viện trong tình trạng đau bụng quặn từng cơn, buồn nôn, bí đại tiện, bụng chướng. Được biết, người bệnh mắc nhiều bệnh lý nền như xuất huyết não, suy thượng thận, tràn dịch đa màng đang được điều trị nội khoa.
![]() |
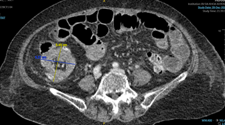
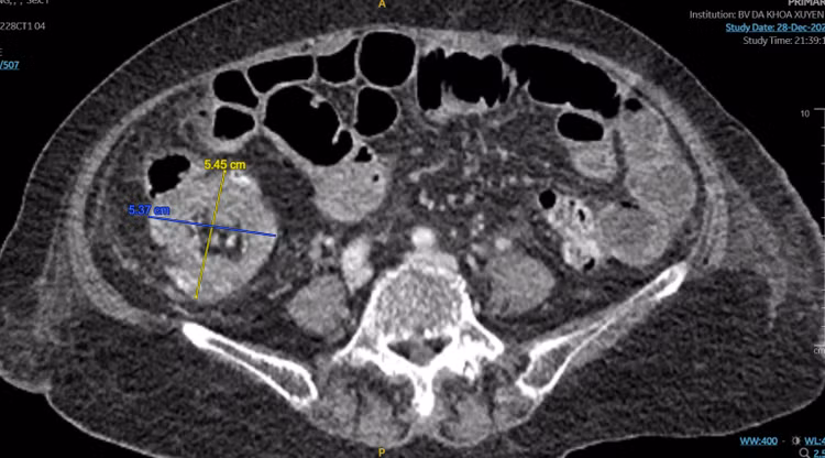
| Hình ảnh khối u trên CT - Ảnh BVCC |
Dựa trên triệu chứng bệnh, các bác sĩ nhận định đây là bệnh cảnh tắc ruột điển hình ở bệnh nhân lớn tuổi do khối u ống tiêu hóa. Người bệnh được chỉ định chụp CT-Scanner bụng chậu phát hiện một khối lồng ruột non vào đại tràng tại góc hồi – manh tràng, khối lồng hồi manh tràng do u có kích thước 5,45×5,37cm.
Từ kết quả cận lâm sàng, các bác sĩ khoa Ngoại Tổng Quát chẩn đoán người bệnh bị lồng ruột hồi manh tràng do khối u manh tràng và quyết định phẫu thuật cấp cứu cắt đoạn ruột lồng để điều trị nguyên nhân, giải quyết tình trạng lồng ruột trước khi xuất hiện dấu hiệu hoại tử đoạn ruột bị lồng do thiếu máu.
Trong quá trình phẫu thuật, các phẫu thuật viên đã cắt đoạn đại tràng phải và hồi tràng dưới chỗ lồng gần 15cm, đưa hai đầu ruột ra làm hậu môn nhân tạo.
BS.CKI. Phạm Minh Tiến, Khoa Ngoại Tổng Quát Bệnh viện Đa khoa Xuyên Á cho biết: “Đây là trường hợp biến chứng của khối u đường tiêu hóa dẫn đến bệnh cảnh lồng ruột, dễ diễn tiến nặng gây nguy cơ hoại tử ruột do thiếu máu. Bệnh nhân T. lớn tuổi, có nhiều bệnh nền phức tạp, nguy cơ chu phẫu cao nên người bệnh đã được các chuyên khoa liên quan phối hợp điều trị sát sao trước, trong và sau mổ.”
Từ tình trạng của bệnh nhân T., các chuyên gia cũng cảnh báo về nguy cơ khối u gây tắc ruột. Các khối u đường tiêu hóa thường phát triển trong thời gian dài nên các triệu chứng ban đầu thường không điển hình, chỉ là các biểu hiện rối loạn thói quen đại tiện, các cơn đau bụng ngắn, điều này làm chúng ta hay chủ quan bỏ qua.
![]() |
| Thăm khám cho bệnh nhân sau phẫu thuật - Ảnh BVCC |
Cho đến khi các triệu chứng trở nên rầm rộ khiến bệnh nhân phải vào viện thì tình trạng bệnh đã ở trong giai đoạn muộn, khối u đã lớn, thậm chí có biến chứng.
Cụ thể ở trường hợp bệnh nhân T. là biến chứng lồng ruột. Đây là 1 biến chứng nguy hiểm vì tình trạng lồng ruột có thể khiến đoạn ruột lồng thiếu máu dẫn đến hoại tử, thậm chí viêm phúc mạc có thể gây tử vong, cần phải được phẫu thuật cấp cứu.
Người từ trên 40 tuổi (đặc biệt là những người có người thân bị ung thư đường tiêu hóa) thì nên đi nội soi tiêu hóa mỗi 5 năm/lần để tầm soát, phát hiện sớm các tổn thương, u trong ống tiêu hóa.
Đặc biệt, những người có thay đổi thói quen đại tiện, hình dạng phân, thường đau bụng quặn từng cơn, kèm buồn nôn, bí trung – đại tiện thì không nên chủ quan bỏ sót triệu chứng, hãy đến các cơ sở y tế uy tín để được bác sĩ chuyên khoa thăm khám và điều trị kịp thời tránh các biến chứng đáng tiếc." - bác sĩ Tiến cũng khuyến cáo

