Bụng chướng không ngờ viêm tụy cấp nặng phải lọc máu
Ngày 4/11, Bệnh viện Đa khoa Hùng Vương Phú Thọ cho biết, bệnh viện vừa thực hiện thành công phương pháp lọc máu hấp phụ điều trị viêm tụy cấp mức độ Balthazar D do tăng Triglycerid cho nam bệnh nhân 45 tuổi
Nam bệnh nhân 45 tuổi vào viện vì đau bụng thượng vị. Theo lời bệnh nhân kể, vào sáng ngày nhập viện, bệnh nhân xuất hiện đau bụng thượng vị nhiều, đau quặn cơn bụng cảm giác căng tức khó chịu, đau ngày càng tăng đã uống giảm đau không đỡ nên gia đình đã đưa bệnh nhân tới Bệnh viện Đa khoa Hùng Vương khám.
Tại Bệnh viện Đa khoa Hùng Vương sau khi các bác sĩ khám bệnh thấy bệnh nhân trong tình trạng tỉnh, đau bụng thượng vị nhiều, bụng chướng căng, mạch nhanh, huyết áp có dấu hiệu tụt lấy máu làm xét nghiệm, chụp CT ổ bụng, lúc lấy máu thấy máu lấy ra đục trắng như sữa có lẫn dây máu.
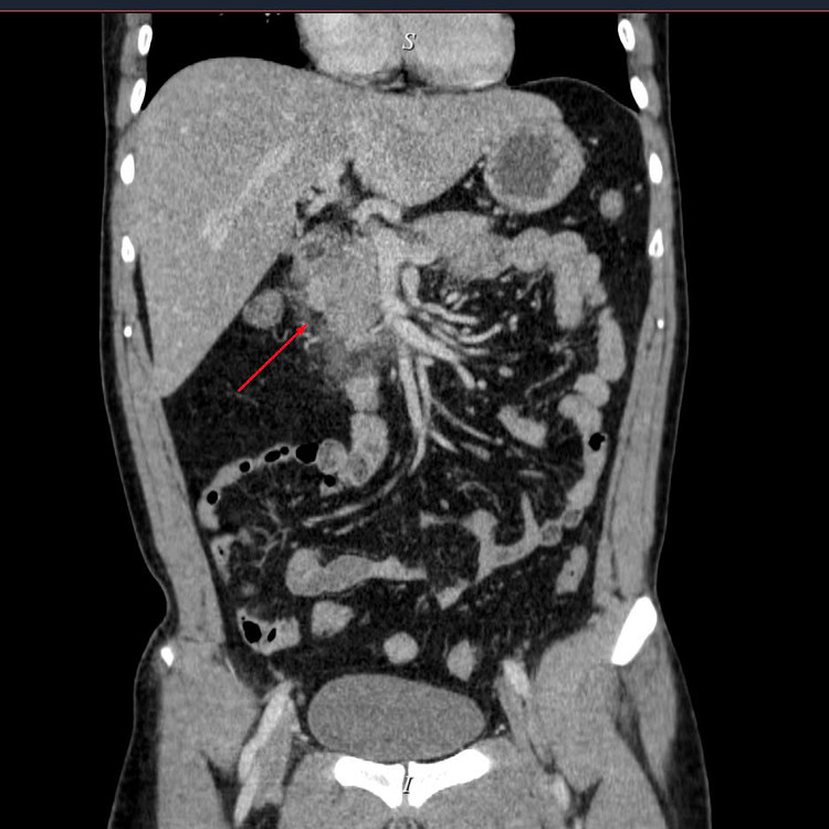
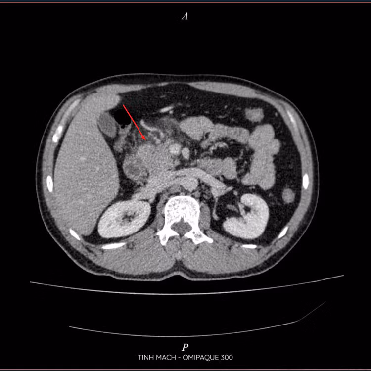
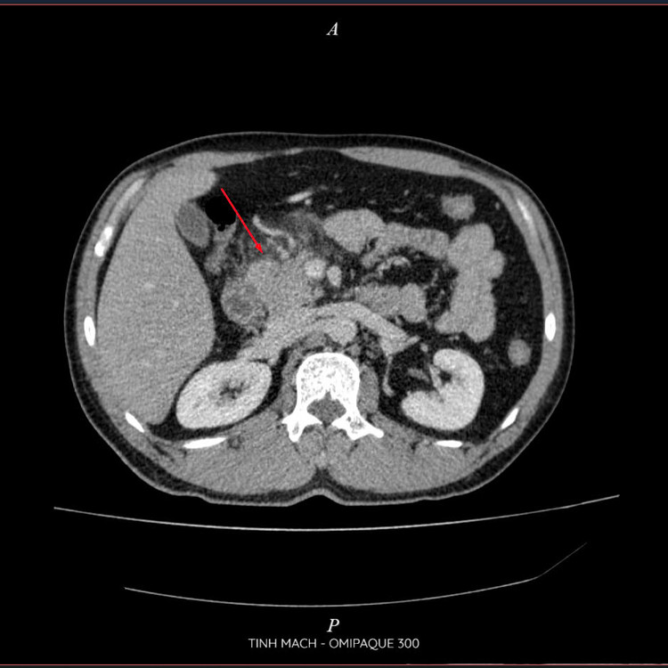
![]() |
| Viêm tụy cấp trên phim chụp - Ảnh BVCC |
Kết quả chụp CT Scanner đa dãy ổ bụng có thuốc cho thấy: Hình ảnh viêm tụy cấp Balthazar D, mCTSI 4 điểm, xét nghiệm máu triglycerid >73 mmol/ l, khí máu có tình trạng toan Lactat>2. Nhận thấy đây là tình trạng viêm tụy cấp nặng do tăng triglyceride, các bác sĩ khoa Hồi sức cấp cứu Bệnh viện Đa khoa Hùng Vương đã tiến hành lọc máu hấp phụ cho bệnh nhân với mục tiêu là giảm triglycerid, và giảm phản ứng viêm.
Sau khi lọc hấp phụ kết hợp với lọc máu liên tục sau 1 quả lọc hấp phụ MG 350 xét nghiệm lại tri:30 bụng bớt chướng hơn nhiều, bệnh nhân được tiếp tục điều trị nội khoa tích cực và bệnh nhân đã ra viện sau 7 ngày điều trị.
Đây là một kỹ thuật rất mới được ứng dụng tại Bệnh viện Đa khoa Hùng Vương, giúp cho bệnh nhân nhanh chóng ổn định, hạn chế được nhược điểm của phương pháp thay huyết tương, có thể ứng dụng vùng sâu vùng xa nơi không có sẵn nguồn huyết tương.
Dễ tái phát và tử vong
TS.BS Ngô Thị Hoài, Khoa Cấp cứu tiêu hóa - Bệnh Viện TWQĐ 108 chia sẻ: Nhiều nghiên cứu đã chỉ ra rằng viêm tụy cấp do tăng mỡ máu thường nặng hơn và đe dọa tính mạng bệnh nhân hơn so với các nguyên nhân khác.
Viêm tụy cấp do tăng mỡ máu gặp khoảng 30-35% trong tổng số bệnh nhân viêm tụy cấp nhập viện. Với mức triglyceride >5.6 mmol/L bệnh nhân có nguy cơ bị viêm tụy cấp, nếu triglyceride >11.3 mmol/L nguy cơ mắc viêm tụy cấp là 5%, tỷ lệ này tăng lên 10-20% khi mức triglyceride > 22.6 mmol/L.
Nếu mỡ máu của bệnh nhân không được điều trị thì nguy cơ viêm tụy cấp tái phát và tiếp đó sẽ dẫn đến viêm tụy mạn gây suy cả tuyến tụy nội tiết và ngoại tiết.
![]() |
| Thăm khám cho bệnh nhân - Ảnh BVCC |
Bác sĩ cũng khuyến cáo: bệnh nhân bị bệnh rối loạn chuyển hóa lipid máu nên đến khám và điều trị mỡ máu duy trì kiểm soát mỡ máu bằng chế độ ăn, cân nặng và thuốc. Đặc biệt người trẻ mắc bệnh rối loạn chuyển hóa lipid máu mà có kèm uống rượu thì tình trạng bệnh sẽ nặng và nguy cơ rất cao xảy ra viêm tụy và các bệnh lý tim mạch chuyển hóa”.
Các chuyên gia tiêu hóa cho biết, hiện tình trạng những người bị rối loạn chuyển hóa lipit phải cấp cứu ngày càng nhiều. Ngoài choleterol tăng cao, đa số bệnh nhân có hàm lượng triglyceride cao gấp 15 – 17 lần giới hạn cho phép đi kèm với rất nhiều tổn thương thực thể do uống rượu và rối loạn chuyển hóa gây ra. Đây là một căn bệnh khá nguy hiểm, có thể dẫn đến tử vong nếu không được cấp cứu kịp thời.
Triệu chứng của bệnh viêm tụy cấp diễn ra rầm rộ như bệnh nhân bị chướng bụng, đau bụng, buồn nôn, đau vùng thượng vị (ngay dưới xương ức), bí trung đại tiện.
Viêm tụy cấp diễn biến phức tạp, nhanh chóng. Ngay cả khi cơn nguy kịch đã tạm qua, các biến chứng nhiễm trùng, nhiễm độc, suy kiệt vẫn rình rập. Bệnh rất dễ tái phát nhiều lần. Vì vậy, bệnh nhân luôn cần được theo dõi y tế sát sao và thực hiện đúng theo hướng dẫn điều trị của Bác sĩ.
“Người dân nên đi kiểm tra sức khỏe định kỳ, quản lý bệnh lý tăng mỡ máu giảm thiểu nguy cơ biến chứng viêm tụy cấp, hoặc bệnh lý mạch máu. Đặc biệt, nếu thấy cơ thể có dấu hiệu bất thường cần đến các cơ sở y tế để được thăm khám và điều trị kịp thời.” - Các bác sĩ khuyến cáo

