Theo đó, bệnh nhân Nguyễn Thị H (65 tuổi, Văn Lâm, Hưng Yên) tiền sử bị bướu giáp 15 năm nay, không có triệu chứng gì. Khoảng 1 tháng nay có biểu hiện chèn ép, khó thở, nuốt vướng nhẹ, khó thở tăng khi nằm ngửa.
Bệnh nhân vào Bệnh viện TWQĐ 108 phát hiện bướu giáp khổng lồ, biến dạng vùng cổ. Chụp CT xác định bướu giáp rất to: kích thước thùy phải là 10x 6cm, thùy trái 12 x 7 cm, đè ép các tổ chức xung quanh, đè hẹp khí quản.
![]() |
| Lấy khối u giáp khổng lồ 15 năm đè ép khí quản |
Bệnh nhân vào khoa ngoại lồng ngực, các bác sĩ xác chẩn bệnh nhân bị bướu giáp khổng lồ, chèn ép khí quản và có chỉ định phẫu thuật.
Quá trình phẫu thuật tiên lượng khó khăn do bướu giáp to gây biến dạng vùng cổ, biến đổi cấu trúc giải phẫu, đè ép khí quản, có thể làm nhuyễn khí quản gây suy hô hấp cấp.
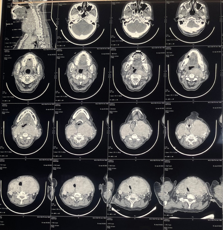
![]() |
| Khối u khổng lồ gây chèn ép trên phim chụp |
Trong phẫu thuật, phát sinh tình huống khó khăn do khí quản bị hẹp và biến dạng nên quá trình gây mê đặt ống nội khí quản khó. Bên cạnh đó do bướu giáp to, mạch máu tăng sinh, các mốc giải phẫu thay đổi, ê kíp phẫu thuật phải rất thận trọng, phẫu thuật kéo dài.
Tuy nhiên sau 2 giờ ca phẫu thuật đã diễn ra thành công, bệnh nhân sau mổ không gặp biến chứng chảy máu, khàn tiếng hay tê tay.
![]() |
| Khối u tuyến giáp khổng lồ được lấy ra |
TS.BS Ngô Vi Hải, Chủ nhiệm khoa Ngoại lồng ngực, Bệnh viện TWQĐ 108– Phẫu thuật viên chính của ca phẫu thuật cho biết, đây là trường hợp đặc biệt, bướu tuyến giáp phát triển ngày càng to dần gây biến dạng vùng cổ, khối quá lớn làm ảnh hưởng các cấu trúc giải phẫu kế cận và tình trạng tăng sinh mạch máu của khối u làm tăng nguy cơ chảy máu trong phẫu thuật.
Từ trường hợp này, TS.BS Ngô Vi Hải khuyến cáo, bệnh nhân nếu phát hiện bướu giáp, cần được khám chuyên khoa, đánh giá tình trạng bệnh. Tránh để bướu quá to chèn ép khí quản gây các biến chứng nặng nề, hoặc khó khăn cho phẫu thuật.


