Khoa Cấp cứu tiêu hóa, Viện Điều trị các bệnh tiêu hóa, Bệnh viện TWQĐ 108, lần đầu tiên thực hiện thành công nội soi lấy tổ chức tụy hoại tử qua da.
Bệnh nhân nam 76 tuổi, mắc nhiều bệnh nền: ung thư trực tràng đã phẫu thuật, tăng huyết áp. Bệnh nhân bị biến chứng viêm tụy cấp hoại tử sau lấy sỏi ống mật qua mật tuỵ ngược dòng từ tháng 9/2023.
Bệnh nhân đã được điều trị 3 tháng liên tục tại rất nhiều bệnh viện lớn ở Hà Nội bằng cách đặt 3 dẫn lưu 12F vào nang tụy hoại tử, bơm rửa qua dẫn lưu kết hợp dùng kháng sinh mạnh, tuy nhiên tình trạng nhiễm khuẩn không cải thiện.
![]() |
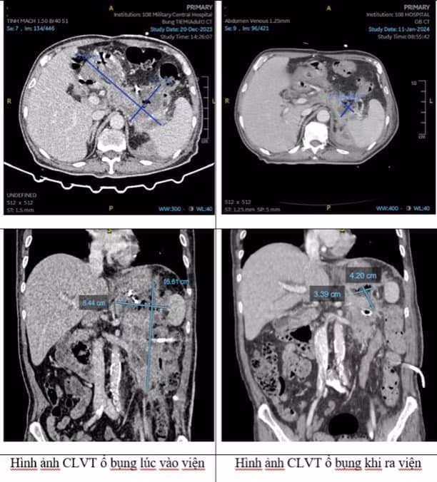
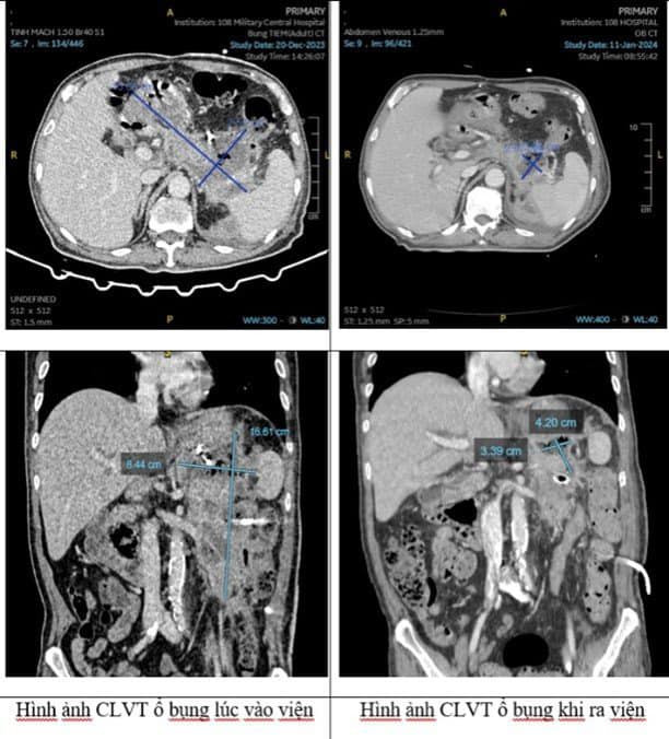
Bệnh nhân nhập viện trong tình trạng toàn thân suy kiệt nặng, sốt cao liên tục 39 độ C và có nhiều cơn rét run. Kết quả chụp CLVT ổ bụng thấy nang tụy hoại tử kích thước lớn 15,6cm x 16,6cm x 7,6cm có nhiều khí và tổ chức hoại tử rắn trong nang, cấy dịch hoại tử tuỵ thấy nhiễm vi khuẩn Klebsiella aerogenes đa kháng.
Khoa cấp cứu tiêu hóa đã đặt đường hầm qua da vào nang hoại tử bằng dụng cụ từ vỏ bơm tiêm và một sonde dẫn lưu màng phổi 28F, sau đó đưa ống soi dạ dày qua đường hầm lấy tổ chức tụy hoại tử, kết hợp bơm rửa ổ hoại tử bằng dung dịch betadine và oxy già pha loãng.
![]() |
Sau 3 lần đưa ống soi vào lấy tổ chức tụy hoại tử kết hợp với bơm rửa hàng ngày, bệnh nhân được xuất viện sau 20 ngày điều trị trong tình trạng hết sốt, ăn uống, tự đi lại được, trên kết quả xét nghiệm marker viêm về bình thường. Hình ảnh chụp CLVT ổ bụng cho thấy ổ hoại tử tụy đã thu nhỏ rất nhiều so với trước điều trị.
Theo TS.BS Dương Minh Thắng - Chủ nhiệm khoa Cấp cứu tiêu hóa, Viện Điều trị các bệnh tiêu hóa, cho biết: Hoại tử tụy nhiễm trùng là một biến chứng nặng, tỷ lệ tử vong do hoại tử tụy nhiễm trùng có thể lên đến 30-40%, đây là một thách thức với các bác sỹ cả ngoại khoa và nội khoa.
![]() |
| Ca phẫu thuật cho bệnh nhân tại bệnh viện TƯQĐ 108 |
Nội soi lấy tổ chức tụy hoại tử tụy qua da là một biện pháp điều trị xâm lấn tối thiểu nhưng lại mang lại hiệu quả tối đa. Khó khăn lớn nhất của kỹ thuật là tạo được đường hầm qua da vào ổ hoại tử, trên thế giới thường thực hiện bằng cách sử dụng stent kim loại chuyên dụng để đặt đường hầm tuy nhiên tại Việt Nam chưa có stent kim loại này.
"Nhờ sáng kiến kỹ thuật tạo đường hầm qua da của chúng tôi, con đường tiếp cận để điều trị nang tụy hoại tử nhiễm trùng sẽ dễ dàng và hiệu quả, giúp cứu sống người bệnh, giảm thời gian nằm viện, tiết kiệm chi phí rất nhiều cho bệnh nhân". - TS.BS Dương Minh Thắng nhấn mạnh
BS Trần Văn Thanh, Khoa Cấp cứu tiêu hóa, Viện Điều trị các bệnh tiêu hóa, Bệnh Viện TWQĐ 108.


