Sức khoẻ 360

Kỹ thuật kết hợp xương nẹp vít khóa điều trị gãy đầu trên xương cánh tay

Kết hợp xương nẹp vít khi gãy đầu trên xương cánh tay là một kỹ thuật hiện đại, mang lại hiệu quả cao, đặc biệt phù hợp với người cao tuổi và có loãng xương.

Khoa Chấn thương Chỉnh hình – Bệnh viện Đa khoa Khu vực Quảng Yên vừa triển khai thành công kỹ thuật kết hợp xương nẹp vít khóa trong điều trị gãy đầu trên xương cánh tay cho bà P.T.H, trú tại thôn 3, phường Hiệp Hòa, tỉnh Quảng Ninh.

xuong-canh-tay.jpg
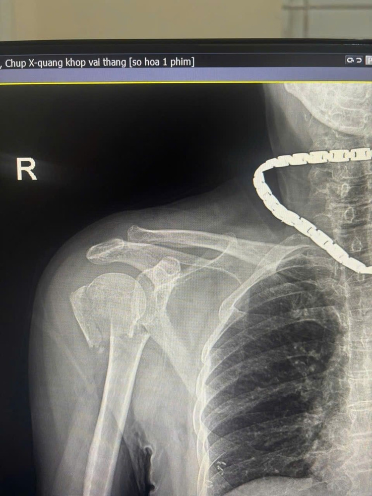
Hình ảnh gãy xương cánh tay trên phim chụp - Ảnh BVCC

Trước đó, bệnh nhân bị ngã được đưa vào viện trong tình trạng đau nhiều vùng vai phải, hạn chế vận động. Qua thăm khám lâm sàng và chẩn đoán hình ảnh, người bệnh được xác định gãy kín đầu trên xương cánh tay phải và được chỉ định phẫu thuật kết hợp xương bằng nẹp vít khóa.

Ca phẫu thuật do BSCKII. Đỗ Văn Cường trực tiếp thực hiện – một kỹ thuật hiện đại, mang lại hiệu quả cao, đặc biệt phù hợp với người cao tuổi và bệnh nhân có loãng xương.

Ưu điểm nổi bật của kỹ thuật: Cố định ổ gãy vững chắc, hạn chế di lệch thứ phát.

Phù hợp với xương loãng, bảo tồn tối đa phần mềm.

Giảm đau tốt sau mổ.

Cho phép vận động sớm khớp vai, rút ngắn thời gian nằm viện.

Đẩy nhanh quá trình phục hồi chức năng, sớm trở lại sinh hoạt thường ngày.

xuong-canh-tay-1.jpg

Ngay sau phẫu thuật, bệnh nhân phục hồi tiến triển tốt, giảm đau rõ rệt, vận động khớp vai cải thiện từng ngày và tinh thần ổn định.

“Tôi bị gãy xương vai, lúc đầu rất đau và lo lắng không biết có vận động lại được không. Sau khi được các bác sĩ mổ và chăm sóc tận tình, hiện nay tay tôi đỡ đau nhiều, đã cử động được. Tôi rất yên tâm và hài lòng khi điều trị tại Bệnh viện Đa khoa Khu vực Quảng Yên”, người bệnh chia sẻ sau phẫu thuật.

xuong-canh-tay-2.png
Bệnh nhân ổn định, yên tâm sau phẫu thuật - Ảnh BVCC
back to top