Khoa Can thiệp Tim và mạch máu Bệnh viện Hữu nghị Việt Tiệp vừa can thiệp thành công trường hợp người bệnh tổn thương mạch vành nặng, phức tạp và hiếm gặp.
Người bệnh nam giới 68 tuổi, địa chỉ Minh Tân, Thuỷ Nguyên, Hải Phòng có tiền sử tăng huyết áp và hút thuốc lá, vào bệnh viện Hữu nghị Việt Tiệp vì xuất hiện đau ngực khoảng 3 tháng nay, cơn đau tức nghẹn 20-30 phút khi gắng sức, đỡ khi nghỉ ngơi, mức độ đau ngày càng tăng và kéo dài.
Người bệnh được chỉ định chụp động mạch vành qua hệ thống máy chụp mạch máu số hoá xoá nền (DSA), kết quả cho thấy tắc hoàn toàn cả 3 nhánh động mạch vành, đặc biệt các mạch tắc được nuôi dưỡng bằng mạch tuần hoàn bàng hệ từ chính những nhánh tắc.
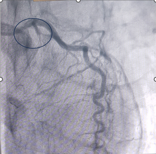
![]() |
| Tắc hoàn toàn động mạch vành phải) Tắc hoàn toàn động mạch mũ bên trái |
Đây là trường hợp tổn thương mạch vành nặng, phức tạp và khá hiếm gặp. Người bệnh có tổn thương động mạch vành tiến triển từ từ và kéo dài từ trước, các mạch máu tuần hoàn phụ phát triển nhanh đủ để ngăn cản sự thiếu máu cơ tim nên trước đó người bệnh không có dấu hiệu bất thường. Bệnh chỉ được phát hiện khi các mạch máu phụ phát triển không đủ lớn để duy trì lưu lượng máu đáp ứng nhu cầu oxy của cơ tim gây thiếu máu mạch vành, gây nhồi máu cơ tim cấp.
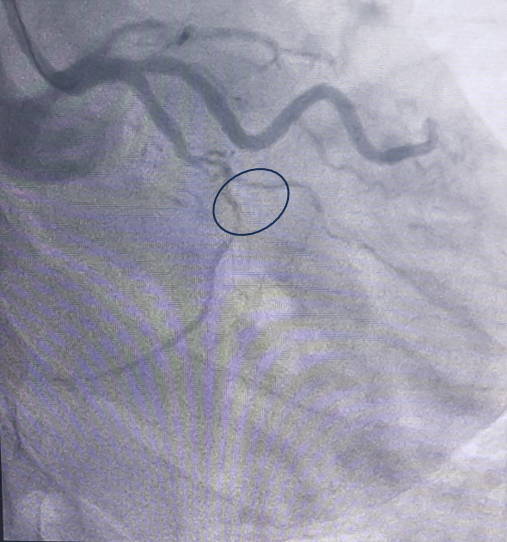
![]() |
| Tắc hoàn toàn động mạch liên thất trước bên trái Mạch tuần hoàn bàng hệ từ động mạch vành phải sang nuôi động mạch vành trái |
Với trường hợp người bệnh tắc hoàn toàn 3 nhánh động mạch vành, trước đây hướng điều trị tối ưu là phẫu thuật bắc cầu nối chủ – vành. Hiện nay, có thêm phương pháp can thiệp đặt stent động mạch vành nhưng thường chỉ được thực hiện ở các bệnh viện tuyến Trung ương. Do đó, đây là ca bệnh khó đòi hỏi các bác sĩ phải cân nhắc lựa chọn phương pháp điều trị cũng như hết sức thận trọng khi can thiệp”.
Sau khi hội chẩn, các bác sĩ Khoa Can thiệp Tim và mạch máu đã thống nhất tiến hành can thiệp đặt stent động mạch vành cho người bệnh. Sau 2 lần thực hiện phương pháp can thiệp động mạch vành, các bác sĩ đã tái thông và đặt stent 2 nhánh mạch lớn là động mạch vành phải và động mạch mũ bên trái. Sau can thiệp 5 ngày tình trạng của người bệnh ổn định, có thể tự đi bộ, leo cầu thang và không còn những cơn đau ngực khi gắng sức. Người bệnh đã được xuất viện và tái khám định kỳ.
![]() |
| Động mạch vành phải sau can thiệp đặt stent Động mạch mũ sau can thiệp đặt stent |
Ở hầu hết các tạng, các mô của cơ thể, khi một động mạch hoặc tĩnh mạch bị hẹp – tắc, một kênh mạch mới (tuần hoàn bàng hệ) sẽ phát triển xung quanh và cho phép tái cung cấp một phần máu cho tạng, mô mà mạch máu bị hẹp, tắc chi phối.
Tuần hoàn bàng hệ tiếp tục phát triển để dòng máu có thể gần như đáp ứng được nhu cầu của mô khi người bệnh ở trạng thái nghỉ ngơi, nhưng những kênh mạch máu mới này hiếm khi phát triển lớn hơn để cung cấp đủ lưu lượng máu cần cho quá trình hoạt động thể lực gây ra tình trạng bệnh lý nghiêm trọng.
Đặc biệt đối với tổn thương động mạch vành mạn tính, các biểu hiện bệnh lý không rõ ràng, nếu không được chẩn đoán bởi các bác sĩ chuyên khoa Tim mạch và không chụp mạch vành qua da, bệnh có thể bị bỏ sót, nguy cơ tiềm ẩn nhồi máu cơ tim cấp gây nguy hiểm tính mạng cho người bệnh.
Người bệnh được chăm sóc tận tình chu đáo bởi đội ngũ y bác sĩ Khoa Can thiệp tim và mạch máu |
Với tiến bộ của y học, các thế hệ stent mới có cấu trúc mỏng hơn, phủ thuốc chống tái hẹp tốt hơn và trình độ của bác sỹ làm can thiệp ngày càng được nâng cao, người bệnh tắc cả 3 nhánh động mạch vành đã được can thiệp thành công với kết quả tốt, không xảy ra tai biến, biến chứng cũng như tránh cho người bệnh một cuộc phẫu thuật mổ tim mở bắc cầu nối chủ – vành tiên lượng nặng nề hơn và thời gian hậu phẫu, hồi phục kéo dài hơn rất nhiều.
ThS.BSCKII Nguyễn Anh Dũng (Phó trưởng Khoa Can thiệp tim và mạch máu, Bệnh viện Hữu nghị Việt Tiệp)



Người bệnh được chăm sóc tận tình chu đáo bởi đội ngũ y bác sĩ Khoa Can thiệp tim và mạch máu