Sức khoẻ 360

Hốt hoảng lấy kim băng trong miệng trẻ khiến dị vật tụt sâu

Khi nghi ngờ trẻ nuốt phải dị vật, tuyệt đối không nên tìm cách móc lấy dị vật, bởi dễ đẩy vào sâu hơn hoặc làm trầy xước vùng hầu họng...

Kim băng đâm vào thực quản do xử lý sai

Ngày 4/7, Bệnh viện Nhi Đồng 2 cho biết, tuần qua, Khoa Tiêu hóa đã tiếp nhận trường hợp bé P.P.K. (12 tháng tuổi) nhập viện trong tình trạng nguy hiểm do nuốt một cây kim băng.

Trước đó, gia đình phát hiện bé đang ngậm một cây kim băng, trong lúc hoảng hốt tìm cách lấy ra đã vô tình đẩy dị vật vào sâu hơn trong họng. Bé được đưa đến bệnh viện tuyến huyện, sau đó chuyển đến Bệnh viện Nhi Đồng 2 vào giờ thứ 9 sau khi nuốt dị vật.

kim-bang-1-754.jpg
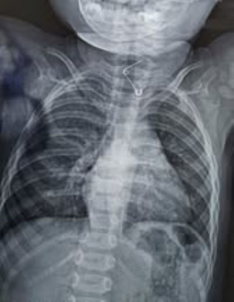
Cây kim băng trong thực quản bé trên phim chụp - Ảnh BVCC

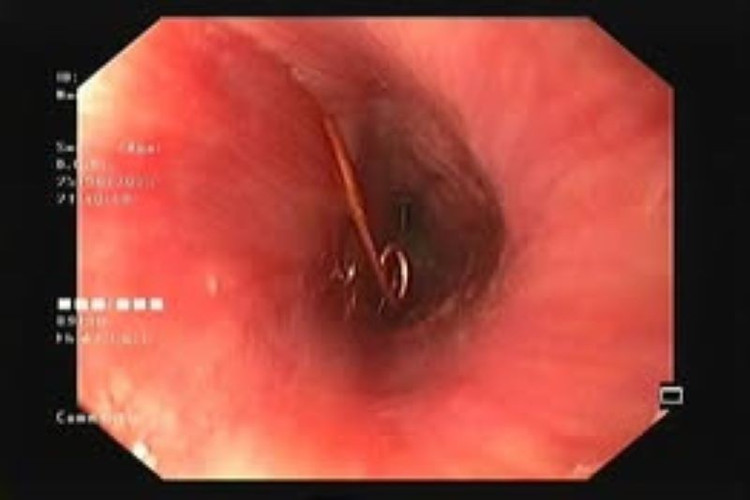
Tại Khoa Cấp cứu, qua thăm khám và hình ảnh nội soi, bác sĩ phát hiện cây kim băng dài khoảng 3 cm, đã bung ra thành hình chữ L và đầu nhọn đang ghim vào thành thực quản – gây nguy cơ thủng, chảy máu và nhiễm trùng rất cao.

Ngay lập tức, ê-kíp bác sĩ thuộc các chuyên khoa Tiêu hóa – Tai Mũi Họng – Ngoại khoa đã được huy động, hội chẩn và chuẩn bị các phương án can thiệp.

Với sự khéo léo và phối hợp nhịp nhàng, các bác sĩ đã lấy dị vật thành công bằng phương pháp nội soi, tránh được một cuộc phẫu thuật phức tạp cho bé.

kim-bang2-8710.jpg
kim-bang-4-7153.jpg
kim-bang-3-3.jpg
Thực hiện nội soi lấy kim băng dài và nhọn kẹt trong lòng thực quản bé trai ra ngoài - Ảnh BVCC

BS.CKII Nguyễn Thị Thu Thủy – Phó trưởng khoa Tiêu hóa, Bệnh viện Nhi Đồng 2 cho biết: "Dị vật đường tiêu hóa là tai nạn phổ biến ở trẻ nhỏ, đặc biệt trong các kỳ nghỉ khi trẻ ở nhà nhiều hơn và ít được giám sát.

Những dị vật nguy hiểm thường gặp gồm: Pin nút áo, nam châm, vật sắc nhọn, vật có kích thước lớn (trên 2,5 cm với trẻ dưới 5 tuổi, trên 5 cm với trẻ lớn)".

Khi nghi ngờ trẻ nuốt phải dị vật, tuyệt đối không nên tìm cách móc lấy dị vật bởi dễ đẩy vào sâu hơn hoặc làm trầy xước vùng hầu họng; Không gây nôn vì có thể khiến dị vật đi lạc vào đường thở hoặc gây hít sặc rất nguy hiểm.

Cách xử trí đúng là đưa trẻ đến cơ sở y tế gần nhất càng sớm càng tốt để được kiểm tra và xử lý kịp thời.

Chú ý các dấu hiệu, chớ bỏ quên dị vật

Các bác sĩ cho biết, tình trạng trẻ nuốt dị vật đường tiêu hóa khá thường gặp, dị vật sau nuốt phần lớn đều đi qua họng vào ống tiêu hóa, sau đó được đào thải tự nhiên theo phân và không gây ra vấn đề gì cho trẻ.

Tuy nhiên, các loại pin cúc áo, pin điện thoại… thường chứa các nguyên tố độc hại như cadimi… Khi bị han rỉ hoặc thủng, rò rỉ, các chất này có thể đi ra ngoài, gây độc hại. Tính gây bỏng, độc niêm mạc đường tiêu hóa khi pin rò rỉ là cực kỳ cao, khó phục hồi về hình thái và chức năng cơ quan nếu đã tổn thương.

kim-bang-5-6938.jpg
Bác sĩ thăm khám và tư vấn cho gia đình - Ảnh BVCC

BS Nguyễn Lợi, khoa Nội soi, Bệnh viện Nhi Trung ương cảnh báo, trẻ bị dị vật tiêu hóa bỏ quên gặp rất nhiều nhưng dị vật thực quản bỏ quên thì đúng là hiếm gặp. Vì thông thường, các bệnh nhân có dị vật thực quản có các biểu hiện như: nôn, nuốt nghẹn, nuốt đau và gần như không ăn uống được gì.

Nếu không được phát hiện và gắp ra sớm dị vật này có thể gây viêm, loét, áp xe thành thực quản. Trường hợp nặng bệnh nhân có thể bị thủng thực quản, pin di chuyển vào trung thất gây áp xe trung thất, nhiễm trùng máu, sốc nhiễm trùng, ảnh hưởng đến tính mạng.

Các bậc phụ huynh cần đặc biệt chú ý khi trông trẻ. Trong các trường hợp hóc dị vật, nhất là hóc pin hoặc xương, cần đưa trẻ đến bệnh viện càng sớm càng tốt để được can thiệp kịp thời, tránh hậu quả đáng tiếc xảy ra. Tuyệt đối không chữa mẹo.

Do đó, để phòng tránh những tai nạn đáng tiếc cho trẻ, các bậc phụ huynh cần lưu ý:

Khi trông giữ trẻ, không làm việc khác mà phải thường xuyên giám sát, giữ trẻ trong tầm mắt.

Các đồ vật nhỏ như đồng xu, pin, kim, tăm… hay những hóa chất có thể gây nguy hiểm cho trẻ như dầu hỏa, xăng, nước giặt, kể cả nước sôi… phải để xa tầm tay của trẻ.

Không để trẻ chơi hay ngậm các vật nhỏ, đặc biệt là pin cúc, hạt, đồ vật sắc nhọn.

Kiểm tra đồ chơi của trẻ thường xuyên để đảm bảo các khe cắm pin đã khóa trong và an toàn.

Khi phát hiện trẻ nuốt dị vật hay có các biểu hiện bất thường như nôn, nuốt đau, nuốt khó, đau bụng…, cần đưa trẻ đến cơ sở y tế chuyên khoa để được theo dõi và điều trị kịp thời.

Hướng dẫn trẻ ăn chậm, nhai kỹ, không cười đùa khi ăn.

back to top