Mới đây, Bệnh viện Đa khoa Medlatec đã tiếp nhận trường hợp bệnh nhân T.T.S (Hà Nội) đến khám do hồi hộp, tức ngực.
Bệnh nhân cho biết, thời gian gần đây ông xuất hiện các triệu chứng mất ngủ, hồi hộp, tức ngực, huyết áp tăng về chiều (150 mmHg), nhức đầu, chóng mặt.
Qua khai thác bệnh sử được biết, bệnh nhân S. từng bị giãn phế quản - theo dõi bệnh phổi tắc nghẽn mãn tính (COPD), trầm cảm, rối loạn lo âu, phì đại tuyến tiền liệt, đang dùng thuốc xatral.
![]() |
| Hồi hộp, tức ngực, đi khám phát hiện bất thường ở tim. Ảnh BVCC |
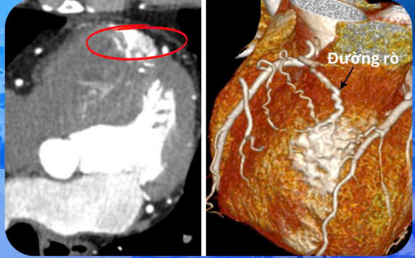
Tại bệnh viện, bệnh nhân được chỉ định thực hiện các xét nghiệm và cận lâm sàng cần thiết để đánh giá tình trạng sức khoẻ. Kết quả cho thấy: nhịp tim đều, tiếng T1, T2 rõ, không ghi nhận tiếng thổi, nhịp xoang đều, tần số tim 60 lần/phút. Trục điện tim vô định, sóng T âm ở chuyển đạo aVL, xuất hiện ngoại tâm thu rải rác, số lượng ít. Hở nhẹ van hai lá và van động mạch chủ. Thành thất trái dày nhẹ, buồng thất không giãn. Chức năng co bóp của thất trái và thất phải bình thường. Rối loạn chức năng tâm trương thất trái mức độ nhẹ (độ I). Tăng nhẹ áp lực động mạch phổi. Phát hiện rò động mạch vành từ nhánh nón của động mạch vành phải (RCA) vào tâm thất phải. Biến thể giải phẫu có nhánh động mạch trung gian (Ramus). Mảng xơ vữa vôi hóa ở nhánh LAD1 gây hẹp 36% (chỉ số vôi hóa Agatston 103 điểm).
Dựa vào kết quả lâm sàng và cận lâm sàng đã thực hiện, bệnh nhân S. được chẩn đoán bị dò động mạch vành, xơ vữa động mạch vành, động mạch cảnh, theo dõi COPD. Bác sĩ đã kê đơn điều trị nội khoa cho bệnh nhân.
Theo BSCKI. Phạm Thị Yến, Chuyên khoa Chẩn đoán hình ảnh, dò động mạch vành là tình trạng bất thường trong hệ thống mạch máu tim khiến lượng máu cung cấp cho cơ tim bị giảm đi, gây ra những triệu chứng như khó thở, đau tức ngực. Mặc dù đây là một dị tật hiếm gặp, nhưng nếu không được phát hiện và điều trị kịp thời sẽ gây ra những biến chứng nghiêm trọng.
Bệnh nếu không được phát hiện và điều trị kịp thời có thể gây ra nhiều biến chứng nghiêm trọng như:
- Thiếu máu cơ tim, nhồi máu cơ tim do giảm tưới máu.
- Rối loạn nhịp tim.
- Tăng áp động mạch phổi, suy tim.
- Viêm nội tâm mạc nhiễm khuẩn.
- Giãn phình và vỡ đường rò, có thể nguy hiểm đến tính mạng.
