Sức khoẻ 360

Hoại tử đại tràng vì chủ quan với thoát vị bẹn nghẹt

Thoát vị bẹn nghẹt là biến chứng rất nguy hiểm của thoát vị bẹn, gây hoại tử ruột, hoại tử tinh hoàn, gây tắc ruột, đau dữ dội và có nguy cơ đe dọa tính mạng.

Thoát vị bẹn nghẹt gây hoại tử ruột, viêm phúc mạc

Vừa qua ngày 15/10/2025, các bác sĩ khoa Ngoại, Bệnh viện Đa khoa tỉnh Quảng Ninh phẫu thuật cấp cứu thành công cho một trường hợp nam bệnh nhân bị thoát vị bẹn trái nghẹt đại tràng sigma gây hoại tử, viêm phúc mạc.

Trường hợp vừa được mổ cấp cứu là ông B.C.C (63 tuổi) trú tại phường Cẩm Phả, tỉnh Quảng Ninh. Bệnh nhân nhập viện trong tình trạng khối phồng vùng bẹn trái đau tức, không thể đẩy lên được kèm theo đau bụng và chướng hơi.

Qua thăm khám và chụp cắt lớp vi tính, các bác sĩ chẩn đoán bệnh nhân bị thoát vị bẹn trái nghẹt. Hội chẩn đánh giá đây là biến chứng phức tạp và nguy hiểm của thoát vị bẹn do ruột bị chui xuống lỗ thoát vị và kẹt lại gây tắc nghẽn, thiếu máu nuôi.

Bệnh nhân được chỉ định mổ cấp cứu bằng phương pháp nội soi, nhằm giải phóng khối thoát vị và xử trí tổn thương.

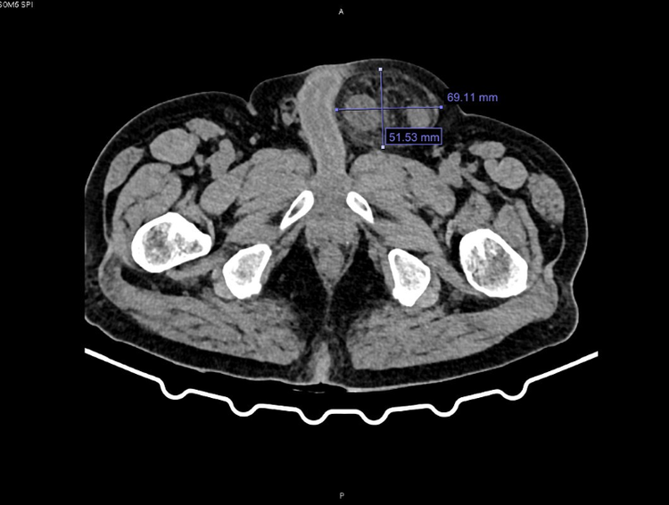
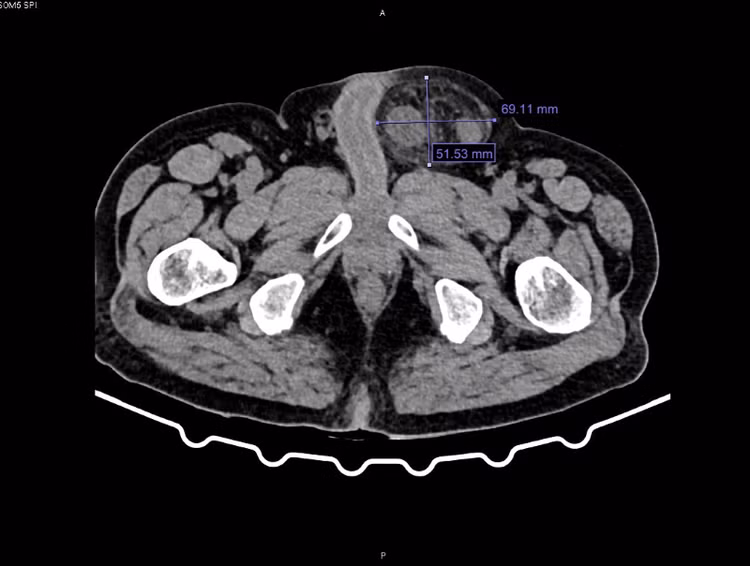
hoai-tu-dai-2.png
Hình ảnh khối thoát vị bẹn trái nghẹt qua phim chụp cắt lớp vi tính - Ảnh BVCC

Kíp mổ khoa Ngoại do bác sĩ Nguyễn Đình Quế phụ trách phối hợp với các cộng sự thực hiện. Qua đường rạch nhỏ 1cm ở thành bụng, phẫu thuật viên đưa camera vào kiểm tra phát hiện trong ổ bụng có nhiều dịch tiêu hóa lẫn nhiều giả mạc, biểu hiện tình trạng viêm nhiễm nặng, lỗ bẹn phải bình thường, lỗ bẹn trái có đại tràng chui vào gây nghẹt. Giải phóng khối thoát vị, các bác sĩ nhận thấy đoạn đại tràng sigma đã bị hoại tử đen.

Trước biến chứng phức tạp, kíp mổ nhanh chóng rửa sạch ổ bụng, xử lý bao thoát vị, khâu phục hồi thành bụng và đưa đoạn đại tràng hoại tử ra ngoài làm hậu môn nhân tạo tạm thời, giúp đảm bảo lưu thông tiêu hóa, cứu sống người bệnh.

Hiện tại, người bệnh đã thoát khỏi nguy kịch, mạch, huyết áp ổn định, đau nhẹ vết mổ, hậu môn nhân tạo hoạt động tốt, được tiếp tục theo dõi sát, điều trị kháng sinh toàn thân, chống viêm, giảm đau, dinh dưỡng.

anh-chup-man-hinh-2025-10-22-094216.jpg
Kíp mổ cấp cứu khoa Ngoại xử trí khối thoát vị bẹn trái bị nghẹt cho bệnh nhân - Ảnh BVCC

Thoát khỏi cơn đau, ông C. chia sẻ: “Tôi phát hiện vùng bẹn có khối phồng từ lâu, khối to lên khi gắng sức, lúc nằm nghỉ ấn thì xẹp, nghĩ không sao nên chủ quan không đi khám. Đợt này tự nhiên đau nhiều, ấn cứng không xẹp, bụng chướng và đau nhiều, không chịu nổi nên vào viện thì được các bác sĩ thăm khám, chụp cắt lớp vi tính, xét nghiệm, giải thích mổ cấp cứu ngay. Bác sĩ bảo ruột đã bị hoại tử tôi vô cùng lo lắng. May mà các y, bác sĩ cứu chữa kịp thời, giúp tôi thoát khỏi nguy kịch”.

anh-chup-man-hinh-2025-10-22-094237.jpg
Hình ảnh đại tràng bị hoại tử và lỗ thoát vị qua nội soi - Ảnh BVCC

Bệnh nguy hiểm phổ biến ở mọi lứa tuổi

Thoát vị bẹn là bệnh lý phổ biến, chủ yếu gặp ở nam giới mọi lứa tuổi, đa số người mắc có tâm lý chủ quan, không điều trị sớm. Thông thường, bệnh chỉ gây cảm giác tức nhẹ, xuất hiện khối phồng vùng bẹn khi ho hoặc vận động mạnh và có thể tự biến mất hoặc ấn lên được khi nằm nghỉ.

Tuy nhiên, khi khối thoát vị bị nghẹt, bệnh nhân sẽ thấy đau, nôn, bí trung đại tiện, khối phồng không thể đẩy lên được. Đây là dấu hiệu cảnh báo tình trạng cấp cứu ngoại khoa.

Chia sẻ về ca bệnh, Bs.CKI Nguyễn Đình Quế, khoa Ngoại, Bệnh viện Đa khoa tỉnh Quảng Ninh cho biết: “Thoát vị bẹn nghẹt là biến chứng rất nguy hiểm của bệnh thoát vị bẹn, xảy ra khi một phần tạng trong ổ bụng lọt vào lỗ thoát vị và bị kẹt lại, gây tắc nghẽn, thiếu máu nuôi, dẫn tới hoại tử, thủng, dịch phân thoát ra ngoài ổ bụng gây viêm phúc mạc, nhiễm trùng nhiễm độc, nếu không được xử trí kịp thời sẽ gây hậu quả nặng nề đe dọa tính mạng người bệnh.

Như bệnh nhân C. là một điển hình của biến chứng nặng do đến viện muộn. Dù phát hiện thoát vị bẹn từ lâu nhưng bệnh nhân chủ quan không điều trị, chỉ đến khi xuất hiện đau tức, chướng bụng mới nhập viện thì đại tràng sigma đã bị hoại tử, thủng, dịch phân chảy ra ổ bụng gây viêm phúc mạc nặng.

Rất may, ca mổ được thực hiện kịp thời nên đã cứu được tính mạng người bệnh. Hiện bệnh nhân đang được theo dõi hậu phẫu, sức khỏe ổn định dự kiến ra viện vài ngày và sẽ được hẹn tái khám lên kế hoạch đóng lại hậu môn nhân tạo sau khoảng 3 tháng”.

hoai-tu-dai.jpg
Bác sĩ chuyên khoa I Nguyễn Đình Quế thăm khám lại cho bệnh nhân sau mổ - Ảnh BVCC

Trường hợp của bệnh nhân C. là lời cảnh báo về mức độ nguy hiểm của thoát vị bẹn khi không được phát hiện và điều trị sớm.

“Những người có khối phồng vùng bẹn nên đi khám sớm để được chẩn đoán xác định, tư vấn từ bác sĩ chuyên khoa và phẫu thuật sớm khi cần thiết.

Bệnh thoát vị bẹn nếu chần chừ, trì hoãn gây khó chịu trong sinh hoạt hàng ngày, tự ti trong giao tiếp đặc biệt có thể có biến chứng nghẹt và dẫn đến những hậu quả nặng nề, nghiêm trọng, thậm chí đe dọa tới tính mạng”, bác sĩ Quế khuyến cáo.

back to top